
Одно из важнейших биологических предназначений женского организма — это материнство. Нередко препятствием на пути к его выполнению служит бесплодие, причина которого кроется в одном из заболеваний матки — аденомиозе. За последние несколько лет врачи-гинекологи отмечают резкое увеличение количества пациенток с подобным диагнозом. Именно поэтому необходимо уметь обнаружить у себя первые проявления патологии и сразу же обратиться за помощью к доктору.
Что представляет собой аденомиоз матки
Аденомиоз матки (внутренний эндометриоз) — это гинекологическое заболевание, в основе которого лежит прорастание клеток внутреннего слоя оболочки матки (эндометрия) в мышечный слой (миометрий). Из-за физиологического отторжения вросшего эндометрия перед менструацией и после неё возникают боли и кровянистые выделения, что служит поводом для обращения к доктору. Такая патология распространена у женщин старше 30–40 лет, однако встречаются случаи возникновения недуга и в более раннем возрасте.
Аденомиоз в 30% случаев сочетается с другим заболеванием — миомой матки. Она представляет собой доброкачественную опухоль, происходящую из мышечного слоя.
При аденомиозе эндометрий прорастает в мышечный слой, формируя островки
Существуют разные виды аденомиоза:
- Очаговый. Эндометрий прорастает в мышечную оболочку не по всей матки, имеются лишь поражённые участки в форме небольших островков.
- Диффузный. В этом случае клетки внутреннего слоя матки прорастают по всей поверхности миометрия.
- Узловой или кистозный. При такой форме недуга обнаруживается образование на поверхности мышечной оболочки матки узлов эндометрия, напоминающих опухоли.
Классификация аденомиоза по степеням:
- Первая степень — эндометрий прорастает на глубину менее половины мышечного слоя.
- Вторая — патологический процесс распространяется на половину миометрия.
- Третья — эндометрий прорастает всю толщу мышечного слоя.
- Четвёртая — имеется более 10 глубоких очагов внутреннего эндометриоза, в патологический процесс могут вовлекаться яичники, маточные трубы или влагалище.
При развитии аденомиоза увеличивается количество повреждённых участков миометрия
Аденомиоз матки представляет собой сложное состояние, которое может влиять на фертильность женщины. Врачи отмечают, что при планировании беременности важно учитывать особенности этого заболевания. Специалисты рекомендуют сначала пройти полное обследование, чтобы оценить степень аденомиоза и его влияние на репродуктивную функцию.
При наличии аденомиоза важно контролировать уровень гормонов, так как гормональные нарушения могут усугубить симптомы и затруднить зачатие. Врачи советуют рассмотреть возможность применения методов вспомогательной репродукции, если естественное зачатие затруднено.
Кроме того, важно вести здоровый образ жизни, включая правильное питание и регулярные физические нагрузки, что может помочь улучшить общее состояние организма и повысить шансы на успешную беременность. Врачи подчеркивают, что индивидуальный подход и регулярные консультации с гинекологом помогут женщинам с аденомиозом успешно планировать беременность и справляться с возможными трудностями.

Видео: гинеколог рассказывает об аденомиозе матки
Почему возникает заболевание
Причины возникновения аденомиоза матки в настоящее время не выявлены. К возможным факторам, увеличивающим вероятность формирования недуга, относятся:
- генетическая предрасположенность (наличие аденомиоза или эндометриоза у матери, сестры или бабушки);
- малоподвижный образ жизни;
- воспалительные заболевания матки и придатков;
- начало половой жизни до 16 лет;
- нерегулярный менструальный цикл;
- слишком ранняя (до 18 лет) или поздняя (более 35 лет) беременность;
- наличие вредных привычек (в особенности злоупотребление алкогольными напитками и наркотическими препаратами);
- самостоятельный приём некоторых лекарственных средств (гормональных контрацептивов, стероидов, цитостатиков);
- отсутствие родов до 40 лет;
- травматические повреждения внутренних половых органов;
- частые выскабливания во время проведения аборта или чистки после выкидыша;
- раннее начало менструации у девочек (до 12 лет);
- сахарный диабет 1-го и 2-го типа;
- алиментарное ожирение (3–4-й степени);
- воздействие длительного стресса;
- интенсивные физические нагрузки.
