Участки почки, через которые моча попадает в чашечки лоханки, принято называть пирамидками из-за их формы. Они, немного возвышаясь над чашечками, всегда окружены мочой.
Отраженная ультразвуковая волна при исследовании трансформируется с помощью специальной программы в черно-белое изображение, которое затем выводится на экран. Различные среды отражают сигнал по-разному. Плотные структуры лучше отражают волну.
Если почка здорова, на монитор будет выведено темное изображение, создаваемое пустотами и полостями, заполненными мочой. Пирамидки и другие плотные части органа на изображении будут отличаться оттенками.
При патологиях сосочки пирамид уплотняются, могут покрыться кристаллами солей или деформироваться. Эхогенность почки при этом возрастает. На экране же появятся светлые пятна, увеличится контрастность. Это явление получило название синдром выделяющихся пирамидок.
Основные причины гиперэхогенности
Гиперэхогенность почек возникает, когда эти парные органы под воздействием каких-либо причин изменяют форму, структуру или размеры.
Обычно это происходит при нарушении обменных процессов, травмах или неконтролируемом разрастании тканей отдельных участков.
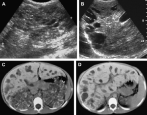
Образования, вызывающие сверхсильное отражение, чаще возникают в паренхиме и почечных пирамидах и могут проявляться на экране белыми точками и пятнами различных размеров (см. фото).
Причин гиперэхогенности множество. Но наиболее часто ее вызывают такие патологии:
- кристаллы солей (песок) и камни;
- множественные кисты;
- воспалительные гнойные процессы;
- карбункулы и гематомы после ушибов;
- жировое перерождение пирамидок;
- доброкачественные и злокачественные новообразования.
Резкие очертания и белые пятна на УЗИ могут свидетельствовать не только о заболевании почек. Иногда причиной может стать недостаточная масса тела.
Признаки синдрома выделяющихся пирамидок
Клинические проявления синдрома гиперэхогенных пирамид похожи на симптомы других заболеваний почек:
- быстрая утомляемость, слабость;
- изменение цвета мочи до темно-коричневого;
- боль в поясничной области спины;
- высокая температура;
- повышенное артериальное давление, которое очень сложно сбить (не всегда);
- тошнота и позывы к рвоте;
- спазматические боли внизу живота и в паху.
Чтобы добиться полного представления о состоянии почек, обязательно назначают УЗИ. Специалист без труда определит наличие гиперэхогенных включений и на фоне выделяющихся пирамид исследует состояние паренхимы.
Одной из разновидностей патологий почечных пирамидок является синдром перимедуллярного кольца. На экране монитора при ультразвуковом исследовании заметны белые пятна в форме кольца.
Есть специалисты, которые считают рассматриваемое состояние не отдельным заболеванием, а стадией развития синдрома выделяющихся пирамидок.
Диагностика
Если врач заподозрил у пациента заболевание почек, необходимо пройти не только инструментальное обследование, но и лабораторное, включающее:
- общий и биохимический анализы крови;
- анализ мочи;
- исследование кала.
Далее пациенту для уточнения назначают УЗИ. Обычно этого достаточно для постановки диагноза. Но в особых случаях может быть предложена рентгенография с контрастным веществом или магнитно-резонансная томография (МРТ).
По статистике, примерно 5% новорожденных имеют пороки развития почек. Безопасность и информативность такого метода, как УЗИ, делают его незаменимым при обследовании малышей.
Все эти процедуры позволяют оценить состояние почек и пирамидок в частности, выявить причины патологического процесса.
Рекомендации по лечению синдрома
Лечится синдром белых пирамидок в почках комплексно. Главные задачи – избавление пациента от боли и устранение причин, вызывающих патологическое состояние.
Лечение включает медикаментозную терапию, диету, физиотерапию и гомеопатические средства. В тяжелых случаях показано хирургическое вмешательство.
Обратите внимание! Медикаментозная терапия должна проводиться только по предписаниям врача (уролога или нефролога) и под его строгим контролем.
