Coxa vara – так называют варусные деформации шейки бедра.
Под определение попадает группа тазобедренных суставов, у которых ШДУ (шеечно-диафизарный угол) бедра не достигает 120 градусов. При этом виде патологии конечность согнута в тазобедренном и коленном суставе, напоминает лошадиную ногу. Заболевание может быть как врожденным, так и приобретенным.
Описание
Ось шейки бедра и диафиза образуют угол, который при нормальных условиях равен 125-130 градусам у взрослых и 130-135 – у маленьких пациентов.
Под действием различных факторов этот показатель может уменьшаться или увеличиваться. Если шеечно-диафизарный угол снижен и составляет менее 120 градусов, речь заходит о coxa vara.
Внимание! В числе этиологических факторов развития кокса вара оказываются: врожденные патологические изменения, травма, перенесенный рахит, нарушения статического характера.
Причины
Причины появления coxa vara достаточно многообразны. Недуг может развиться в результате врожденных аномалий, иметь травматическую или рахитическую природу. Кроме этого, выделяют детскую и юношескую деформацию тазобедренного сустава.
За основу детской патологии взят процесс несоответствующей перестройки шейки и вертикальной области бедренной кости. Вызвано явление первичным нарушением энхондральной оссификации серединной ее зоны.
Кроме этого, варусное изменение шейки бедра нередко диагностируется в случае системных патологий, в числе которых фиброзная остеодисплазия, патологическая ломкость костной ткани, дисхондроплазия.
Недуг может развиться и в результате оперативного вмешательства или как следствие патологических состояний костной ткани. В последнем случае речь идет о туберкулезе, остеомиелите и пр.
Формы
Выделяют две большие группы coxa vara, о которых поговорим подробнее в следующих подпунктах.
Врожденная
Показательный симптом при врожденной варусной деформации шейки бедренной – вертикальное положение эпифазной линии. Для сравнения: при рахитической болезни этот контур немного косит.
Недуг может быть односторонним или двусторонним. В первом случае клиническая картина проявляется в деформации шеечного отдела кости и укорочении бедра вплоть до нескольких сантиметров.
Кроме этого, наблюдается несущественное приведение в суставе, небольшая хромота при сохранении подвижности в пораженной суставной ткани. Симптомы постепенно усиливаются: в 8 лет у ребенка одна нога может быть короче другой на 6-7 см.
В случае двусторонних изменений проявляется лордоз, ребенок качается из стороны в сторону.
Внимание! Не существует достоверной информации относительно этиологии врожденного искривления бедренной кости.
Приобретенная
Речь в данном случае идет о рахитической форме coxa vara. При таком заболевании наблюдается изменение не только проксимального конца бедренной кости, но и верхней трети диафиза. На фоне течения недуга могут сохраниться признаки рахита: характерные изменения формы черепа и пр. Деформации в этом случае подвергается и шейка, и головка бедра.
Юношеская форма патологии называется «скользящим эпифизом бедра». У пациентов в возрасте 12-18 лет наблюдается деформация шейки и эпифиза (в начальной и средней стадии), а также измененные мышцы, окружающие тазобедренный сустав.
Интересно! Двусторонняя деформация диагностируется в несколько раз реже односторонней. Изменение шейки бедра правой или левой нижней конечности встречаются одинаково часто у лиц обоих полов.
Симптомы и фазы
Выделяют 3 фазы варусной деформации бедра, каждой из которых присущ определенный перечень проявлений. Для удобства восприятия информации оформим сведения о клинической картине патологии в форме таблицы:
| Фаза | Клинические симптомы |
| Первая | — нет визуализируемого скольжения эпифиза бедренной головки — имеется поворот эпифиза (иногда определяется на рентгеновском снимке)— нарушена структура, декальцификация хрящевой ткани— визуализируется несущественная хромота;— ограничено отведение бедра;— наблюдается несущественный спазм мышечных тканей |
| Вторая | — явно проявляется соскальзывание эпифиза; — во впадине тазобедренного сустава появляется ядро окостенения головки;— шейка и диафиз смещены вверх (симптом прогрессирует);— между вышеупомянутыми элементами визуализируется широкая осветленная полоска;— наблюдается выраженная хромота, укорочение конечности, отведение ноги очень ограничено;— появляется боль при ходьбе |
| Третья (выздоровление) | — структура шейки и состояние мягкотканных элементов бедра восстанавливается; — спайка эпифиза и шейки предотвращает последующее смещение;— болевой синдром и хромота исчезают;— эпифиз больше не скользит. |
Внимание! Третья стадия наступает не во всех случаях. Чаще недуг прогрессирует во вторую. Взрослые нередко заболевают деформирующим артрозом.