Аденомиоз матки вызывает множество вопросов у женщин, особенно тех, кто планирует беременность. Многие отмечают, что это заболевание может влиять на фертильность, однако не все случаи одинаковы. Некоторые женщины с аденомиозом успешно забеременели и родили здоровых детей, в то время как другим может потребоваться дополнительное медицинское вмешательство. Важно проконсультироваться с врачом, который поможет оценить состояние и предложит индивидуальный план действий. Многие специалисты рекомендуют следить за гормональным фоном и вести здоровый образ жизни, что может повысить шансы на успешное зачатие. Поддержка со стороны близких и психологическая готовность также играют важную роль в этом процессе.

Основные симптомы аденомиоза матки
В половине случаев проявления заболевания отсутствуют, а многие пациентки не посещают гинеколога регулярно, в результате чего патология обнаруживается довольно поздно. Для аденомиоза матки характерно нарастание клинических признаков по мере прогрессирования недуга. К основным симптомам заболевания относятся:
- Мажущие кровянистые выделения тёмного цвета за 5–8 дней до начала менструации и 7–10 дней после её окончания. Они могут усиливаться после полового акта, осмотра у гинеколога с использованием зеркал, поднятия тяжестей, нервно-психического напряжения.
- Изменение длительности и обильности менструального цикла. В нормальных условиях промежуток между месячными у здоровой женщины составляет от 21 до 40 дней. При аденомиозе матки менструация может начаться гораздо раньше положенного срока. В среднем на период регулярного кровотечения женщина теряет до 90 мл крови: при заболевании это значение может увеличиваться в 2 или 3 раза, что создаёт риск возникновения анемии (малокровия).
- Изменение формы и объёмов матки. На поздних стадиях развития недуга орган становится шарообразным и приобретает размеры, больше характерные для 6–7-й недели беременности.
- Появление сильных болей во время месячных. Пациентка испытывает дискомфорт в нижней части живота, который не проходит даже после приёма анальгетиков. Боли носят ноющий характер, в некоторых случаях могут сопровождаться предобморочными состояниями, для которых типичны потливость, тошнота и рвота, побледнение кожных покровов и судороги.
- Дискомфорт во время совершения полового акта. Женщина может испытывать неприятные ощущения при сексе, когда половой член партнёра травмирует изменённые участки шейки матки.
Диагностика заболевания
При первичном обращении пациентки к врачу доктор должен обязательно уточнить анамнез. Необходимо рассказать о времени появления кровянистых выделений, характере боли, интенсивности и длительности менструации.
Если вы принимаете или когда-то принимали гормональные контрацептивы, обязательно упомяните. Этот факт может быть важен при проведении дифференциальной диагностики.
Далее доктор проводит обследование с помощью зеркала. Для этого пациентку попросят раздеться ниже пояса и лечь на специальное кресло. Во влагалище вводится расширитель, благодаря которому гинеколог может осмотреть шейку матки. При аденомиозе на поверхности органа можно увидеть точечные кровоизлияния, которые свидетельствуют о прорастании эндометрия. Параллельно с осмотром гинеколог обычно берёт мазок для цитологического исследования, чтобы исключить рак шейки матки.
Влагалищное зеркало позволяет осмотреть шейку матки
Во время практики в отделении гинекологии мне приходилось сталкиваться с аденомиозом 4-ой стадии у женщины в возрасте 50 лет. Пациентка обратилась с жалобами на увеличение живота и периодические кровянистые выделения из половых путей. Во время осмотра я прощупала через переднюю брюшную стенку в надлобковой области плотную шарообразную матку. После этого пациентка была направлена на дополнительное обследование, где подтвердился диагноз.