Больному назначают противовоспалительные, спазмолитические и антибактериальные средства, анальгетики, фитопрепараты.
Большую роль играют изменения в питании – смена режима и рациона. Навсегда исключите такие факторы:
- жирную, копченую, жареную пищу;
- крепкий алкоголь, кофе и черный, круто заваренный чай;
- томатный сок и томаты;
- газированные цветные напитки;
- острые и пряные блюда.
Больше внимания уделяют свежим фруктам и овощам, нежирной рыбе, кисломолочным продуктам.
Немалое значение отводится питьевому режиму. В сутки человек с почечными патологиями должен выпивать много чистой негазированной воды. Это количество несложно подсчитать самостоятельно: 30 мл на каждый кг массы тела. Объем выпитой воды надо увеличивать постепенно, не создавая стрессовой ситуации для организма и не допуская появления отеков.
Невыполнение предписаний доктора грозит пациенту переходом болезни в хроническую форму и осложнениями, приводящими к летальному исходу.
Профилактика гиперэхогенного синдрома
Лучшей профилактикой синдрома считают своевременное выявление заболеваний мочеполовой системы с последующим лечением под руководством квалифицированного специалиста. А для этого каждый человек должен сам позаботиться о себе и не пропускать профилактические осмотры.
Важно помнить, что переохлаждение ног и поясницы, половые инфекции, вредные привычки, неправильное и нерегулярное питание, плохое качество воды могут стать пусковым механизмом для возникновения серьезных заболеваний различных органов, но в первую очередь именно почек.
Синдром гиперэхогенных пирамид почек: что это такое
Почки являются парным органом и в организме человека выполняют несколько функций одновременно. Поэтому при диагностическом ультразвуковом обследовании проводится обязательный осмотр обеих почек. Нарушение функции может начинаться с одной стороны и затрагивать вторую.
Гиперэхогенные включения в почках могут наблюдаться как в одной, так и в двух. Месторасположение включений самое разнообразное и зависит от предрасполагающих неблагоприятных факторов. При выявлении данной патологии проводится лечение, и пациенты регулярно проходят профилактическое обследование.
Что означает гиперэхогенность
При нормальном здоровом состоянии почек они имеют правильную гладкую форму, равномерную структуру, расположены симметрично, ультразвуковые волны не отражаются. Патологические процессы различной этиологии изменяют структуру и вид почек в зависимости от тяжести болезни и состояния включений.
Почки могут находиться асимметрично, увеличиваться или уменьшаться, утрачивать ровные очертания, иметь внутри дегенеративные изменения тканей и плохо проводить ультразвуковую волну. Также при появлении новообразований или камней (песка) изменяется эхогенность данных участков почек.
Эхогенность – это отражение волны звука от жидкого или твердого вещества. Все органы человеческого организма эхогенны, что позволяет проводить ультразвуковое обследование. Гиперэхогенность означает сверхсильное отражение, свидетельствующее о наличии каких-либо включений в почках.
На мониторе при ультразвуковом обследовании высвечивается белое пятно, которое является лишним элементом структуры, и врач сразу определяет наличие или отсутствие акустической тени. Это является определяющим моментом для установления плотности гиперэхогенного включения.
Виды гиперэхогенных включений и диагностика
Наличие гиперэхогенных включений – это синдром уже развивающегося патологического процесса в почке, а не самостоятельно происходящее заболевание. Например, при обнаружении песка или камней подтверждается диагноз: мочекаменная болезнь.
Существует несколько типов эхогенных включений, по которым определяется патологическое состояние почек. Гиперэхогенные включения и разделяются на две большие группы: камни (песок) и новообразования. Чаще всего гиперэхогенные образования располагаются в толще почечных пирамид и паренхиме. На ультразвуковом обследовании выявляются следующие виды образований в почках:
Мелкие включения, не имеющие акустической тени, на экране высвечиваются в виде ярких точек;Образования большого размера, встречающиеся достаточно редко и являющиеся доброкачественными или злокачественными образованиями;Крупные включения в почках. Имеют акустическую тень, и являются злокачественными новообразованиями. Это может подтвердиться также наличием кальцификатов и псаммомных телец в опухоли, а также склерозированными участками.
