Коленный сустав – один из сложнейших в организме человека, повреждение его медиального мениска вызывает боль и требует немедленного лечения. Пациент испытывает колоссальную нагрузку даже просто во время ходьбы, не говоря уже о беге и занятиях спортом. Хрящевая ткань необходима в коленном суставе для амортизации. Ее осуществляют латеральный и медиальный мениски.
Специфика повреждений
Повреждения в коленном суставе бывают следующие:
- растяжение или разрыв связок;
- перелом коленной чашечки;
- ушиб;
- разрыв менисков;
- отслоение менисков.
Травмы менисков представляют собой закрытый тип травмы, очень болезненны и долго заживают. Характеризуются всегда острой болью в колене, иногда отеками и кровоизлиянием. В некоторых случаях колено начинает свободно «ходить». Мениск можно повредить в таких случаях:
- во время занятий спортом в неправильной технике;
- подвернув ногу во время бега;
- неудачно приземлившись после прыжка;
- ударив колено об ступеньку лестницы;
- получив сильный удар по колену.
Самый распространенный вид повреждения — это разрыв медиального мениска коленного сустава. Так как это внутренний мениск, он менее подвижен, а нагрузка на него сильнее. А также он почти не имеет кровоснабжения в отличие от внешнего.
Для справки! Мениски имеют форму подковы, поэтому у них можно выделить тело и два рога, один называется верхним, второй – нижним.
Разрыв переднего рога медиального мениска менее опасен, так после него только блокируется сустав. Эту блокировку может снять врач необходимыми мануальными воздействиями. А вот разрыв заднего, в отличие от переднего рога, может сопровождаться выскакиванием колена.
Повреждение медиального мениска можно разделить по типу разрыва:
- Горизонтальный разрыв, часто связан с новообразованиями.
- Вертикальный, еще его называют разрыв медиального мениска по типу «ручки лейки».
- Поперечный разрыв, такой разрыв заживает легче всех.
- Лоскутный разрыв, чаще всего требует операции.
- И тот, который может совмещать несколько – комбинированный.
Повреждение подразделяется на степени:
- 1 степень – это небольшое повреждение;
- 2 степень – это более серьезное повреждение;
- 3 степень – это разрыв.
Очень важно после повреждения медиального мениска коленного сустава не откладывать визит к врачу и лечение.
Важно! Чем дольше пациент затягивает с лечением, тем дальше может зайти дегенеративное изменение мениска коленного сустава.
Как проводится лечение?
Непосредственно с травмой нужно обратиться в травмопункт к травматологу. Если со времени травмы прошло довольно долгое время, недели две, а то и больше, и появилось подозрение на хроническую стадию, то нужно обратиться к терапевту. Он осматривает пациента, назначает анализы и диагностику. В зависимости от специфики аппаратуры, диагностика проводится с помощью следующих исследований:
- магнитно-резонансного;
- ультразвукового;
- рентгенографического;
- томографического.
По результатам исследований терапевт поставит первичный диагноз. Он поможет устранить болевой синдром и снять отек. А дальше, если это легкое повреждение, то назначит консервативное лечение:
- физиотерапию;
- медикаменты;
- лечебную физкультуру;
- покой;
- диету.
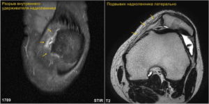
Иногда, например, при нестабильности медиального удерживателя надколенника, требуется прочная фиксация колена.
Медикаментозная помощь
В ходе этого типа лечения назначают препараты как в форме таблеток, так и в форме мазей. Это может быть:
- Диклофенак;
- Нимесулид;
- Ибупрофен.
На первом этапе препараты должны:
- снять отек;
- убрать воспаление;
- обезболить.
На этапе восстановления назначают хондропротекторы, которые могут быть использованы как в таблетках, так и вводиться с помощью инъекций. Все чаще начинают применять инъекции гиалуроновой кислоты, они хороши для быстрой регенерации хрящевой ткани.
Физиолечение
Представляет собой воздействия тепла, грязей или излучений на больное место. Они усиливают приток крови, тем самым ускоряя регенерацию тканей. Разновидности физиотерапии:
- электрофорез;
- УЗ-лечение;
- грязевые ванны;
- парафиновые обертывания.
Тип лечения подбирается врачом индивидуально. Если оно не даст результатов, либо случай более серьезный, то терапевт направит к узкому специалисту:
- к травматологу-ортопеду, если это запущенная травма;
- к артрологу если это воспалительные заболевания суставов;
- к инфекционисту, если это заболевания бактериального характера.
Каждый из профилирующих врачей может назначить дополнительное обследование, в зависимости от подозрения на то или иное заболевание.
Важно! Физиолечение начинается только после снятия воспаления, отека и болевого синдрома. Перегрев во время физиотерапии только усугубит воспаление.
Операция
После осмотра и диагностики врач принимает решение лечить колено, либо же направлять на операцию. В ходе операции могут осуществлять следующие действия:
- Отсечь поврежденную часть мениска. Очень важно, чтобы края мениска были ровными, если для этого необходимо часть отсечь, то это делают.
