Релаксация диафрагмы
Релаксация диафрагмы – это тотальное или ограниченное расслабление и высокое стояние купола грудобрюшной перегородки с пролабированием прилегающих к ней органов брюшной полости в грудную клетку. Клинически проявляется кардиоваскулярными, респираторными, диспепсическими нарушениями.
Преобладание тех или иных симптомов зависит от локализации и выраженности патологического процесса. Ведущими методами диагностики являются рентгенологическое исследование и компьютерная томография органов грудной полости.
Единственным способом лечения выступает ауто- или аллопластика диафрагмального купола или его части.
Релаксация диафрагмы (паралич диафрагмы, мегафрения, первичная диафрагма) обусловлена резкими дистрофическими изменениями мышечной части органа или нарушением его иннервации. Бывает врождённой или приобретённой. Полная (тотальная) релаксация грудобрюшной перегородки чаще встречается слева.
Ограниченное выпячивание её участка (дивертикул диафрагмы) обычно локализуется в передней медиальной части правого купола. У детей релаксация диафрагмы возникает очень редко, нарушения формируются постепенно по мере роста человека и под влиянием внешних факторов. Первые симптомы появляются в 25-30-летнем возрасте.
Чаще страдают мужчины, занятые тяжёлым физическим трудом.
Причины релаксации диафрагмы
К высокому стоянию диафрагмального купола приводит выраженное истончение, вплоть до полного отсутствия, его мышечного слоя.
Такое строение грудобрюшной преграды чаще обусловлено нарушением развития органа во внутриутробном периоде. Другой распространённой причиной является паралич диафрагмальной мускулатуры.
Выделяют следующие группы этиологических факторов, ведущих к релаксации свода диафрагмы:
- Нарушения эмбриогенеза. Сюда относятся дефекты закладки миотомов и дальнейшей дифференцировки мышечных элементов, недоразвитие или внутриутробное повреждение диафрагмального нерва. Врождённая релаксация диафрагмы нередко сочетается с другими пороками развития внутренних органов.
- Повреждение диафрагмальной мышцы. Бывает воспалительного и травматического характера. Различают самостоятельное воспаление (диафрагматит) и вторичное поражение диафрагмы. Последнее появляется при распространении патологического процесса с прилегающих органов, например, при поддиафрагмальных абсцессах, эмпиеме плевры.
- Паралич диафрагмального купола. Возникает при различного рода нарушениях иннервации диафрагмы. К повреждению нерва приводят травматические процессы, в том числе при хирургических вмешательствах. Тотальный паралич вызывают тяжёлые системные неврологические заболевания (полиомиелит, сирингомиелия). Локальные поражения возникают в результате прорастания опухолью нервного ствола.
При врождённой аномалии, ведущей к релаксации грудобрюшной перегородки, выявляется практически полное отсутствие мышечной ткани. Тонкая диафрагма состоит из плевральных и перитонеальных листков.
При приобретённой патологии наблюдается дистрофия мускулатуры разной степени выраженности. Отсутствие мышечного тонуса приводит к утрате части функциональных способностей диафрагмального свода.
Из-за разницы давления в грудной и брюшной полостях внутренние органы растягивают диафрагму, способствуют её полному или частичному выпячиванию в область грудной клетки.
Появляются перегибы пищевода, кровеносных сосудов поджелудочной железы и селезёнки, приводящие к преходящей ишемии органов. Из-за нарушения венозного оттока вены пищевода расширяются, возникают кровотечения. Релаксация правого купола (обычно частичная) вызывает локальную деформацию печени.
Классификация
Патологические изменения внутренних органов и нарушения их функций зависят от причин, распространённости и локализации выпячивания диафрагмальной перегородки.
По времени возникновения и этиологическим факторам релаксация диафрагмы делится на врождённую и приобретённую. Процесс может располагаться справа или слева, бывает тотальным или частичным.
В зависимости от клинического течения выделяют 4 варианта релаксации диафрагмального свода:
- Бессимптомный. Проявления болезни отсутствуют. Релаксация выявляется случайно при рентгенографии грудной клетки.
- Со стёртыми клиническими симптомами. Такая форма характерна для ограниченного, чаще правостороннего процесса. Пациент обычно не придаёт значения непостоянным, слабо выраженным симптомам болезни.
- С развёрнутой клинической картиной. Проявляется разнообразной симптоматикой, зависящей от степени повреждения дыхательной, пищеварительной, сердечно-сосудистой систем.