Кистозное образование;Склерозирование почечных сосудов;Жировые образования пирамидок почек;Абсцесс, карбункул;Гематома (кровоизлияние).
Для подтверждения заболеваний дополнительно назначаются лабораторные исследования мочи и крови, рентгенография с введением контрастного вещества, магниторезонансная томография, в редких случаях биопсия.
Нарушение работы почек всегда сопровождается слабостью и быстрой утомляемостью. При развитии патологических процессов в почках происходят следующие изменения здоровья:
Повышение температуры тела до 39 градусов;Состояние тошноты и позывов к рвоте;Отсутствие нормального цвета мочи;Ноющие и покалывающие болевые ощущения в области поясницы;Болевой синдром внизу живота.
Такое состояние присуще острому развитию заболеваний или фазе обострения хронических патологических процессов в почках. В зависимости от заболевания на ультразвуковом обследовании может быть выявлен синдром гиперэхогенных пирамид. Необходимо оценивать состояние паренхимы почки на фоне выделяющихся пирамид.
Сам по себе синдром не является опасным для жизни и является симптомом заболевания, которое устанавливается после полного комплексного обследования.
Если на УЗИ выявлена паренхима с повышенной эхогенностью и установлен синдром гиперэхогенных пирамид, то необходимо сделать исследования анализов мочи и крови.
Данный синдром может и не являться симптомом какого-либо заболевания, а показывать состояние почек. Например, на снимках УЗИ состояние выделяющихся пирамид и паренхимы может быть резко очерченным и наблюдается у худых людей и в детском возрасте. У новорожденных оценивается структура и состояние самих пирамидок и выделяющихся через них жидкостей.
Лечебные мероприятия и профилактика
После полного обследования и установления диагноза назначается комплексное лечение, направленное на устранение причины заболевания и снижение симптоматики. В зависимости от запущенности состояния и вида патологического процесса, лечение может быть терапевтическим или хирургическим.
Медикаментозная терапия назначается только врачом (урологом, нефрологом). По результатам обследований рекомендуется: антибактериальная терапия, противовоспалительная, симптоматическая. Меняется режим и качество питания.
В стадии ремиссии добавляются физиотерапевтические процедуры и применение гомеопатических средств с разрешения лечащего врача. Осложненные случаи поддаются лечению радикальными методами и специфическим лечением.
Профилактикой патологий мочевыделительной системы являются своевременное лечение заболеваний и профилактические осмотры для выявления отклонений состояния здоровья.
Пирамидками почек называются определенные зоны, через которые в чашечно-лоханочную систему попадает моча после фильтрации жидкости из кровотока посредством систем трубочек. Уже из члс моча движется по мочеточнику и попадает в мочевой пузырь.
Нарушения пирамидок могут наблюдаться как в одной, так и обеих почках, что приводит к дисфункции работы органа и требует обязательного лечения.
Выявление патологических изменений производится посредством УЗИ и только после обследования и постановки диагноза, доктор назначает необходимую терапию.
Что означает гиперэхогенность пирамидок?
Пирамидками почек называются определенные зоны, через которые в чашечно-лоханочную систему попадает моча после фильтрации жидкости из кровотока
Нормальное здоровое состояние почек означает правильную форму, равномерность структуры, симметричное расположение и при этом волны УЗИ на эхограмме – исследовании, проводимом при подозрении на заболевание, не отражаются. Патологии же меняют структуру, вид почек и имеют особенные характеристики, говорящие о тяжести заболевания и состоянии включений.
Например, органы могут быть ассиметрично увеличены/уменьшены, иметь внутренние дегенеративные изменения паренхиматозной ткани – все приводит к плохому проницанию ультразвуковой волны. Кроме того, эхогенность нарушается из-за наличия в почка камней, песка.
Гиперэхогенность – это отражение увеличенной силы, выявляющее включения в органах. На основании показаний монитора специалист выявляет наличие акустической тени, что является определяющим фактором плотности включения.