- Восстановить мениск. Поврежденные ткани сшиваются, эта операция возможна только при немедленном обращении к врачу после получения травмы. Иначе может произойти омертвение ткани, и сращивание станет невозможным.
- Удалить мениск. Это самый крайний случай, так как удаление мениска сопровождается неприятными последствиями.
- Замена мениска протезом либо донорским органом.
Сейчас операцию в основном делают при помощи артроскопии. Ее преимущества перед старым методом следующие:
- надрезается небольшой участок кожного покрова;
- меньший срок восстановления;
- нет надобности фиксировать сустав;
- есть возможность наблюдать за ходом операции с помощь высокоточной камеры.
После операции врач будет еще долго наблюдать пациента. Так как период восстановления будет долгим, может потребоваться дополнительная стимуляция в виде физиотерапии, хондропротекторов и лечебной физкультуры. После операции пациента часто переводят на дневной стационар.
Мануальная терапия
Эта терапия основана на изучении опорно-двигательной системы и потоков крови. Ход лечения очень похож на массаж.
Остеопаты утверждают, что во время своих манипуляций направляют потоки в нужное русло, и организм начинает работать правильно.
Так как усиленный приток крови помогает при некоторых повреждениях мениска, то остеопаты могут в каком-то роде помочь. Но стоит помнить, что официальной медициной остеопатия не признана.
Народные способы лечения
Народная медицина приготовила и для лечения повреждений менисков свои рецепты. Предлагается следующее:
- Делать примочки из смеси меда и спирта в равных пропорциях.
- Делать компрессы из луковой кашицы.
- Промывать колена отваром из крапивы, листьев фиалки.
- Прикладывать к больному колену лист лопуха.
Конечно, эти методы не настолько сильны при разрыве мениска, но облегчить боль и снять отек все же могут помочь. Необходимо проконсультироваться с врачом о целесообразности совмещения с традиционным лечением. Иногда врачи бывают не против, а воспринимают народную медицину как полезное дополнение.
Повреждение собственной связки надколенника
Связка надколенника является продолжением сухожильной части четырехглавой мышцы бедра, прикрепляется к бугристости большеберцовой кости.
Она отвечает за стабильность костей колена, за его вращения, сгибания, разгибания и поднятия ноги. При движении надколенной чашечки увеличивается эффективность работы четырехглавой бедренной мышцы.
Во время сгибания конечности происходит движение надколенника вверх по бедренной кости.
На точки, где крепятся связки, припадает наибольшая нагрузка, поэтому данная часть надколенника наиболее подвержена разрывам связок. Всевозможные травмы надколенной связки могут возникнуть у любого человека. В зону риска попадают люди, ведущие активный образ жизни, спортсмены, которые занимаются бегом, прыжками, танцевальными видами спорта, подростки, женщины, носящие каблуки.
Связку надколенника еще называют собственной связкой. Но несмотря на то, что этот термин у нас получил широкое распространение, по официальным медицинским документам он отсутствует.
Анатомия
Коленный сустав состоит из бедренной, большеберцовой и надколенной кости. Внутри него расположены медиальные и латеральные хрящевые прослойки, выполняющие двигательную и стабилизирующую функции.
Так как на колено всегда приходится большая нагрузка, оно укреплено со всех сторон большим количеством связок. Связки надколенника очень прочные и способны выдерживать любую нагрузку.
Они подразделяются на два типа:
- Сухожилия, расположенные снаружи коленного сустава (малоберцовая и большеберцовая коллатеральные связки, косая связка, дугообразная и надколенная связка);
- Сухожилия, расположенные внутри сустава (задняя крестообразная связка, передняя крестообразная связка).
Наружные и внутренние сухожилия образуют поддерживающие связки надколенника. Кроме соединения костей, связочный аппарат вместе с сухожилиями выполняют функции стабилизации сустава.
Малоберцовая коллатеральная связка прикрепляется к головке малоберцовой кости и ведется от наружного надмыщелка бедренной кости.
Большеберцовая коллатеральная связка располагается от внутренней части надмыщелка до внутренней стороны большеберцовой кости и способствует удержанию голени от наружного отклонения.
Крестообразные сухожилия удерживают сустав от смещения вперед и назад.
При напряжении четырёхглавой мышцы бедра происходит смещение надколенника, в результате чего коленный сустав выполняет разгибание, а конечность может подниматься.
Слабость связочного аппарата или получение травм приводит к тому, что сухожилия неспособны выдержать нагрузку, превышающую допустимую, что приводит к повреждению или к возникновению воспалительных процессов в коленном суставе. Интересно почитать — вывих коленного сустава.
Симптомы
Разрыв связки надколенника представляет собой смещение чашечки.
В большинстве случаев при этом неприятном явлении слышен звук, похожий на щелчок, а затем ощущается сильный болевой синдром, возможно появление отека как сразу после получения травмы, так и спустя определенный промежуток времени. Кроме того, появляются и другие симптомы, в зависимости от степени повреждения и типа разрыва сухожилий (частичные и полные).