Диагностика
При первичном обращении к специалисту (ортопеду) доктор осуществляет визуальный осмотр: конечности при стабильном тазобедренном суставе одинаковы по длине, отведение ноги не ограничено.
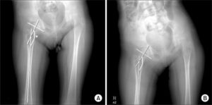
В процессе диагностики детской дистрофической coxa vara, а также приобретенной патологии у взрослых проводится рентгеновское исследование. В ходе процедуры в обязательном порядке осуществляется внутренний поворот ноги.
В некоторых случаях больному показано УЗИ суставной ткани и КТ или МРТ.
Как проводится лечение?
В зависимости от тяжести протекания заболевания лечение coxa vara может проводиться консервативными методами терапии или посредством хирургического вмешательства.
Терапия консервативными методами
На ранних стадиях болезни при незначительных симптомах предпочтительнее использовать консервативные способы лечения, которые должны назначаться опытным врачом-ортопедом. В числе таковых:
- широкое пеленание. Применяется для детей в первые месяцы жизни. Основная суть метода заключается в постоянном нахождении ноги ребенка в смещенном в сторону положении для наиболее правильного формирования головки кости бедра;
- лечебная гимнастика. Совершение различных физических упражнений по разведению бедер у взрослых и маленьких пациентов;
- наложение стремян Павлика и распорок в виде шин. Более затрудненный метод. Смысл терапии основывается на нахождении конечностей больного в позе лягушки. При этом деформированный сустав находится в неподвижном положении;
- ношение ортопедической обуви. Считается наиболее эффективным методом терапии пациентов с пороками развития, связанными с деформациями ножных суставов.Такой подход не вызывает особого дискомфорта у больного.Ношение специальной обуви снижает риск проявления деформационных изменений дистальных отделений ног. Укладываемые в обувь стельки, способны сравнять длину ног и скомпенсировать укорочение больной нижней конечности.
Хирургическое вмешательство
В определенных случаях при вальгусной деформации тазобедренного сустава могут назначить операцию, характер которой будет зависеть от тяжести протекания недуга, возраста пациента, величины деформации.
Важно! Искривление тазобедренного сустава с углом менее 50 градусов считается противопоказанием для назначения операции. В таких случаях проводят регулярный (не менее одного раза в полгода) контроль над больным с проведением рентгенографии. При активном прогрессировании деформации лечащий врач может принять решение и хирургическом вмешательстве.
Непосредственным показанием к назначению операции является:
- увеличенный угол в тазобедренном суставе более 60 градусов;
- значительное уменьшение силы ягодичных мышц (среднего отдела);
- сильный болевой синдром при ходьбе.
Если брать во внимание возрастные особенности оперируемых, то врачи стараются не назначать процедуру детям младше 2 лет. Связано это с незначительными деформационными изменениями костной и соединительной ткани, хотя в раннем возрасте такие операции имеют свои преимущества:
- возможность полного ремоделирования пораженной костной ткани;
- избавление от вальгусного искривления тазобедренного сустава;
- уменьшение сдвигов в суставах;
- выравнивание длины ног.
Профилактические методы
Для снижения вероятности проявления вальгусного искривления в тазобедренных суставах, необходимо следовать следующим рекомендациям:
- исключить хождение детей младше 8-ми месяцев;
- создать условия для активного физического развития ребенка, посещения спортивных секций;
- проводить терапевтические массажи (до одного раза в год);
- обеспечить в рационе питания необходимое количество витаминов и микроэлементов;
- использовать аптечные витаминные комплексы в период сезонного снижения работы иммунной системы.
Для своевременного диагностирования болезни, планирования терапии и значительного сокращения сроков восстановления необходимо как можно раньше обратиться к специалисту при малейших симптомах заболевания. Это поможет обойтись консервативными методами лечения без хирургического вмешательства.
При игнорировании вальгусного искривления в тазобедренных суставах может развиться «утиная походка», которая способна негативно повлиять на общий уровень жизни человека. Частыми становятся приступы усталости вплоть до снижения трудоспособности.
Поэтому очень важно вовремя начинать свою борьбу с недугом.
Кокса вара
Ось шейки бедра с осью диафиза составляет угол, который у взрослых колеблется в пределах 125—130°, у детей — 130—135°. Под влиянием различных патологических процессов этот угол может изменяться в сторону уменьшения или увеличения. Если угол меньше 120°, такое состояние называется coxa vara – кокса вара.
Среди различных этиологических моментов возникновения соха vara можно отметить врожденные деформации, травму, рахитические изменения в костях, статические нарушения.
Различают две большие группы кокса вара: врожденные формы coxa vara; приобретенные формы coxa vara.
Врожденная форма кокса вара (coxa vara congenita)
Как наиболее характерный признак врожденной деформации этого рода следует отметить вертикальное расположение эпифизарной линии, тогда как при рахитической форме coxa vara эта линия располагается косо — сверху кнаружи, книзу и кнутри. Заболевание может быть односторонним и двусторонним.