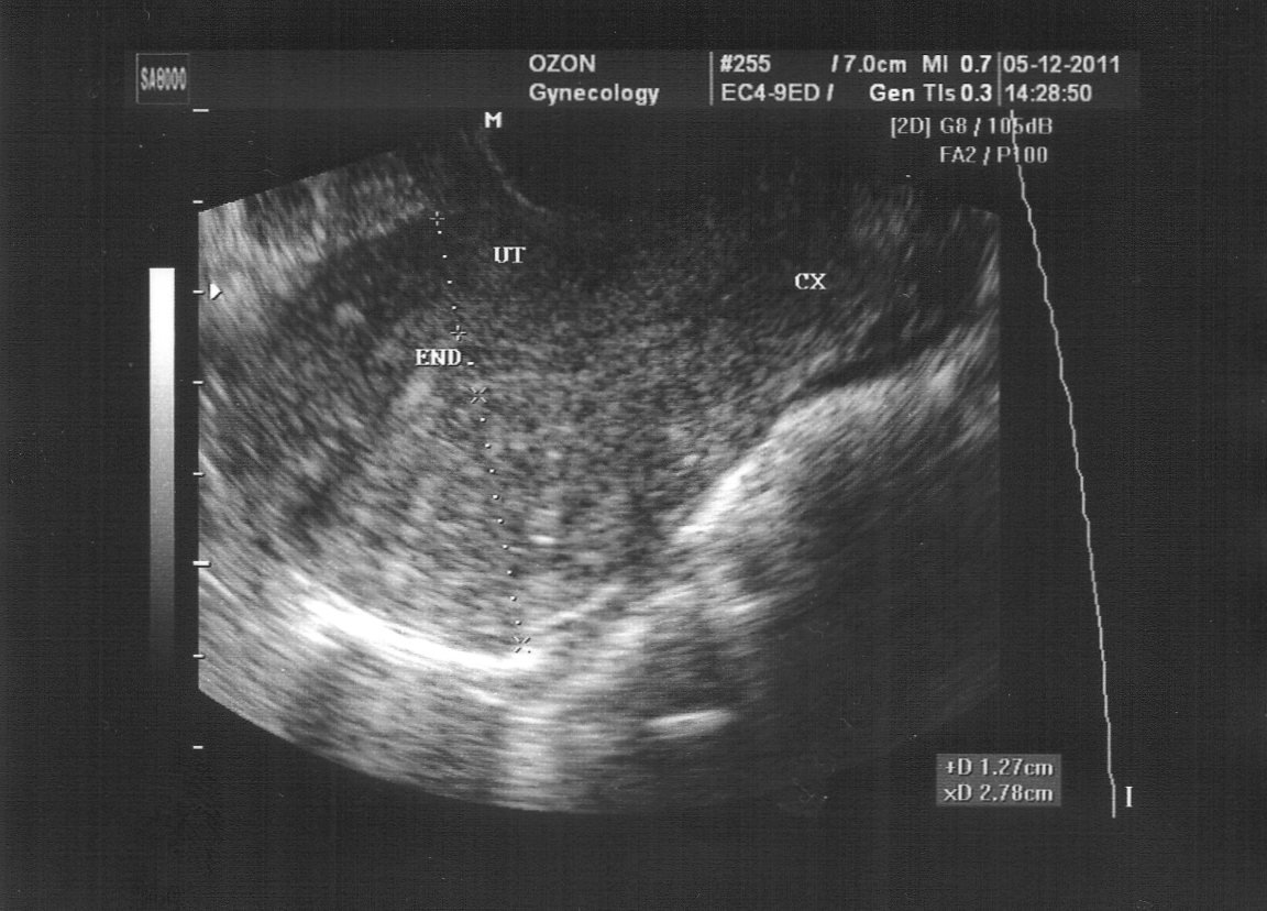
Ультразвуковое исследование (УЗИ) матки
УЗИ проводится на 5–7-й день менструального цикла, когда закачивается бо́льшая часть выделений. Пациентка раздевается и ложится на кушетку, согнув ноги в коленных суставах. В большинстве случаев исследование осуществляется с помощью введения во влагалище специального датчика. Если имеются какие-либо противопоказания к этому способу (девственность, заболевания наружных половых органов), можно проводить процедуру трансабдоминально — через переднюю стенку живота.