Частичный разрыв характеризуется неполным нарушением связочного аппарата подколенника. Образуется внезапный болевой синдром в верхней части коленной чашечки, который быстро проходит в течение нескольких дней. В области травмы образуется небольшая припухлость.
Полный разрыв характеризуется разделением связочной части на две составляющие, при котором сухожилие полностью отходит от кости.
В этом случае происходит затруднение в сгибании и разгибании из-за сильно выраженной боли, а также наблюдается ограничение движения в коленном суставе. При полном разрыве связки надколенник смещается вверх.
Травмированная область становится очень чувствительной, могут ощущаться судороги, наблюдаться воспалительный процесс с повышением температуры и ухудшением общего состояния организма.
Появление симптомов в значительной степени зависит от степени травмы. Различают три степени тяжести разрыва сухожилий:
- 1-я степень сопровождается небольшим разрывом тканей. Боль выражена не очень сильно.
- 2-я степень отличается сильным болевым синдромом, отеком, появлением гематомы и нарушением двигательной активности.
- 3-я степень – это тяжелая травма, при которой ощущается сильно выраженный болевой синдром. В большинстве случаев появляется сильная гематома, опухает поврежденная часть, нарушается трудоспособность. Возможно проведение оперативного вмешательства.
Диагностика
С помощью диагностических методов исследования можно объективно обследовать повреждение связок и исключить другие травмы, в том числе перелом, а также установить окончательный диагноз и назначить соответствующее лечение.
Лучевая диагностика включает в себя проведение рентгенографического исследования в нескольких проекциях — в верхней, боковой и задней. При необходимости применяют дополнительные методы лучевой диагностики — УЗИ и магниторезонансная томография. Они позволяют более точно проследить целостность сухожилия.
Если было выявлено повреждение связочной структуры, с помощью данного диагностического исследования выясняется локализация и степень разрыва, а также его величина.
Лечение
При частичном разрыве сухожилий надколенника делают иммобилизацию поврежденного коленного сустава с накладыванием гипса, обезболивают с помощью обезболивающих препаратов, а также проводят физиотерапевтические процедуры.
После того как гипс будет снят, постепенно увеличивают нагрузку, развивают двигательную активность и выполняют специальные упражнения. На начальном этапе хорошо будет увеличивать нагрузку с помощью ходьбы, плавания, медленного бега, приседания.
При застарелом повреждении не всегда обычное лечение дает желаемый результат, поэтому иногда необходимо и оперативное вмешательство.
Полный разрыв связки надколенника, в основном, требует хирургического вмешательства, так как медикаментозное лечение не дает положительных результатов. Операция проводится с целью зашивания поврежденной связки, способствующего восстановлению ее целостности.
Чем раньше обратиться за помощью к специалисту и провести оперативное лечение, тем быстрее наступит выздоровление. Если отрыв локализовался посередине сухожилия надколенника, то зашивается и надколенная, и поддерживающая связки.
На десятые сутки снимаются швы, и начинается движение с постепенным увеличением нагрузки.
Хирургическое восстановление
После проведения операционного вмешательства, если произошел разрыв собственной связки надколенника, проводят иммобилизацию поврежденной конечности с накладыванием циркулярной гипсовой повязки. Через три недели ее следует поменять.
Недель через шесть разрешается снять швы, и начинается лечение, направленное на увеличение двигательной активности и укрепление мышц.
Движение после операции положительно влияет на заживление связки и на весь организм человека, а также способствует быстрому его восстановлению.
Послеоперационный период
После проведения операции пациенту, делая опору, можно постепенно наступать на пальцы поврежденной конечности, а после восстановления ее функций (через 5-6 недель) можно совершать небольшие движения всей стопой без костылей.
В обязательном порядке необходимо выполнять сгибательно-разгибательные движения в коленном суставе.
Послеоперационный период предусматривает активное проведение лечебно-физической культуры, направленной на восстановление двигательной активности и силы.
Синовит мениска
Коленный сустав является самым крупным сочленением в организме человека, он выполняет важную опорную и двигательную функцию.
Сочленение укреплено крупными связками и мышцами, что позволяет человеку совершать быстрые и активные движения.
Но из-за больших нагрузок колено подвержено травмам, которые могут спровоцировать синовит мениска.
Синовит мениска (коленного сустава) – это серьезная патология, которая нередко возникает у спортсменов и сопровождается разрывом мениска. Заболевание требует обязательного лечения под контролем специалиста, нередко требуется и хирургическое вмешательства. Отсутствие лечения может привести к тяжелым осложнениям, например, артрозу и артриту коленного сустава.
Синовит и повреждение внутреннего мениска
Синовит – это заболевание воспалительного характера, при котором происходит поражение суставное оболочки. Синовиальная оболочка покрывает всю поверхность сустава внутри и часть связок, но не затрагивает гиалиновый хрящ. Она выделяет синовиальную жидкость, которая обеспечивает смазку и питание сустава.