- Осложнённый. Характеризуется развитием серьёзных осложнений (завороты, язвы желудка и кишечника, желудочно-кишечные кровотечения и другие).
Симптомы релаксации диафрагмы
Клинические проявления релаксации диафрагмального купола разнообразны. Симптомы более выражены при врождённой патологии. Ограниченная релаксация участка диафрагмы может протекать латентно или с минимальными жалобами.
При тотальном отсутствии тонуса грудобрюшной перегородки заболевание сопровождается респираторным, кардиоваскулярным, диспепсическим синдромами.
Большинство пациентов предъявляют общие жалобы на эпизоды слабости, немотивированное снижение веса.
Дыхательные нарушения проявляются приступами одышки и сухого непродуктивного мучительного кашля при небольшой физической нагрузке, изменении положения тела, после еды.
Чёткая связь симптомов с приёмом пищи является патогномоничным признаком заболеваний диафрагмального купола. Страдает сердечная деятельность. Возникает тахикардия, нарушения ритма работы сердца и ощущение сердцебиения.
Периодически пациента беспокоит загрудинная боль давящего, сжимающего характера, напоминающая кардиалгию при стенокардии.
Ведущими признаками патологии диафрагмы являются расстройства пищеварения. Приступы острых болей в эпигастральной области, правом или левом подреберьях тоже возникают после еды. Болевые ощущения достаточно интенсивны, продолжаются от 20-30 минут до 2-3 часов, затем самостоятельно купируются.
Больных беспокоят метеоризм и периодические запоры.
Под влиянием ряда факторов, повышающих внутрибрюшное давление, релаксация диафрагмы, особенно врождённая, постепенно прогрессирует. Купол грудобрюшной преграды может достигать уровня второго ребра. При этом происходит выраженное смещение внутренних органов. Лёгкое поджимается, образуются участки ателектаза.
Подтянутые кверху желудок и кишечник занимают неправильную позицию. Из-за этого развиваются тяжёлые осложнения со стороны органов пищеварения. Самыми частыми из них являются завороты желудка, кишечника, язвенные процессы, кровотечения.
Ведущие специалисты в области хирургии описывают единичные случаи гангрены желудка.
Диагностика
При подозрении на релаксацию диафрагмального купола диагностическим поиском занимается врач-хирург. Опрашивая пациента, он уточняет наличие в анамнезе травм и операций в области грудной клетки и живота, воспалительных процессов лёгких, плевры, средостения, верхнего этажа брюшной полости. Для подтверждения диагноза выполняются следующие исследования:
- Осмотр. Иногда визуально удаётся определить парадоксальное движение одного из диафрагмальных куполов. Диафрагма поднимается во время вдоха и опускается на выдохе. Присутствует положительный симптом Гувера – подъём одной из рёберных дуг и смещение кнаружи при глубоком вдохе.
- Перкуссия. Определяется расширение кверху поддиафрагмального пространства Траубе. Нижняя граница лёгкого располагается на уровне II-IV ребра по передней поверхности грудной стенки. Границы абсолютной и относительной сердечной тупости смещаются в противоположную сторону.
- Аускультация. В базальных отделах лёгких выслушивается ослабленное дыхание. При аускультации сердца выявляется приглушение тонов, учащение частоты сердечных сокращений, нарушение ритма. В нижней части грудной клетки спереди можно услышать кишечную перистальтику, шум плеска.
- Функциональные исследования. Спирометрия даёт возможность выявить рестриктивные нарушения функции внешнего дыхания, значительное снижение жизненной ёмкости лёгких. На ЭКГ определяются замедление внутрижелудочковой проводимости, экстрасистолия, признаки ишемии миокарда.
- Лучевая диагностика. Рентгенография и КТ грудной клетки являются наиболее информативными методами исследования диафрагмы. На рентгенограмме визуализируется высокое расположение одного из куполов (уровень II–V ребра). При рентгеноскопии обнаруживается парадоксальное движение диафрагмального свода. Использование контраста позволяет выявить перегибы пищевода, желудка, смещение органов пищеварения кверху. КТ наиболее точно определяет степень релаксации, помогает распознать вторичную патологию внутренних органов.