Помните, что начальные стадии аденомиоза матки при ультразвуковой диагностике обнаружить практически невозможно.
К основным признакам внутреннего эндометриоза на УЗИ относят:
- изменение формы матки и увеличение её размеров;
- неоднородную структуру миометрия с патологическими включениями;
- утолщение стенки органа;
- отсутствие чёткой границы между эндометрием и мышечным слоем.
На снимке можно заметить неоднородность мышечной ткани из-за включений эндометрия
Рентген матки и яичников
Гистеросальпингография — это рентгеновское исследование матки и её придатков с помощью введения в полость контрастного препарата. Оно проводится также после окончания менструации (обычно на 7-й день). С помощью такого метода можно увидеть, что контраст проходит за пределами матки, а её полость увеличена.
По уровню расположения контрастного препарата можно выявить наличие спаек
При гистеросальпингографии существует вероятность развития аллергической реакции на химический препарат, вводимый в полость матки. Одна из моих знакомых, проходившая это исследование в клинике при подозрении на аденомиоз, столкнулась с такой проблемой. В ответ на введение средства у женщины развился отёк Квинке: покраснело и раздулось лицо, стало трудно дышать. Врачи экстренно произвели укол Адреналина, после чего состояние больной стабилизировалось. Выяснилось, что женщина не знала о наличии у себя аллергии. Чтобы избежать подобных осложнений, рекомендуется перед началом процедуры пройти тест на чувствительность к препарату.
Другие методы диагностики аденомиоза матки
Магнитно-резонансное исследование также используется для обнаружения внутреннего аденомиоза. Для этого пациентку помещают в специальный томограф, который делает снимки человеческого тела в разных плоскостях. С помощью такого метода можно обнаружить один из важнейших признаков заболевания: утолщение переходной зоны из эндометрия в миометрий более 12 мм. Другими МРТ-критериями недуга являются:
- увеличение размеров матки;
- асимметрия органа;
- наличие мелких точечных образований в мышечном слое.
Здоровая матка имеет множество отличий от органа, поражённого аденомиозом
Диагностическое выскабливание — это одна из методик биопсии, с помощью которой можно получить биологический материал (клетки слизистой оболочки матки и её шейки) для выявления в нём патологических изменений. Процедура проводится гинекологом в условиях стационара, когда пациентка сидит в кресле. Во влагалище и полость матки помещают специальный инструмент — кюретку. С его помощью доктор делает соскоб материала, который затем отправляется в медицинскую лабораторию для изучения под микроскопом, что позволяет подтвердить диагноз.
Диагностическое выскабливание позволяет изучить под микроскопом оболочки матки
Исследование крови на маркёры эндометриоза
Во второй фазе менструального цикла женщина сдаёт венозную кровь, после чего в лаборатории определяют показатели CA-125 и PP-14. Их повышение может косвенно указывать на развитие внутреннего эндометриоза.
Каким образом проводится терапия аденомиоза
Лечение заболевания осуществляется двумя способами: консервативным и оперативным. Первый включает в себя использование комбинированных оральных контрацептивов (КОКов), других гормональных средств и препаратов для устранения симптомов. Консервативная терапия применяется при начальных стадиях процесса и относительно молодом (до 30 лет) возрасте пациентки, если она ещё не осуществила детородную функцию. Когда же аденомиоз достиг 3–4-й степени и есть риск прорастания эндометрия в соседние органы и ткани, медики рассматривают вопрос о проведении оперативного вмешательства.
Основные цели терапии недуга:
- нормализация гормонального фона;
- восстановление нормального менструального цикла;
- уменьшение объёма поражённой зоны, где эндометрий врастает в миометрий;
- профилактика прогрессирования патологического процесса.