При синовите происходит чрезмерное выделение суставной жидкости, она меняет свой состав, и называют ее выпотом. Как следствие, колено опухает и появляются болевые ощущения, нередко происходит поражение окружающий тканей, мышц, связок и даже самого сустава.
Всего в коленном суставе присутствует два мениска: внешний и внутренний. Чаще всего происходит поражение внутреннего мениска из-за его расположения. Он находится в задней части колена, является малоподвижным, а при больших нагрузках может травмироваться и смещаться, поэтому болезнь чаще всего возникает у спортсменов.
Причины синовита и разрыва мениска
Травма мениска коленного сустава и синовит чаще всего возникают у людей, которые активно занимаются спортом, в частности, у футболистов, лыжников, прыгунов, атлетов, балерин и других спортсменов. Заболевание возникает вследствие травмы, например, при резком повороте ноги, падении или ударе по колену.
Синовит мениска может возникать и при ослабленном иммунитете, а иногда причиной патологии становится инфекция, которая попадает в сустав через рану или через кровь. Реактивный синовит может возникать в качестве осложнения артритов и артрозов.
Выделим общие причины синовита и разрыва мениска коленного сустава:
- постоянные чрезмерные физические нагрузки;
- травмы;
- хронические воспалительные процессы;
- заболевания иммунной системой;
- эндокринные патологии;
- тяжелые аллергические реакции.
В зависимости от причины возникновения патологии, синовит разделяют на следующие виды:
- посттравматический;
- экссудативный;
- реактивный;
- хронический.
Посттравматический возникает при тяжелых нагрузках и после травмы, часто связан с разрывом мениска и раздражением синовиальной оболочки его обломками. Экссудативный связан с механической травмой, при этом вырабатывает большое количество выпота. Реактивный связан с токсическим и механическим воздействием на суставную оболочку, возникает при воспалении сустава и аллергиях.
Хроническая форма заболевания возникает в качестве осложнения острого синовита, встречается она достаточно редко и сопровождается нарушением кровообращения в суставе и его разрушением. Такая патология тяжело лечится и может провоцировать разрушение сустава и нарушение его функции.
Симптомы заболевания
Посттравматический синовит с разрывом мениска сопровождается следующими симптомами:
- сразу после травмы возникает сильная боль в колене, которая долго не проходит;
- двигательная активность сочленения нарушается, иногда это связано с сильной болью, а иногда со смещением мениска, в последнем случае происходит полная блокада сустава;
- кожа вокруг сустава припухает, краснеет;
- в месте травмы могут появляться кровоподтеки и гематома из-за повреждения сосудов.
При синовите симптомы со временем усиливаются, увеличивается отек и появляются ноющие боли даже при отсутствии движения, это связано с активным выделением суставной жидкости в полость сустава.
Первая помощь
Очень важно оказать первую помощь человеку с травмой колена, это поможет избежать смещения мениска и необходимости проводить хирургическое лечение. Если человек травмировался, то необходимо провести следующие мероприятия:
- вызвать скорую помощь, тяжелые травмы колена требуют обязательного лечения под контролем врача;
- запретить пострадавшему вставать, двигать больной ногой;
- если есть необходимости перевести пациента самостоятельно, нужно иммобилизировать колено при помощи шины;
- если пациент жалуется на сильную боль, нужно дать ему обезболивающий препарат;
- для предупреждения сильного отека и гематомы нужно приложить к больному месту холод.
Нужно помнить, чем раньше пациент начнет лечить травму сустава, тем благоприятнее будет прогноз. Застарелые повреждения нередко осложняются хроническими воспалительными процессами, что неминуемо приводит к разрушению хряща и инвалидности.
Диагностика синовита и разрыва мениска
Правильно поставить диагноз может только специалист, потому что симптомы синовита очень неспецифичны, и их легко спутать с другими патологиями сочленения. При первичном осмотре врач выслушает жалобы пациента, составит анамнез и внешне изучит состояние сочленения. Опытный специалист сразу поставит предварительный диагноз и направит на анализы для его подтверждения.
Для изучения состояния костной и хрящевой ткани пациент пройдет рентгенографию и УЗИ, также необходимо сдать анализ крови и пункцию синовиальной жидкости, чтобы узнать причину возникновения патологии.
Лечение патологии
Терапия синовита с разрывом мениска зависит от тяжести заболевания. Если травма мениска несильная и без смещения, то избавиться от патологии можно и консервативными методами, но при смещении и отрыве хрящевой пластинки понадобится хирургическое вмешательство, во время которого врач восстановит ее целостность.
Консервативное лечение
Синовит и повреждение заднего рога медиального мениска лечится в первую очередь иммобилизацией конечности. Пациенту накладывают гипс, либо рекомендуют ношение ортеза на коленный сустав, чтобы ограничить движение в нем. Также пациенту запрещают наступать на больную ногу, ходить можно с использованием костылей.
Для снятия боли и воспаления врач назначает медикаментозное лечение, чаще всего это прием нестероидных противовоспалительных препаратов. Если причиной воспаления стала инфекция, пациенту назначают прием антибактериальных средств, также показан прием витаминов. При хроническом синовите может понадобиться назначение гормональных противовоспалительных препаратов.