Полную релаксацию грудобрюшной преграды следует дифференцировать с её разрывом и диафрагмальными грыжами. Иногда высокое стояние одного из сводов может скрывать базальный спонтанный пневмоторакс. Частичная релаксация нередко маскирует неопластические и воспалительные процессы внутренних органов, плевры и брюшины, кисты печени и перикарда.
Лечение релаксации диафрагмы
Единственный метод лечения полной или частичной релаксации – хирургический. Пациенты с латентной формой заболевания и стёртой клинической картиной подлежат динамическому наблюдению.
Им рекомендуется избегать чрезмерных физических нагрузок, питаться часто малыми порциями, не допускать переедания. При прогрессировании процесса, наличии выраженных кардиоваскулярных, респираторных или диспепсических нарушений показано оперативное вмешательство.
Релаксация диафрагмы, осложнённая разрывом органа, заворотом желудка, кишки, кровотечением подлежит экстренной хирургической коррекции.
С учётом локализации патологического процесса выполняется лапаротомия или торакотомия. Разработан малоинвазивный торакоскопический доступ.
При умеренной релаксации с частичным сохранением мышечного тонуса возможна френопликация – иссечение истончённой части органа с последующим её удвоением или утроением собственными диафрагмальными тканями.
Полная релаксация правого или левого купола является показанием для пластики синтетическим материалом (тефлоном, поливинилалкоголем, териленом). В детской хирургии применяется прошивание грудобрюшной преграды параллельными рядами гофрирующих швов, которые затем стягиваются, образуют складки и низводят диафрагму.
Прогноз и профилактика
Своевременная диагностика и правильная хирургическая тактика приводят к полному выздоровлению. Прогноз ухудшают жизнеугрожающие осложнения и тяжёлая сопутствующая патология. Пренатальное ультразвуковое исследование позволяет выявить отсутствие диафрагмальной мускулатуры у плода.
Выявленную релаксацию необходимо корригировать до развития осложнений. Профилактика травматизма, диагностика и адекватное лечение воспалительных процессов лёгочной паренхимы, плевры, средостения, дренирование поддиафрагмальных абсцессов помогают избежать приобретённого паралича диафрагмы.
Что такое релаксация правого купола диафрагмы
Диафрагма человека — расслабление небезопасно.
Диафрагма человека важная дыхательная мускула. Она полностью уникальна по собственному строению.
Торакоскопия, пластика правого купола диафрагмы. Thoracoscopy, diaphragm plastic
Диафрагма человека выполнена в виде плоской мембраны, натянутой горизонтально снутри тела. Она является границей меж брюшной и грудной полостью. В состав диафрагмы входят мышечные и сухожильные части, правый и левый купол. Не считая того, в ней находятся отверстия для пищевого тракта и аорты.
В структуре диафрагмы содержится огромное количество мышечных волокон. Они начинаются с грудных стен и сходятся, соединяясь сухожилиями, в центре. Соответственно участкам прикрепления волокон, диафрагму делят на реберную, грудинную и поясничную части.
При сокращении и расслаблении дыхательная мембрана производит регулировку объема грудной полости.
Диафрагма человека также содействует притоку венозной крови к сердечку за счет усиления присасывающего давления при расширении грудной полости.
При травматическом либо воспалительном повреждении диафрагменных нервишек появляется обретенная релаксация диафрагмы. Она проявляется однобоким стойким высочайшим стоянием истонченной, но не теряющей непрерывность мембраны при условии ее прикрепления на обыкновенном участке. Релаксация может быть и прирожденной.
Различают также полное и частичное расслабление мембраны. При полной релаксации расслабляется весь купол, а при частичной наверх подымается только часть.
Есть случаи специального хирургического повреждения диафрагмальных нервишек. Это может быть связано с образовавшейся свободной плевральной полостью, к примеру, при удалении легкого. Повреждение диафрагмального нерва приводит к расслаблению мембраны, она движется вверх, понижая таким макаром пустую плевральную полость.
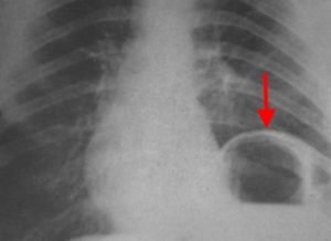
Полное либо частичное расслабление диафрагмы может сопровождаться расстройством пищеварения, дыхания либо нарушением ритма сердца. Четкая диагностика нарушения устанавливается при проведении рентгенологического исследования.