Хирургическое вмешательство при заболевании
Хирургический метод лечения назначается при отсутствии эффекта от консервативных способов. Операции, используемые при аденомиозе матки, разделяются на следующие виды:
- Органосохраняющие — проводятся при небольшом поражении мышечного слоя органа (узловая и очаговая формы), а также если имеется потребность в сохранении репродуктивной функции женского организма (желание выносить и родить ребёнка). Выполняются методом лапароскопии с небольшим объёмом удаляемых тканей. Сроки восстановления составляют от 3 дней до недели.
- Радикальные (лапаротомия) — назначаются при массивном прорастании эндометрия в миометрий (при диффузном процессе). Осуществляются в следующих вариациях: удаление только матки или матки вместе с придатками. Необходимый объём резекции тканей определяет доктор, основываясь на распространённости аденомиоза. Восстановление происходит в течение 1–1,5 месяца.
Пациенткам, у которых недуг был обнаружен в возрасте старше 85 лет, оперативное лечение практически не проводится из-за высокого риска различных осложнений.
После резекции матки при сохранности одного из яичников женщина может осуществить репродуктивную функцию, воспользовавшись услугами суррогатной матери.
В первые несколько недель после проведения оперативного вмешательства пациентке необходимо соблюдать щадящий двигательный режим и ограничить тяжёлые физические нагрузки. Мне довелось участвовать в лечении аденомиоза матки у женщины, которая работала уборщицей. После проведённого хирургического вмешательства пациентка выписалась домой и в тот же день вернулась к работе. Подъём тяжестей спровоцировал расхождение швов, в результате чего больную пришлось оперировать повторно.
Противозачаточные средства и другие группы медикаментов, используемые при аденомиозе матки
Противозачаточные препараты не только могут защитить от развития нежелательной беременности, но и способствуют стабилизации гормонального фона. Все они в своём составе содержат различные дозы биологически активных компонентов эстрогена и гестагена, которые отвечают за регуляцию менструального цикла. Благодаря использованию этих средств удаётся нормализовать созревание эндометрия и обеспечить профилактику маточных кровотечений.
Группы противозачаточных препаратов, применяемых для терапии аденомиоза:
- КОКи (содержат в своём составе эстроген и гестаген):
- Жанин;
- Логест;
- Линдинет-20 и Линдинет-30;
- Джес;
- Ярина.
- Чисто гестагенные средства:
- внутриматочная спираль Мирена;
- подкожный имплант Импланон;
- препараты для орального приёма: Чарозетта, Мидиана.
Для подбора оптимального лекарства следует обратиться за консультацией к специалисту и сдать необходимые анализы. Так вы сможете обезопасить себя от развития нежелательных побочных эффектов. Длительность курса терапии также определяет акушер-гинеколог исходя из данных о состоянии здоровья пациентки.
Фотогалерея: противозачаточные средства для лечения аденомиоза матки
- Линдинет-20 принимается перорально
- Внутриматочная спираль устанавливается акушером-гинекологом
- Импланон устанавливается врачом в верхней трети плеча
Другие группы средств для устранения симптомов внутреннего эндометриоза:
- Нестероидные противовоспалительные препараты — снимают боль и уменьшают отёк тканей. Для этого используют:
- Индометацин;
- Ибуклин;
- Нурофен.
- Иммуностимуляторы — способствуют образованию в костном мозге иммунных клеток (T и B-лимфоцитов). К ним относят:
- Тималин;
- Тимоген;
- Тактивин;
- Циклоферон.
- Антиоксиданты — ускоряют заживление мягких тканей и препятствуют их повреждению активными радикалами кислорода. С этой целью назначают:
- Унитол;
- токоферола ацетат.