Также пациенту назначают физиотерапию, например, лечение магнитом, лазером, теплом. Такое лечение помогает быстро избавиться от боли в суставе, снять отек и воспаление, улучшить кровообращение в тканях и ускорить таким образом восстановление сустава.
После снятия острой боли врач назначает лечебную физкультуру, она необходимо для постепенной разработки сустава и укрепления мышц. Упражнения помогают вернуть колено в рабочее состояние, не допустив повторной травмы. Спортсменам очень важно начинать тренировки медленно, с очень небольших нагрузок, постепенно их увеличивая.
Хирургическое лечение
Если консервативное лечение синовита неэффективно, или наблюдается разрыв медиального мениска со смещением, показано хирургическое вмешательство. В наше время операцию проводят малоинвазивным методом артроскопии. Врач не производит больших разрезов, поэтому шрамов не остается.
Хирург производит два небольших надреза, в которые вводит инструменты и артроскоп, и проводит все необходимые манипуляции. После процедуры назначают обычно консервативное лечение. После такой операции не требуется длительной реабилитации, так как повреждение тканей минимально.
Народные средства при синовите
Синовит коленного сустава, сопровождающийся разрывом мениска нельзя лечить самостоятельно в домашних условиях, такое поведение, скорее всего, приведет к воспалению всего сочленения и его разрушению. Но народные средства можно использовать в комплексном лечении для укрепления организма и снятия симптомов заболевания.
Перед применением рецептов народной медицины нужно убедиться, что целостность кожных покровов не нарушена и у пациента отсутствует аллергическая реакция на компоненты средства.
Также рекомендуется проконсультироваться с лечащим врачом о возможности использования выбранных средств. Нельзя применять согревающие компрессы при инфекционном синовите, а также одновременно наносить на кожу аптечные мази и народные средства.
Рецепты, которые помогают снять боль при синовите и травмах мениска:
- Если произошла травма, снять отек и предупредить появление синяка поможет холодный компресс. Необходимо достать из морозильной камеры лед или пакет с замороженными овощами, ягодами, обернуть его в махровое полотенце и приложить к больному месту на 10 минут. После чего сделать перерыв 5 минут и снова приложить компресс. Нельзя держать лед слишком долго, а также прикладывать его к коже без тканевой прослойки, это может привести к обморожению кожи.
- Снять воспаление и боль поможет фитотерапия. Для лечения используют отвары ромашки, шалфея. Траву необходимо купить в аптеке и заварить в кипятке, после чего хорошо процедить. Полученным средством пропитать ткань и приложить к колену на 2 часа, замотав сверху пищевой пленкой.
- Чтобы улучшить кровообращение и ускорить выздоровление необходимо каждый день проводить легкий массаж. Во время обострения заболевания нельзя трогать сустав, нужно массировать кожу вокруг него.
- При синовите рекомендуют наносить на больной сустав мазь с окопником. Для ее приготовления необходимо подготовить стакан измельченной травы и сделать фарш и 200 граммов свиного сала. Ингредиенты нужно хорошо перемешать и поставить в холодильник на 5 дней. Готовое средство нужно наносить на пораженный сустав утром и вечером, слегка массируя.
- Простое и эффективное противовоспалительное средство – компресс из капустного листа и меда. Для его приготовления понадобится чистый лист капусты, который нужно обдать кипятком и отбить молоточком для мяса. Сочный лист смазать свежим медом и приложить к больному колену, сверху закрепить бинтом и оставить на всю ночь, утром колено будет болеть меньше.
Синовит мениска и его профилактика
Предупредить развитие синовита коленного сустава и травму мениска возможно, если соблюдать следующие полезные советы:
- необходимо правильно тренироваться, перед выполнением активных и силовых упражнений нужно обязательно провести разминку.
- во время тренировок спортсмены должны соблюдать технику безопасности;
- важную роль играет форма спортсмена, обувь и одежда должна быть подобрана с учетом техники безопасности;
- во время активных тренировок рекомендуется использовать фиксирующие повязки и бандажи на коленные суставы;
- очень важно правильно питаться и укреплять иммунитет;
- нельзя тренироваться в алкогольном и наркотическом опьянении;
- нельзя допускать переохлаждение суставов;
- очень важно своевременно лечить все воспалительные процессы в организме, это относится даже к полости рта.
Своевременное обращение к врачу, правильный образ жизни и соблюдение техники безопасности поможет снизить риск воспаления сустава и серьезных травм во время тренировок.
Вывих надколенника
Надколенник является самой крупной сесамовидной костью.
Сесамовидная кость обычно располагаются в толще сухожилий и служит для увеличения тяги мышцы. К нижнему полюсу надколенника прикрепляется связка надколенника, которая идёт к бугристости большеберцовой кости. К верхнему полюсу надколенника прикрепляется четырёхглавая мышца бедра. Надколенник участвует в разгибании голени.