При релаксации диафрагма человека имеет верный, непрерывный, дугообразный контур. Все органы брюшной полости размещаются под мембраной, на стенах кишки и желудка отсутствуют втяжения. При релаксации рентгенологическая картина характеризуется всепостоянством.
Полное либо ограниченное расслабление мембраны проявляется в большей степени с правой стороны. Это может быть обосновано наличием слабеньких мышечных пучков, отходящих с этой стороны от задней поверхности грудины.
Релаксация правого купола диафрагмы сопровождается его дугообразным выпячиванием в сторону легкого и деформацией печени. При всем этом печень повторяет участок расслабления, вклиниваясь в него.
В почти всех случаях схожее правостороннее расслабление протекает без проявления симптомов. Но время от времени оно сопровождается различными расстройствами (болями в груди и сердечко, кашлем либо диспепсическими явлениями (расстройством пищеварения)).
В качестве исцеления назначают оперативное вмешательство. Одним из вариантов операции является создание диафрагменной дупликатуры методом торакоскопической пластики с внедрением аллотрансплантантов. Данная методика позволяет производить вмешательство на исходных шагах развития нарушения. При всем этом существенно снижен риск травматичности во время операции.
Релаксация диафрагмы
Релаксация диафрагмы — это полное отсутствие или резкое истончение мышечного слоя диафрагмы на почве аномалии развития или патологического процесса, ведущие к мешковидному выпячиванию диафрагмы в грудную полость.
Первое сообщение о релаксации диафрагмы, обнаруженной при патологоанатомическом вскрытии, было сделано в 1774 г. Термин «релаксация диафрагмы» ввел в 1906 г. Витинг.
Термин «релаксация диафрагмы» объединяет в одну нозологическую единицу два различных заболевания протекающих с одинаковыми клиническими симптомами, обусловленных прогрессирующим повышением стояния одного из куполов диафрагмы.
При приобретенной релаксации речь идет о параличе развития мускулатуры диафрагмы с последующей атрофией мышечных элементов.
Причины
По классификации Вальдони различают три группы изменения диафрагмы. К первой группе принадлежат врожденные истончения диафрагмы. При них диафрагма тонкая прозрачная и, в основном, состоит из листков плевры и брюшины.
Ко второй группе относятся такие поражения, при которых диафрагма полностью потеряла тонус, имеет вид сухожильного мешка с выраженной атрофией мышечного слоя.
В третью группу входят нарушения моторной функции диафрагмы при сохранении ее тонуса.
Этиологическим моментом, способствующим возникновению приобретенных форм релаксации диафрагмы, является поражение ее нервных элементов. Удаление узлов пограничного симпатического ствола ведет к возникновению релаксации диафрагмы.
При операциях по поводу релаксации диафрагмы наблюдается значительное укорочение диафрагмального нерва.
Гистологическое исследование удаленного во время оперативного вмешательства участка диафрагмы у одной больной выявило отсутствие в нем каких-либо нервных элементов.
Выделяет следующие возможные причины возникновения релаксации диафрагмы.
Причины врожденной релаксации (первичной аплазии мышц):
- порочная закладка миотомов диафрагмы;
- нарушения дифференцировки мышечных элементов;
- внутриутробная травма или аплазия грудобрюшного нерва.
Причины приобретенной релаксации (вторичной атрофии мышц):
- повреждения диафрагмы: воспалительные, травматические;
- повреждения диафрагмального нерва (вторичная нейротрофическая атрофия мышц): травматические, операционные, повреждения опухолью, рубцами при лимфадените и воспалительные.
Врожденная релаксация диафрагмы, обусловленная какой-либо из указанных выше причин, с патогенетической точки зрения является нарушением развития мышечной части диафрагмы из первичной соединительнотканной диафрагмы.
Таким образом, грудобрюшная преграда при этом страдании оказывается остановившейся в своем развитии эмбриональной первичной соединительнотканной диафрагмой, которая неспособна выдержать ложащуюся на нее после рождения ребенка механическую нагрузку.
Постепенно растягиваясь, она достигает в итоге того состояния, которое удается диагностировать как релаксацию диафрагмы.
Многие авторы отмечают некоторую наклонность врожденной релаксации к сочетанию с иными аномалиями эмбрионального развития (истинные диафрагмальные грыжи, врожденные пороки сердца, крипторхизм и т. д.).
Описываются случаи, когда у одного и того же больного обнаруживается релаксация диафрагмы и болезнь Гиршпрунга.