Таблица: применение других гормональных препаратов для борьбы с недугом
| Название группы средств | Примеры лекарств | Механизм действия | Основные эффекты от использования |
| Антигонадотропные препараты |
|
Снижают выработку гормонов гипофиза, которые регулируют функцию яичников | Уменьшают длительность и интенсивность менструаций |
| Прогестагены |
|
Понижают количество эстрогена в крови и препятствуют его влиянию на рост эндометрия |
|
| Антиэстрогенные средства |
|
Угнетают выработку половых гормонов, в результате чего клетки внутреннего слоя матки лишаются питания и погибают, прекращая расти в миометрий | Прекращение кровянистых выделений из влагалища |
| Аналоги гонадолиберина |
|
Способствует прекращению выработки гормонов половыми железами | Уменьшение объёма матки и частичное возвращение органа к обычным размерам |
Фотогалерея: другие гормональные средства для лечения аденомиоза матки
- Трипторелин способствует прекращению выработки гормонов половыми железами
- Дюфастон нормализует менструальный цикл
- Неместран угнетает выработку половых гормонов
Меры профилактики заболевания
Аденомиоз оказывает негативное влияние на способность женщины к деторождению, а неприятные симптомы недуга ухудшают качество жизни. Именно поэтому многие врачи считают, что гораздо проще обезопасить себя от влияния вредных факторов, которые могут спровоцировать появление этой патологии.
Не забывайте о регулярном прохождении медицинского осмотра. Одна из моих коллег в течение 2 лет откладывала поход к гинекологу, а когда ей наконец удалось посетить врача, был обнаружен запущенный аденомиоз 3 стадии. В результате этого женщине пришлось удалить матку вместе с придатками. Если бы пациентка своевременно обратилась к акушеру-гинекологу, удалось бы избежать подобных последствий.
Меры индивидуальной профилактики аденомиоза матки:
- Подберите для себя оптимальную методику контрацепции. К примеру, противозачаточные препараты помогут не только избежать нежелательной беременности и последующего выскабливания, но и способствуют стабилизации уровня гормонов. Для защиты от инфекций, передающихся половым путём, рекомендуется сочетать приём КОКов с использованием презервативов (метод двойной контрацепции).
- Следите за своим питанием. Употребление солёной, жареной, высококалорийной пищи и фастфуда способствует образованию лишнего веса и развитию ожирения. Рекомендуется добавить в рацион больше свежих овощей и фруктов, зелени и орехов, нежирную рыбу и мясо, каши и крупы. Принимать пищу нужно не менее 5 раз в день: завтрак, обед, ужин и 2 перекуса. Для нормализации водно-солевого баланса следует употреблять 2 литра негазированной воды ежедневно.
- При развитии гинекологических заболеваний не откладывайте визит к доктору и сразу же занимайтесь лечением недугов. Многие воспалительные процессы (в том числе эндометрит или миометрит) могут стать причиной повреждения эндометрия и последующего развития аденомиоза.
- Регулярно занимайтесь лёгкими спортивными нагрузками и ведите более подвижный образ жизни. Недостаток активности способствует формированию венозного застоя в нижней части туловища, что также создаёт предпосылки для развития болезни.
- Не начинайте приём любых препаратов без консультации со специалистом. Многие лекарственные средства имеют отдалённые побочные эффекты, в результате которых может развиться повреждение эндометрия.
Планирование беременности при аденомиозе матки
При наличии подобного диагноза рекомендуется ответственно подойти к моменту планирования ребёнка. Акушеры-гинекологи советуют будущей маме подумать о своём здоровье заранее и подготовить себя к вынашиванию малыша.
Совместимы ли аденомиоз и беременность
Если раньше практически все врачи считали, что подобное заболевание равносильно бесплодию, то теперь медицинское сообщество уверено в обратном. При аденомиозе матки не только можно забеременеть, но и вполне успешно выносить здорового малыша. В большей степени на этот процесс влияют индивидуальные особенности организма женщины и наличие у неё других заболеваний репродуктивной системы.
Вероятность развития бесплодия
В процессе имплантации плодное яйцо ищет место для прикрепления в полости матки, после чего выделяет специальные ферменты, немного разрушающие верхний слой. Это позволяет зародышу надёжно прикрепиться к стенке и расти. При аденомиозе наблюдается изменение миометрия и эндометрия различной степени выраженности, что затрудняет процесс имплантации: в этом случае плодное яйцо выходит вместе с менструальной кровью. При очаговой или узловой формах заболевания и 1–2-й стадиях вероятность забеременеть всё же есть. Если же патологический процесс дошёл до 3–4-й степени или матка поражена диффузно, врачи ставят диагноз бесплодия.