К внутренним и наружным поверхностям надколенника прикрепляются удерживатели надколенника, которые помогают надколеннику при движениях располагаться по центру. При разгибании надколенник свободно находится в полости коленного сустава, а при сгибании плотно прилегает к специальной борозде на бедренной кости – образуется бедренной надколенниковый сустав.
Поверхность надколенника, которая скользит по бедренной кости является суставной, покрыта толстым хрящем.
Нестабильность надколенника. Нестабильность надколенника это состояние, при котором надколенник стремится сместиться из центрального положение в сторону.
Сверху — боковая рентгенограмма, снизу — аксиальная, на которой видно нормальное взаимоотношение надколенника и бедренной кости
Бывает гиперпрессия коленной чашечки, то есть повышенное давление на суставную фасетку — латеральная гиперпрессия, то есть повышенное давление на наружный мыщелок бедренной кости, медиальная гиперпрессия, то есть повышенное давление на внутренний мыщелок бедренной кости. При латеральной гиперпрессии надколенник давит на наружную фасетку, при ещё большем смещении — появляется подвывих надколенника, при полном смещении – вывих.
Причины вывиха коленной чашечки
Слабость внутренней удерживающие связки, слабость мышцы бедра, дисплазия мыщелков бедренной кости, высокое стояние надколенника, слабость или перенапряжение удерживателей надколенника и другие.
Анатомические особенности мыщелков бедренной кости играет ключевую роль в стабильности надколенника.
Существует дисплазия наружного мыщелка, при этом коленная чашечка легче смещаться кнаружи; дисплазия внутреннего мыщелка, при которой надколеннику проще смещаться кнутри.
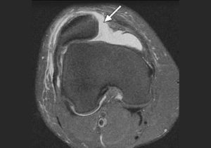
Дисплазия мыщелков хорошо видно на аксиальных рентгеновских снимках или при МРТ исследовании.
Симптомы вывиха надколенника
Симптомами вывиха надколенника являются боль в переднем отделе коленного сустава, ощущение нестабильности коленной чашечки, болезненный щелчок при движении в коленном суставе — он происходит при неправильной новом позиционирование надколенника.
Синовит — чрезмерное скопление жидкости в коленном суставе. При осмотре врач опрашивает пациента, осматривать ногу. Для определения наклона надколенника врач проводит специальные тесты – при надавливании на надколенник кнаружи может усилиться боль; повышенная болезненность при надавливании на удерживатель надколенника.
Диагностика вывиха надколенника
Для уточнения диагноза выполняют рентгеновские снимки, магнитно-резонансную томографию или компьютерную томографию. Рентгеновские снимки выполняют в прямой, боковой, аксиальной проекциях — под углом 20 гр или 45 гр сгибания. Компьютерная томография позволяет более точно определить смещение надколенника.
Кроме того на компьютерной томографии можно определить положение бугристости большеберцовой кости. Самым важным показателем будет являться индекс TT — TG.
Это расстояние между бугристостью большеберцовой кости и бороздой бедренной кости в аксиальной проекции — расстояние более 15 мм свидетельствует в большинстве случаев о подвывихе надколенника.
Лечение вывихов коленной чашечки
Лечение вывиха надколенника бывает консервативным и оперативным. В основу консервативного лечения включается физические упражнения, тейпирование и использование специальных ортезов.
Операция при вывихе надколенника
Как правило, при болях в переднем отделе коленного сустава выполняться артроскопия коленного сустава, на которой оценивается положение надколенника, состояние хряща костей, целостность менисков, связок. Если имеется только латерально гиперпрессия, то производит артроскопическая мобилизацию наружных отделов – рассекают наружную поддерживающие связку.
При повреждении удерживателя надколенника выполняют операцию оп укреплению его. Один из вариантов пластики удерживателя — это операция Medial Patellofemoral Ligament (MPFL).
Суть операции заключается в том, чтобы заместить порванный удерживатель надколенника с помошью трансплантанта из сухожилия пациента и фиксировать его к надколеннику и бедренной кости в той точке, когда при сгибании в коленном суставе происходит равномерное натяжение трансплантантов.
В послеоперационном периоде нога фифксируется в ортезе, постепенно пациент занимается разработкой движений и реабилитацией. Возврат к спорту возможен через 6 месяцев.
Подвывих надколенника: лечение, симптомы и реабилитация
Самым распространенным смещением суставов колена при сохранении их частичного соприкосновения становится подвывих коленной чашечки. В отличие от вывиха, при подвывихе функциональность колена утрачивается частично. Однако данное заболевание также требует повышенного внимания и лечения, потому как может привести к серьезным последствиям.
Сесамовидные кости выполняют в организме функции дополнительного укрепления наиболее подвергаемых нагрузке суставов, а также служат для амортизации и смягчения движений. Надколенник (или коленная чашечка) – крупнейшая сесамовидная кость в теле человека, находящаяся в сухожилии, разгибающем голень между большеберцовой и бедренной костью.
Он способен легко двигаться при разгибании в анатомически допустимых направлениях, а при сгибании входит в желобок между костями, тем самым защищая поверхность большеберцовой и бедренной кости от смещения. Нижней частью надколенник соединяется с передней частью большеберцовой кости при помощи связки, именуемой собственная связка надколенника.