Однако, не являясь основной причиной развития данного заболевания, релаксация, конечно, ухудшает течение болезни Гиршпрунга, а последняя, в свою очередь, благоприятствует более быстрому растяжению истонченной диафрагмы.
Приобретенная релаксация в отличие от врожденной характеризуется не отсутствием мышечных структур диафрагмы, а лишь их парезом или параличом с последующей более или менее выраженной атрофией.
При приобретенной релаксации не развивается полный паралич диафрагмы с атрофией ее мышечных элементов, поэтому патологоанатомическая выраженность данной болезни и ее клинических проявлений бывает меньшей, чем при врожденном заболевании.
Приобретенная релаксация может развиться в ответ на перенесенный вторичный диафрагматит (при плеврите, поддиафрагмальном абсцессе и т. д.), а также в результате непосредственной травмы диафрагмы.
Причиной развития релаксации может явиться растяжение желудка при стенозе привратника.
Повреждения диафрагмального нерва являются наиболее частой причиной для развития приобретенной релаксации диафрагмы.
Симптомы
Клиническая картина при различных видах релаксации диафрагмы неодинакова. Наиболее выраженной она оказывается при тотальной врожденной релаксации, а при приобретенной патологии, особенно при сегментарной, частичной релаксации, симптомы заболевания могут полностью отсутствовать.
Это объясняется, во-первых, тем, что приобретенная тотальная релаксация характеризуется, как правило, меньшей степенью растяжения диафрагмы, более низким уровнем ее стояния, чем подобная же врожденная патология, а, во-вторых, преобладанием правосторонней локализации сегментарной релаксации (справа печень как бы тампонирует пораженную зону диафрагмы).
Иногда и слева ограниченная релаксация может оказаться подобным же образом прикрытой селезенкой.
Симптомы заболевания даже и при врожденной релаксации сравнительно редко начинают проявляться в детском возрасте.
Более характерным для релаксации диафрагмы является сравнительно позднее и медленное развитие симптомов заболевания. Жалобы у больных появляются с 25-30-летнего возраста и постепенно и неуклонно прогрессируют, особенно у людей, занимающихся тяжелым физическим трудом.
Причиной появления жалоб является перемещение органов брюшной полости в грудную клетку.
Дно и тело желудка, смещаясь вверх, при сохраненном обычном расположении абдоминального отдела пищевода, обусловливают перегибы пищевода и желудка, нарушающие их моторику, что проявляется в виде болевых приступов.
Естественно, что указанные симптомы имеют наклонность к усилению после приема пищи. Часто боль появляется также и после физической нагрузки. В данном случае причиной ее оказываются перегибы сосудов, питающих смещающиеся вверх поджелудочную железу, почку, селезенку. Как и иные ишемические боли, данные приступы могут достигать чрезвычайной интенсивности.
Боли обычно появляются остро, длятся от 15-20 минут до нескольких часов и также внезапно прекращаются. У большинства больных они не сопровождаются рвотой, но часто им предшествует тошнота. Некоторые больные жалуются на затруднение прохождения пищи по пищеводу и вздутие живота, занимающее в некоторых случаях ведущее место в клинике заболевания.
Часто больные при релаксации диафрагмы отмечают приступы боли в области сердца, которые может обусловливать как вагусный рефлекс, так и непосредственное давление на сердце, оказываемое брюшными органами через сместившуюся вверх истонченную диафрагму.
Диагностика
Основным методом диагностики релаксации диафрагмы, как и диафрагмальных грыж, является рентгенологическое обследование больного.
У некоторых больных с релаксацией диафрагмы клинически удается заподозрить наличие диафрагмальной грыжи, но провести дифференциальную диагностику между грыжей и релаксацией диафрагмы без применения рентгенологического исследования практически почти не представляется возможным. Лишь особенности характера развития и течения заболевания способны оказать некоторую помощь при решении этой задачи.
При физикальном обследовании больных выявляется: перемещение вверх нижней границы левого легкого одновременно с распространением вверх зоны поддиафрагмального тимпанита и прослушивание в этой области кишечной перистальтики, иногда шума плеска (перегиб желудка затрудняет эвакуацию из него).
Дифференциальный диагноз необходимо проводить с эксудативным плевритом, непаразитарными и паразитарными кистами легкого, наддиафрагмальным абсцессом печени, диафрагмальной грыжей и т. п.