Как забеременеть при аденомиозе матки
Перед планированием беременности акушеры-гинекологи рекомендуют заняться лечением всех острых и хронических заболеваний, а также придерживаться правил здорового питания, больше отдыхать и меньше подвергаться стрессам. Зачатие следует проводить в период овуляции (когда яйцеклетка выходит из яичника). Определить его можно с помощью специального теста, который продаётся в аптеке.
Когда планировать беременность после курса терапии
После консервативного лечения врачи рекомендуют заводить потомство после уменьшения очагов аденомиоза или исчезновения клинической симптоматики. Необходимо регулярно сдавать анализы и отслеживать динамику недуга. Пациентка должна прекратить приём противозачаточных препаратов, чтобы вернулась естественная овуляция.
В некоторых случаях после отмены гормональных контрацептивов у женщин может возникнуть многоплодная беременность.
Хирургическое лечение аденомиоза является стрессом для организма. Для полного восстановления функций репродуктивной системы, нормализации менструального цикла необходимо подождать от 3 месяцев до полугода. Это позволит подготовить матку к последующему вынашиванию ребёнка и обеспечит профилактику развития осложнений.
Особенности течения беременности при аденомиозе
Доказано, что ожидание ребёнка оказывает благоприятное воздействие на организм женщины. Беременность является своего рода физиологической менопаузой: из-за отсутствия менструаций исчезают основные клинические проявления болезни, а также уменьшаются очаги аденомиоза. В некоторых случаях пациентке требуются ограничение физической активности и приём прогестагенов для профилактики преждевременного начала родовой деятельности.
Женщина с подобным заболеванием должна регулярно проходить скрининговые исследования (УЗИ, анализы крови и мочи, мазки). Это позволит вовремя обнаружить развитие осложнений.
Родоразрешение при аденомиозе матки может происходить естественным путём, если нет других показаний к проведению кесарева сечения со стороны матери или ребёнка. Плановое хирургическое вмешательство осуществляется на сроке 38–39 недель.
Нежелательные последствия недуга
Аденомиоз матки — это крайне опасное заболевание, которое может привести к различным осложнениям в любом триместре беременности. Чаще всего возникают:
- самопроизвольные аборты или выкидыши на ранних сроках (связаны с нарушением имплантации плодного яйца и отсутствием питательных компонентов, необходимых для развития зародыша);
- недостаточность плаценты (плацента — детское место, через которое полезные вещества из организма матери поступают в тело ребёнка);
- гестоз — появление отёков и повышение артериального давления;
- предлежание плаценты (из-за большого объёма поражения поверхности матки плодное яйцо может закрепиться в её нижней части, в результате чего родовой канал оказывается перекрытым);
- кровотечение из-за разрыва сосудов;
- преждевременное начало родовой деятельности (на сроке до 38 недель) из-за отслойки нормально расположенной плаценты.
Помните, что для беременной женщины с диагнозом аденомиоз матки строго запрещены любые стрессы. Одна из моих пациенток, страдающая от этого заболевания, находилась на 14-й неделе, когда у неё произошла ссора с мужем. Из-за резкого гормонального скачка и нервно-психического напряжения у женщины случился выкидыш. После выскабливания медики приняли решение об удалении матки вместе с придатками. Единственным способом завести потомство для этой пациентки стало усыновление ребёнка из детдома.