Симптоматика гиперэхогенности
Синдром гиперэхогенных пирамидок почек имеет ряд признаков:
Температурные изменения тела; Болевые ощущения в пояснице режущего, колющего характера; Изменение цвета, запаха мочи, иногда наблюдаются кровяные капельки; Нарушение стула; Тошнота, рвота.
Синдром и симптоматика говорят о явном заболевании почек, которое необходимо лечить.
Выделение пирамидок может быть вызвано различными заболеваниями органов: нефритами, нефрозами, новообразованиями и опухолями.
Требуется дополнительная диагностика, осмотр доктора и проведение лабораторных исследований для установления основного заболевания. После чего специалист назначает меры терапевтического лечения.
Виды гиперэхогенных включений
Все образования разделяются на три типа, исходя из того, какая картина видима на УЗИ:
Крупное включение, имеющее акустическую тень, чаще всего говорит о наличии камней, очаговых воспалений, нарушений лимфатической системы; Крупное формирование без тени может быть спровоцировано кистами, жировыми прослойками в синусах почек, опухолями различного характера или малыми конкрементами; Мелкие включения без тени – это микрокальцивикаты, псаммомные тельца.
Возможные болезни в зависимости от величины включений:
Мочекаменная болезнь или воспаления – проявляются крупными эхогенными включениями.
Важно! Если монитор прибора показывает явные блестки без тени, то в почках может наблюдаться скопление соединений (псаммомнного) белково-жирового характера, обрамленных солями кальция или кальцификатов.
Пропускать данный симптом не рекомендуется, так как это может быть началом развития злокачественных опухолей. В частности, онкологические образования включают в 30% кальцификаты, в 50% псаммоные тельца.
Включения эхокомплекса почек на УЗИ – это исследование, позволяющее выявить аномальные развития всех частей органа, динамику заболеваний и паренхиматозные изменения. В зависимости от эхогенных показателей, определяется характеристика заболевания, подбирается терапевтическое и другое лечение.
Что касается симптоматики, то даже зная про пирамидки в почках что это, о каких патологиях говорят изменения структуры и эхогенности, неявность признаков болезни часто не вызывает беспокойства. Пациенты смиряются с болевыми ощущениями и затягивают визит к доктору.
Делать этого категорически не рекомендуется: если болезнь задела пирамидки, значит, патологические изменения зашли достаточно далеко и могут обернуться не только гнойными воспалительными процессами, но и хроническими болезнями, для лечения которых потребуется много времени и финансов.
Пирамидки в почках на УЗИ: что означает их гиперэхогенность
Заболевания мочевыделительной системы оказывают неблагоприятное влияние на весь организм. Патологические процессы в почках длительное время могут развиваться бессимптомно или проявляться общими жалобами на слабость, быструю утомляемость.
Информативным методом исследования почек является ультразвуковая диагностика. Часто на УЗИ обнаруживают изменения в мозговом слое паренхимы, так называемых пирамидках. Рассмотрим, как определить на УЗИ патологические изменения пирамидки в почках, что это дает для постановки диагноза.
Пирамидки в почках: что это
Почки имеют сложное строение, обеспечивающее функцию фильтрации и выведения мочи. Они покрыты плотной капсулой, под которой расположен корковый слой паренхимы.
Он состоит из так называемых клубочков, окутанных капиллярной сетью и отвечающих за фильтрацию крови и образование мочи. Затем из клубочков она поступает в систему канальцев (трубочек), составляющих мозговой слой паренхимы.
Всего в норме обнаруживается 7—10 пирамидок. Они разделены перегородками, выростами коркового слоя, в которых проходят сосуды, обеспечивающие кровоснабжение. Эти перегородки называют колоннами Бертини. Каждая пирамидка оканчивается сосочком, через который моча поступает в чашечки, а затем в лоханку.