Профилактика
Лечение при релаксации диафрагмы возможно только хирургическое. Однако далеко не у всех больных имеются достаточные показания для оперативного вмешательства.
Операция показана для тех больных, у которых установлены выраженные анатомические изменения и клинические симптомы заболевания, лишающие больного трудоспособности, причиняющие ему значительные беспокойства, или если развиваются осложнения, представляющие угрозу для жизни больного (острый заворот желудка, разрыв диафрагмы, желудочное кровотечение).
При решении вопроса об операции, необходимо учитывать возможное наличие тех или иных противопоказаний к хирургическому вмешательству со стороны общего состояния больного.
Подобные больные, в отличие от больных с травматическими и врожденными диафрагмальными грыжами, без всякой угрозы ущемления годами могут находиться под врачебным наблюдением.
В случае значительного повышения уровня стояния диафрагмы и нарастания интенсивности симптомов приходится рекомендовать больным операцию.
Больные, находящиеся под наблюдением, должны выполнять щадящий режим, устраняющий условия для излишнего повышения внутрибрюшного давления. Им следует избегать значительных физических напряжений, перееданий, следить за регулярным опорожнением кишечника и т. п.
Релаксация купола диафрагмы: причины, симптомы, лечение
Релаксация диафрагмы – это патология, которая характеризуется крутым истончением либо полным отсутствием мышечного слоя органа. Появляется таковая из-за аномалий развития плода либо в итоге патологического процесса, тот, что привел к выпячиванию органа в грудную полость.
Фактически, под данным термином в медицине подразумевают сразу две патологии, которые, впрочем, имеют схожую клиническую симптоматику и обе обусловлены развивающимся выпячиванием одного из куполов органа.
Врожденная аномалия становления характеризуется тем, что один из куполов лишен мышечных волокон. Он тонкий, прозрачный, состоит в основном из листков плевры и брюшины.
В случае с приобретенной релаксацией речь идет о параличе мышц и их дальнейшей атрофии.
При этом возможно два варианта становления заболевания: первый – поражение с полной потерей тонуса, когда диафрагма похожа на сухожильный мешок, а атрофия мышц достаточно выражена; второй – нарушения моторной функции при сохранении тонуса. Происхождению приобретенной формы способствует поражение нервов правого либо левого купола.
Причины патологии
Врожденную форму релаксации может спровоцировать аномальная закладка миотомов диафрагмы, а также нарушение дифференцировки мышц, и внутриутробная травма/аплазия диафрагмального нерва.
Приобретенная форма (вторичная атрофия мышц) может быть вызвана воспалительными и травматическими повреждениями органа.
Также приобретенный недуг появляется на фоне повреждений диафрагмального нерва: травматических, операционных, воспалительных, повреждений рубцами при лимфадените, опухолью.
Стоит подметить, что прирожденная форма патологии зачастую сопровождается другими аномалиями внутриутробного становления, скажем, крипторхизмом, изъянами сердца и т. д.
Приобретенная форма отличается от прирожденной не отсутствием, а парезом/параличом мышц и их дальнейшей атрофией. В этом случае полный паралич не наступает, следственно симптоматика менее выраженная, нежели при прирожденной форме.
Приобретенная релаксация диафрагмы может появиться позже вторичного диафрагмита, скажем, при плеврите либо поддиафрагмальном абсцессе, а также позже травмы органа.
Спровоцировать заболевание может растяжение желудка при стенозе привратника: непрерывная травматизация со стороны желудка провоцирует дегенеративные метаморфозы мышц и их расслабление.
Симптомы
Проявления заболевания могут отличаться от случая к случаю. К примеру, они дюже выражены при прирожденной патологии, а при приобретенной, исключительно частичной, сегментарной, могут совсем отсутствовать. Это обусловлено тем, что приобретенная характеризуется меньшой степенью растяжения тканей, больше низким стоянием органа.
Кроме того, сегментарная локализация патологии справа больше благоприятна, потому что рядом расположенная печень как бы тампонирует поврежденную область. Ограниченная релаксация слева также может прикрываться селезенкой.
При релаксации диафрагмы признаки редко появляются в детском возрасте. Заболевание почаще проявляется у людей 25-30 лет, исключительно у тех, кто занимается тяжелым физическим трудом.