Оно рано проявляется в виде укорочения конечности, незначительного приведения в тазобедренном суставе, легкой хромоты ребенка при полной подвижности в тазобедренном суставе. Укорочение и приведение постепенно прогрессируют, причем к 8 годам жизни укорочение может достигать 6—7 см и больше.
При двусторонней деформации появляется лордоз, качающаяся походка, положительный симптом Тренделенбурга; головка не прощупывается при ротационных движениях, что служит благоприятным клиническим признаком, говорящим против врожденного вывиха бедра. Рентгенограмма подтверждает клинический диагноз.
Не существует достаточно удовлетворительной теории, объясняющей этиологию врожденной формы кокса вара.
Рахитическая форма (coxa vara rachitica). Для рахитической формы кокса вара характерно искривление не только в области шейки, но также в верхней трети диафиза бедра. Нередко при этом существуют и другие остаточные явления рахита у ребенка: рахитические четки, характерная форма черепа и др.
В норме, как известно, имеется небольшая anteversio шейки бедра. При рахите отмечается, наоборот, retroversio, которая может быть довольно значительной. При истинной рахитической форме чаще всего возникает coxa vara trochanterica, при которой деформация распространяется на всю шейку и головку бедра.
Эпифизарная линия расширена и имеет косое направление.
Юношеская форма кокса вара (coxa vara adolescentium). Под названием «скользящий эпифиз бедра» многие авторы описывают начальную или выраженную шеечно-эпифизарную деформацию, которая развивается постепенно в возрасте 12—18 лет и переходит в резко выраженную форму кокса вара. Двустороннее поражение встречается в 4—5 раз реже одностороннего и редко возникают одновременно.
Этиология
Травма хотя и отмечается у ряда больных, но она, по-видимому, не является решающим фактором для развития таких форм заболевания шейки.
Эндокринная основа возникновения «скользящего эпифиза бедра» доказывается нарушением процессов роста.
Нарушение роста и развития находит свое отражение в синдроме adiposo-genitalis (тучность и задержка полового развития); более редко наблюдается необычайно быстрый рост у худых высоких детей.
Как гормоны роста, так и половые гормоны оказывают несомненное влияние на рост и развитие хрящевых пластинок эпифизарного хряща.
Гаррис экспериментально доказал, что гормон роста уменьшает, а половой гормон увеличивает сопротивление растяжению эпифизарного хряща.
В ряде случаев травма отмечается после того, как появились первые симптомы скольжения эпифиза. В других случаях в анамнезе совершенно отсутствует упоминание о травме.
Патологическая анатомия
На основании гистологических исследований Лакруа доказано, что основной патологический процесс происходит в эпифизарном хряще. Сущность процесса заключается в том, что хрящ вместо того, чтобы продуцировать энхондральную кость, трансформируется в фиброзную ткань. Изменения в головке и шейке бедра следует считать вторичными.
Симптомы и клиническое течение
Различают три фазы кокса вара [Уайлс].
Первая фаза. В этом периоде еще отсутствует ясно выраженное скольжение эпифиза головки бедра. Иногда оно лишь намечается в виде поворота эпифиза, определяемого по рентгенограмме, сделанной в боковой проекции (положение Лауэшптейна).
На такой рентгенограмме можно видеть также нарушение структуры и декальцификацию хряща. Клинически определяется небольшая хромота, незначительный спазм мышц бедра и ограничение отведения.
В этой фазе заболевание может быть ошибочно принято за начальную форму коксита.
Вторая фаза. Соскальзывание эпифиза ясно выражено. Оно происходит постепенно, причем головка ротируется, шейка, упираясь нижним концом в головку, смещается вместе с диафизом вверх. Между эпифизом и шейкой видна широкая светлая полоса.
В отдельных случаях такое смещение обнаруживается сразу, иногда— после небольшой травмы. В дальнейшем скольжение вверх шейки и диафиза бедра прогрессирует и достигает значительной величины.
В этом периоде определяется укорочение ноги, значительная хромота при выраженном симптоме Тренделенбурга; отведение бедра резко ограничено. Отмечаются боли и утомляемость во время ходьбы.
Линия Шентона на рентгенограмме резко нарушена.
Третья фаза. Выздоровление. Если заболевание установлено н первой фазе и приняты соответствующие меры лечения, наступает восстановление структуры шейки бедра. Преждевременное костное спаяние эпифиза с шейкой предупреждает дальнейшее его смещение. Боль и хромота исчезают. Дальнейшее скольжение эпифиза прекращается.
Но фаза выздоровления наступает не всегда. Гораздо чаще заболевание переходит во вторую фазу. У взрослых часто развивается деформирующий артроз.