Что означает гиперэхогенность пирамидок
Метод УЗ-исследования основан на степени отражения ультразвука от тканей различной плотности. Гиперэхогенность – это усиление акустической тени, то есть на практике это значит, что структура органа имеет высокую плотность и хорошо отражает ультразвук. На мониторе это выглядит как более светлая, почти белая область.
Синдром белых пирамидок в почках наблюдается и в норме, например, у худощавых людей до 30–40 лет, подростков. Но часто он указывает на образование включений при метаболических нарушениях обмена, приеме некоторых лекарственных препаратов, например, Фуросемида, гормональных веществ. Также он может присутствовать при гиперфункции щитовидной железы, гипервитаминозе D.
Основные причины гиперэхогенности
При болезнях почек на УЗИ часто обнаруживают синдром гиперэхогенных пирамид, рассмотрим, что это такое. Если структура пирамидок поражена, изменяется ее эхогенность. Причиной повышения является образование включений (камни, песок), новообразований, или воспалительный процесс.
Например, симптом гиперэхогенных пирамид может быть при остром пиелонефрите, за счет инфильтрации почек лейкоцитами. Также повышение плотности наблюдается при образовании кальцификатов, отложении солей.
Синдром может быть анатомической особенностью конституции, но его обнаружение на УЗИ нельзя оставить без внимания, особенно если у пациента есть какие-то жалобы.
Наиболее часто при патологиях в почках больные отмечают:
- быструю утомляемость, слабость;
- подташнивание, позывы к рвоте;
- повышение температуры;
- изменение цвета мочи;
- боли в животе, пояснице;
- отечность и др.
Появление такой симптоматики требует тщательного обследования, проводят:
- анализ мочи;
- общее и биохимическое исследование крови;
- рентгенография (урография);
- различные почечные тесты;
- КТ, МРТ почек и др.
Обнаружение гиперэхогенных пирамидок на УЗИ также помогает дифференцировать болезни почек от других патологий, имеющих сходные симптомы.
Виды гиперэхогенных включений
Повышение плотности вызвано присутствием в области канальцев различного типа включений. Это могут быть мелкие диффузные образования в виде белых точек, или большие гипоэхогенные структуры, которые зрительно повышают эхогенность пирамидки. Обычно обнаруживают следующие виды включений:
- почечные камни, песок;
- кистозные образования;
- склеротические изменения сосудов;
- жировые включения;
- гнойные процессы (карбункулы, абсцессы);
- кровоизлияния, гематомы;
- онкологические новообразования.
Наиболее опасно обнаружение крупных светлых пятен, указывающих на злокачественный процесс.
Признаки синдрома выделяющихся пирамидок
Есть также такое понятие при УЗ исследовании почек, как синдром выделяющихся пирамидок. При этом повышается эхогенность коркового слоя и пирамидки выглядят заметно темнее, выделяются.
В норме эхогенность коры сравнима с паренхимой печени, ее повышение указывает на серьезное нарушение в работе почек. Это может быть острый гломерулонефрит, острая почечная недостаточность различной этиологии.
Например, при поражении почек отравляющими веществами.
У новорожденных детей и до 3-летнего возраста такой симптом считается нормой. Кора выглядит гиперэхогенной, поскольку количество нефронов в почке закладывается внутриутробно, корковый слой у плода еще недостаточно развит, поэтому плотность повышена. У новорожденных соотношение коркового и мозгового вещества составляет 1 к 5, а у взрослых 2 к 3.
УЗИ-диагностика пирамидок в почках
При УЗИ врач диагност рассматривает не только пирамидки, но и основные показатели почек. В норме они должны быть правильно, симметрично расположены, иметь ровный контур гиперэхогенной капсулы. Измеряются их размеры, положение и подвижность на вдохе. Эти показатели позволяют оценить общее состояние, наличие дефектов.
Затем рассматривается структура и строение паренхимы. Появление крупных образований высокой плотности вызвано образованием камней при мочекаменной болезни или развитием очагового воспалительного процесса.
Участки низкой плотности могут возникнуть при кисте почки, гематоме.