Перегиб вен может привести к внутреннему кровотечению. Указанные знаки заболевания усиливаются позже трапезы и физической нагрузки. В этой обстановки болевой синдром провоцирует перегиб сосудов, питающих селезенку, почку и поджелудочную железу.
Приступы боли могут добиваться высокой интенсивности.
Как правило, болевой синдром проявляется остро. Его продолжительность варьируется от нескольких минут до нескольких часов. При этом заканчивается он так же стремительно, как и начинается.
Зачастую приступу предшествует тошнота. Отмечается, что патология может сопровождаться затруднением прохождения еды по пищеводу, а также вздутием живота.
Эти два явления достаточно зачастую занимают ведущее место в больнице патологии.
Большинство больных жалятся на приступы боли в области сердца. Таковые могут быть обусловлены как вагусный рефлюкс, так и непосредственное давление на орган, оказываемое желудком.
Методы диагностики
Основным способом обнаружения релаксации является рентгенологическое изыскание. Изредка при релаксации появляется сомнение на присутствие грыжи, впрочем провести дифференциальную диагностику без проведения рентгенологического изыскания фактически немыслимо. Лишь изредка особенности течения заболевания и нрав его становления дозволяют верно определить патологию.
Врач, проводя физикальное обследование, обнаруживает следующие явления: смещается вверх нижняя граница левого легкого; распространяется вверх зона поддиафрагмального тимпанита; в зоне патологии прослушивается кишечная перистальтика.
Врач должен провести дифференциальную диагностику с кистами легкого (паразитарными/непаразитарными), экссудативным плевритом, диафрагмальной грыжей, наддиафрагмальным абсцессом печени и рядом других заболеваний.
Лечение
В данной обстановки допустим только один путь устранения заболевания – хирургический.
Однако операции делают вдалеке не каждому больным. Для проведения таковой необходимы показания.
Хирургическое вмешательство проводят только в тех случаях, когда у человека имеются выраженные анатомические метаморфозы, клинические признаки лишают трудоспособности, причиняют крепкий дискомфорт.
Принимая решение по поводу лечения релаксации хирургическим путем, врачи также рассматривают и присутствие противопоказаний к таковой, а также всеобщее состояние пациента.
При слабой симптоматике либо бессимптомном течении потребность в операции отсутствует. Нужно лишь чураться мощных физических нагрузок, напряжений, перееданий, а также следить за регулярностью опорожнения кишечника.
В таком случае больной может без любой опасности для здоровья годами пребывать под слежением докторов, чего невозможно сказать о людях с травматическими и прирожденными грыжами диафрагмы.
Если ярус стояния органа гораздо возрастает, а симптоматика проявляется крепче, рекомендуется операция.
Релаксация диафрагмы
Под релаксацией диафрагмы понимают одностороннее высокое стояние купола диафграгмы, крайне истонченного, но сохраняющего непрерывность.
Термин «релаксация» принят в настоящее время большинством хирургов для обозначения указанного страдания. Однако в литературе встречаются и другие названия как-то: эвентрация диафрагмы (название неудачное, дает повод подразумевать грыжу), недостаточность диафрагмы, идиопатическое высокое стояние, одностороннее стойкое повышение диафрагмы, мегадиафрагма (что неверно).
Гистологическое исследование показывает отсутствие мышечных элементов; между серозными листками имеется только фиброзная ткань.
Из органов брюшной полости высоко кверху вдаются желудок и толстый кишечник, затем селезенка, реже тонкий кишечник. Смещенный кверху желудок претерпевает те же изменения положения, что при диафрагмальной грыже: большая кривизна обращена кверху, прилегает к диафрагме. Легкое сдавлено соответственно высоте подъема диафрагмальной перегородки, сердце при левосторонней релаксации смещено вправо.
Есть все основания считать релаксацию диафрагмы врожденной аномалией, следствием недостаточной закладки мускулатуры, которая в норме врастает в малодифференцированную мезенхимальную ткань, отделяющую полости тела. Релаксация диафрагмы может сочетаться с другими пороками.
Иногда она обнаруживается в детском возрасте.
Тот факт, что заболевание чаще устанавливается в возрасте 30—40 лет, объясняется постепенным растяжением и повышением уровня диафрагмальной перегородки в результате давления брюшных органов вследствие напряжения мышц брюшного пресса.
Огромный опыт говорит, что пересечение диафрагмального нерва приводит к расслаблению диафрагмальной перегородки, но не к тотальной ее дегенерации.