Фотогалерея: нежелательные осложнения аденомиоза матки
- Предлежание плаценты — это показание к операции кесарева сечения
- Преждевременная отслойка плаценты сопровождается угрожающим жизни плода кровотечением
- Недоношенный ребёнок, появившийся на свет раньше срока, должен находиться в реанимации
Отзывы женщин, столкнувшихся с заболеванием
Коки в этом плане — препараты первого выбора. Если они противопоказаны, тогда только дюфастон назначают обычно. Я дюфастон принимала один цикл, месячные после него были очень обильными, видно и что и своего прогестерона достаточно, эндометрий слишком из-за него нарос. А вот коки принимала много лет, лет 8 точно. В первую очередь для контрацепции, а во вторую, чтобы аденомиоз не распространялся. Забеременела сразу же, с яичниками полный порядок.
Мне гинеколог тоже поставила такой диагноз. И назначила пить ЛОГЕСТ на 3 месяца. Вот уже второй месяц приема подходит к концу. Пока все нормально.
Мне 43 года. Вчера была на УЗИ, поставили диагноз аденомиоз. Меня ничего не беспокоит, не болит. Единственное, уже 2 цикла месячные стали более длительными, затяжное очищение что ли… Врач рекомендует гормональные средства: неместан.
Мне также поставили диагноз аденомиоз (мне 49 лет), после месячных и до них постоянно идут выделения коричневатого цвета.Врач гинеколог-эндокринолог предложила пропить два курса Дюфастона и травы — либо Красную щетку, либо Боровую матку , а затем, если не будет никакого эффекта — выскабливание.
Аденомиоз матки — это серьёзное заболевание, которое требует обязательно лечения и наблюдения специалистом в течение длительного времени. Если пациентка будет халатно относиться к своему здоровью, существует риск развития бесплодия и существенного снижения качества жизни. Именно поэтому даже после прохождения курса основной терапии врачи советуют придерживаться профилактических рекомендаций, а также регулярно обследоваться у акушера-гинеколога на предмет выявления осложнений.
Вопрос-ответ
Можно ли планировать беременность при аденомиозе?
В большинстве случаев, как утверждают врачи, беременность при аденомиозе матки вполне возможна.
Можно ли родить здорового ребенка при аденомиозе?
При первой степени аденомиоза вероятность беременности и благополучного вынашивания плода достаточно высока. Диффузный аденомиоз и спаечные процессы усложняют ситуацию. Если беременность при аденомиозе все же наступила, состояние женщины будет улучшаться. Однако вместе с тем сохраняется риск выкидыша.
Можно ли забеременеть при эндометриозе и аденомиозе?
Можно! Более 50% пациенток с вылеченным эндометриозом благополучно, без осложнений обзаводятся родными детьми. Беременность наступает при естественном зачатии или искусственном оплодотворении, в том числе донорскими яйцеклетками.
Что происходит с аденомиозом при беременности?
Спайки в полости матки, которые развиваются при патологии, могут вызвать нарушения роста и развития эмбриона, вызывая формирование заболеваний, аномалий, замирание беременности. Также они могут исключить естественные роды. Если в области прикрепления плаценты определяется очаг аденомиоза, то высок риск ее отслоения.
Советы
СОВЕТ №1
Проконсультируйтесь с врачом-репродуктологом. Перед тем как планировать беременность, важно обсудить с врачом все аспекты вашего здоровья, включая аденомиоз. Специалист сможет оценить состояние матки и предложить оптимальные варианты для зачатия.
СОВЕТ №2
Следите за своим менструальным циклом. Ведение календаря менструаций поможет вам лучше понять свои овуляторные циклы и определить наиболее благоприятные дни для зачатия. Это особенно важно при наличии аденомиоза, так как он может влиять на регулярность цикла.
СОВЕТ №3
Обратите внимание на образ жизни. Здоровое питание, регулярные физические нагрузки и отказ от вредных привычек могут улучшить общее состояние организма и повысить шансы на успешное зачатие. Рассмотрите возможность добавления витаминов и минералов, необходимых для репродуктивного здоровья.
СОВЕТ №4
Не забывайте о психологическом аспекте. Психологическое состояние играет важную роль в процессе зачатия. Рассмотрите возможность посещения психолога или участие в группах поддержки, чтобы справиться со стрессом и тревогой, связанными с аденомиозом и планированием беременности.