Симптомы
Подвывих надколенника может быть врожденным и приобретенным. Первый связан с аномалиями внутриутробного развития коленного сустава. Приобретенные подвывихи могут быть травматическими (которые происходят вследствие чрезмерной нагрузки) и патологическими (являющимися следствием какого-либо заболевания опорно-двигательного аппарата).
Причины возникновения подвывиха как правило связаны с занятиями спортом, а также падением на жесткую поверхность. Однако иногда подвывих может развиться после оперативного вмешательства, повлекшего развитие нестабильного положения надколенника. Основные симптомы:
- Ощущение нестабильности конечности;
- Хруст, щелчки, сопровождающие движение;
- Чувство провала в колене при попытке полностью разогнуть ногу;
- Острые боли в результате разрыва связок;
- Ограничение подвижности (больной не может согнуть и разогнуть ногу);
- Отек, кровоизлияния, гемартроз в области повреждения;
- Изменение формы колена.
Редко из-за травматического шока может наблюдаться рост температуры тела и побледнение кожи.
Лечение
Важно как можно быстрее обратиться к врачу, ведь чем раньше будет выявлен подвывих коленной чашечки, тем быстрее наступит выздоровление. В первую очередь, травму необходимо обезболить.
Затем травматолог производит осмотр и исследования, включающие рентген, МРТ и КТ колена. При диагностике внимание уделяется не только области сустава, но и мягким тканям и нервным окончаниям.
Если предстоит операция, может быть назначена артроскопия.
Чаще всего в случае подвывиха коленной чашечки операция не требуется. Производится ручная репозиция, в процессе которой врач производит сгибательно-разгибательные движения поврежденной ногой, тем самым восстанавливая правильное положение надколенника.
После манипуляций, колено фиксируется при помощи ортеза или гипсовой повязки. На время лечения больной должен использовать костыли.
Операция
Оперативное вмешательство может потребоваться в случае повреждения связок и сухожилий, изменений в коленном суставе, оказывающих негативное воздействие на процесс выздоровления, а также провоцирующих повторные вывихи. Также операции показаны в случае застарелых подвывихов, когда давность травмы превышает 3 недели.
Современные методы лечения подвывиха надколенника заключаются в применении артроскопа, с помощью которого производится осмотр и оценка состояния коленного сустава изнутри. Затем производится репозиция, направленная на мобилизацию наружного края надколенника. Применение такого метода лечения является наиболее эффективным и с его помощью можно существенно сократить срок реабилитации.
Подвывих надколенника с разрывом связки
У надколенника есть две связки, удерживающие его по бокам. Латеральная связка отвечает натяжение надколенника наружу, а дорсальная, наоборот, тянет его во внутреннюю сторону.
Таким образом, равномерное натяжение связок препятствует смещению надколенника.
В результате чрезмерной физической нагрузки или падения на твердую поверхность иногда возникает смещение суставных поверхностей с повреждением связок и капсулы сустава.
Слишком сильное растяжение или разрыв связки при избыточном натяжении наружной или излишней слабости внутренней связки, может привести к подвывиху. В результате сустав принимает неправильную форму и легко поддается вывиху при резких движениях (например, при сгибании, падении или физических нагрузках).
Реабилитация и восстановление
Важно начинать разработку сустава только после лечения. Наблюдение за реабилитацией проводит врач-ортопед. Реабилитация включает:
- Массаж;
- Лечебные упражнения;
- Физитерапевтические процедуры;
- Ношение специальных бандажей и повязок для восстановления функций сустава;
- Прием комплекса витаминов и минералов для восстановления организма.
Профилактикой данной травмы является укрепление мышечного каркаса, а также применение основ группировки тела при ударах или потере равновесия. Кроме того, необходимо соблюдать меры предосторожности и при потенциальных нагрузках стараться укреплять колено с помощью специальных приспособлений.
Последствия
Как правило, лечение подвывиха коленной чашечки длится не более 3 месяцев и проходит без осложнений. При отсутствии лечения и переходе подвывиха надколенника в хроническое состояние, возникает риск возникновения полного вывиха, который в свою очередь может перейти в привычную форму.
В этих случаях консервативная терапия уже неэффективна и требуется оперативное вмешательство, которое заключается в укреплении связок и изменении их положения.
Лечение вывиха надколенника коленного сустава
Достаточно частой проблемой области переднего отдела коленного сустава является острый вывих надколенника.
Мы подразумеваем латеральный, или наружный, острый вывих надколенника, потому что медиальный, или внутренний, вывих надколенника встречается исчезающе редко.
Увеличивающаяся частота первичных вывихов надколенника связана, прежде всего, с увеличением приверженности активным видам спорта, связанным с резким изменением направления движения.
Пациенты с первичным или острым вывихом надколенника, как правило, молодого возраста с активной жизненной позицией.