Вместе с тем нужно учитывать исследования Кигё на обезьянах, показавшие, что сочетание пересечения диафрагмального нерва с пересечением симпатической иннервации дает идентичное заболевание.
Симптомы релаксации диафрагмы
Выраженность клинических проявлений релаксации диафрагмы различна — от полного отсутствия симптомов до значительных расстройств.
Наблюдаются изменения положения брюшных органов, особенно желудка, толстой кишки, а также сдавление легкого, смещение сердца, весьма схожие с тем, что наблюдается при диафрагмальной грыже.
Этим объясняется, почему клиническая симптоматология обоих заболеваний во многом совпадает. Наиболее существенное различие в том, что при релаксации не бывает ущемления.
Проявления заболевания объединяются в следующие клинические синдромы:
- пищеварительный, в виде дисфагии, в том числе парадоксальный, рвоты, болей под ложечкой, чувства тяжести, запоров;
- дыхательный, проявляющийся одышкой после физических напряжений, после еды;
- сердечный — в виде пальпитации сердца, тахикардии, аритмии, ангинозных явлений.
Объективное исследование обычными клиническими методами может обнаружить такие же изменения, какие находят при диафрагмальной грыже, и такую же изменчивость результатов исследования в связи с различным положением тела или степенью наполнения желудка.
Единственным методом, позволяющим отличить релаксацию диафрагмы от грыжи, является рентгенологическое исследование. Оно дает возможность установить, расположены ли смещенные органы под или над диафрагмальной перегородкой.
Пограничная грудобрюшная линия может быть образована как диафрагмальной перегородкой, так и большой кривизной желудка, обращенной краниально. Диагноз релаксации диафрагмы несомненен, если контуры диафрагмальной перегородки и контуры желудка четко отделимы.
Если верхние контуры желудка и толстой кишки расположены на разных уровнях и между ними не прослеживается полоса диафрагмы, диагноз грыжи более вероятен, особенно когда при положений тела головой вниз высота расположения органов меняется различно. При релаксации отношения более постоянны.
Если виден один контур, то, уменьшая количество воздуха в желудке, можно либо отделить его стенку от диафрагмы, либо установить, что изломанная пограничная линия образована желудком. Повторные рентгенологические исследования показывают относительное постоянство картины при релаксации и большую изменчивость при грыже.
С целью дифдиагностики рекомендуют пользоваться гаевмоперитонеумом. Введенный в брюшную полость воздух при целости диафрагмы отделит ее от тени желудка и кишки. При отверстии в диафрагме воздух проникает в плевральную полость. Однако при сращениях в грыжевых воротах воздух останется в брюшной полости.
Лечение релаксации диафрагмы
Релаксация диафрагмы может быть устранена только оперативным путем. Показания к операции при релаксации диафграмы решаются индивидуально, с учетом величины подъема органов живота и выраженности клинических симптомов. Задачей операции есть реконструкция диафрагмы, в результате чего брюшные и грудные органы должны принять нормальное положение.
Можно иссечь участок диафрагмы и сшить края разреза сюртучным швом. Если низведение диафрагмы окажется недостаточным, рекомендуют накладывать второй и третий ряд швов.
Для укрепления очень тонкой диафрагмальной перегородки использовали, после иссечения части ее, поясничную мышцу, межреберные мышцы, кожу, широкую фасцию бедра. Близок к указанному метод удвоения диафрагмы.
Эти операции лучше выполнять с использованием торакального доступа.
Для уплощения диафрагмы предложено также накладывать гофрирующие швы (сзади наперед или спереди назад) с использованием как торакального, так и абдоминального доступа.
Указанные выше методы операции применяются все реже, а на первый план выходит использование аллопластических материалов для укрепления диафрагмы. Были использованы нейлон, капрон, поливинилалкоголь. Рекомендуют помещать аллопластический материал между листками рассеченной диафрагмальной перегородки. Для этих операций целесообразен торакальный доступ.
Способ, детально разработанный Петровским, состоит в том, что по рассечении диафрагмы пластинку поли-винилалкоголя размером 30 X 25 X 0,7 см укладывают на наружную половину диафрагмы и подшивают шелком к предпозвоночной фасции и мышцам грудной стенки, затем к остаткам диафрагмы у перикарда и к передней стенке грудной клетки по проекции медиальных границ левого купола диафрагмы.
Медиальный листок диафрагмы укладывают на трансплантат.