Травма надколенника: симптомы и причины
Анатомически надколенник имеет тенденцию к смещению кнаружи при движениях коленного сустава. Чем выше усилие, направленное на сгибание или разгибание, коленного сустава, тем сильнее надколенник смещается кнаружи. Этому смещению противостоят две анатомические структуры: блок бедренной кости и медиальнный (внутренний) удерживатель надколенника.
Если сила смещающая надколенник кнаружи превосходит упругость медиального (внутреннего) удерживателя, происходит разрыв этого удерживателя с вывихом надколенника, что сопровождается острой болью, ощущением того, что в коленном суставе «что-то сместилось и встало на место» и увеличением отека.
В такой ситуации следует незамедлительно обратиться к травматологу-ортопеду для уточнения диагноза и решени вопроса о дальнейшей тактике лечения.
Для правильной диагностики первичного вывиха надколенника коленного сустава в Германии, грамотный травматолог-ортопед после клинического осмотра и тщательного расспроса пациента о механизме травмы выполнит рентгенограммы коленного сустава и порекомендует выполнение МРТ исследование коленного сустава.
В случае, когда надколенник, вывихнувшись, не встает на место, травматолог-ортопед устранит вывих при осмотре. После выполнения МРТ коленного сустава травматолог-ортопед определит окончательную тактику лечения.
Очень важно провести правильную диагностику данного повреждения коленного сустава ввиду того, что острый вывих надколенника по клинике и механизму травмы очень напоминает разрыв передней крестообразной связки.
Лечение повреждений надколенника коленного сустава
Чаще всего при первичном вывихе надколенника, если нет повреждения иных структур коленного сустава кроме медиального удерживателя надколенника, положительный результат дает консервативное лечение, которое заключается в иммобилизации коленного сустава в удобном прямом ортезе в течение 3 недель с момента травмы. При наличии в полости коленного сустава большого скопления крови (неизбежное, к сожалению, в случае острых травм) грамотный травматолог-ортопед выполнит пункцию коленого сустава с строгим соблюдением асептики и антисептики.
Следует обратить особое внимание проблемам профилактики тромбообразования: грамотный травматолог-ортопед порекомендует компрессионный трикотаж и специальные препараты для уменьшения вероятности тромбообразования. После предложенного периода иммобилизации и контрольного осмотра в случае острого вывиха надколенника, пациенту рекомендуется курс восстановительного лечения с проведением физиотерапии, аккуратной разработки движений коленного сустава под контролем докторов-реабилитологов. Если у пациента нет анатомических предпосылок для повторного вывиха надколенника, то процент успешного возвращения к прежним спортивным нагрузкам и активному образу жизни высок и без хирургического лечения.
В случае, когда кроме медиального удерживателя надколенника при остром вывихе надколенника повреждается, например, суставный хрящ с формированием свободных хондральных тел, пациенту рекомендуется проведение артроскопической ревизии коленного сустава для их удаления с последующим консервативным лечением острого первичного вывиха надколенника. Очень важно довериться грамтному травматологу-ортопеду, обладающему большим опытом и знаниями, потому что неверно выбранная тактика лечения может привести к формированию хронической нестабильности надколенника, что проявляется в постоянных его вывихах и разрушением суставного хряща.
Если травматолог-ортопед, проанализировав клинические данные и результаты объективных исследований, предполагает, что успех консервативного лечения будет низким, то он порекомендует первичное хирургическое восстановление медиального удерживателя надколенника или, как его еще называют, медиальной бедренно-надколенниковой связки коленного сустава.
Основанием для первичной рекомендации хирургического лечения может послужить низкий профиль блока бедренной кости (гипоплазия мыщелка бедренной кости), который анатомически препятствует его смещению кнаружи. Среди пластичных и гибких молодых пациенок с мягкой соединительной тканю частота повторных вывихов надколенника после первичного острого вывиха надколенника, к сожалению, также высока, и им рекомендуется первичное восстановление медиальной бедренно-надколенниковой связки.
Хирургическое лечение при переломе надколенника
В зависимости от типа повреждения или разрыва медиальной бедренно-надколенниковой связки хирург травматолог-ортопед порекомендует тот или иной тип хирургического лечения.
Хирургическое лечение может заключаться либо в попытке сшить поврежденный медиальный удерживатель надколенника, либо в пластике бедренно-надколенниковой связки аутотрансплантатом из одного из собственных сухохожилий пациента.
Это обеспечивает наилучшую приживаемость трансплантата, отсутствие аллергических реакций при восстановлении нормальной анатомии переднего отдела коленного сустава. Выполнение хирургического лечения позволяет избежать долгой иммобилизации коленного сустава.
Решение относительно выбора той или иной тактики лечения должно быть принято и рекомендовано грамотным и опытным травматологом-ортопедом, потому что только в этом случае пациент сможет вернуться к прежним спортивным нагрузкам и достигнуть новых высот в скорейшее время после травмы. И консервативное. и хирургическое лечение имеют право на существование, выбор должен выполняться после тщательного анализа каждого случая острого вывиха надколенника в Германии с всесторонним полным обследованием.