Особое внимание надо обратить на яркие, белые включения, которые указывают на наличие в почках склеротической ткани, кальцификатов и псаммомных телец (белково-жировые комплексы), присущих злокачественным новообразованиям.
Синдром гиперэхогенных пирамид почек
Почки являются парным органом и в организме человека выполняют несколько функций одновременно. Поэтому при диагностическом ультразвуковом обследовании проводится обязательный осмотр обеих почек. Нарушение функции может начинаться с одной стороны и затрагивать вторую.
Гиперэхогенные включения в почках могут наблюдаться как в одной, так и в двух. Месторасположение включений самое разнообразное и зависит от предрасполагающих неблагоприятных факторов. При выявлении данной патологии проводится лечение, и пациенты регулярно проходят профилактическое обследование.
Что означает гиперэхогенность
При нормальном здоровом состоянии почек они имеют правильную гладкую форму, равномерную структуру, расположены симметрично, ультразвуковые волны не отражаются. Патологические процессы различной этиологии изменяют структуру и вид почек в зависимости от тяжести болезни и состояния включений.
Почки могут находиться асимметрично, увеличиваться или уменьшаться, утрачивать ровные очертания, иметь внутри дегенеративные изменения тканей и плохо проводить ультразвуковую волну. Также при появлении новообразований или камней (песка) изменяется эхогенность данных участков почек.
Эхогенность – это отражение волны звука от жидкого или твердого вещества. Все органы человеческого организма эхогенны, что позволяет проводить ультразвуковое обследование. Гиперэхогенность означает сверхсильное отражение, свидетельствующее о наличии каких-либо включений в почках.
На мониторе при ультразвуковом обследовании высвечивается белое пятно, которое является лишним элементом структуры, и врач сразу определяет наличие или отсутствие акустической тени. Это является определяющим моментом для установления плотности гиперэхогенного включения.
Виды гиперэхогенных включений и диагностика
Наличие гиперэхогенных включений – это синдром уже развивающегося патологического процесса в почке, а не самостоятельно происходящее заболевание. Например, при обнаружении песка или камней подтверждается диагноз: мочекаменная болезнь.
Существует несколько типов эхогенных включений, по которым определяется патологическое состояние почек. Гиперэхогенные включения и разделяются на две большие группы: камни (песок) и новообразования. Чаще всего гиперэхогенные образования располагаются в толще почечных пирамид и паренхиме. На ультразвуковом обследовании выявляются следующие виды образований в почках:
- Мелкие включения, не имеющие акустической тени, на экране высвечиваются в виде ярких точек;
- Образования большого размера, встречающиеся достаточно редко и являющиеся доброкачественными или злокачественными образованиями;
- Крупные включения в почках. Имеют акустическую тень, и являются злокачественными новообразованиями. Это может подтвердиться также наличием кальцификатов и псаммомных телец в опухоли, а также склерозированными участками.
- Кистозное образование;
- Склерозирование почечных сосудов;
- Жировые образования пирамидок почек;
- Абсцесс, карбункул;
- Гематома (кровоизлияние).
Для подтверждения заболеваний дополнительно назначаются лабораторные исследования мочи и крови, рентгенография с введением контрастного вещества, магниторезонансная томография, в редких случаях биопсия.
Клинические проявления
Нарушение работы почек всегда сопровождается слабостью и быстрой утомляемостью. При развитии патологических процессов в почках происходят следующие изменения здоровья:
- Повышение температуры тела до 39 градусов;
- Состояние тошноты и позывов к рвоте;
- Отсутствие нормального цвета мочи;
- Ноющие и покалывающие болевые ощущения в области поясницы;
- Болевой синдром внизу живота.
Такое состояние присуще острому развитию заболеваний или фазе обострения хронических патологических процессов в почках. В зависимости от заболевания на ультразвуковом обследовании может быть выявлен синдром гиперэхогенных пирамид. Необходимо оценивать состояние паренхимы почки на фоне выделяющихся пирамид.
Сам по себе синдром не является опасным для жизни и является симптомом заболевания, которое устанавливается после полного комплексного обследования.
Если на УЗИ выявлена паренхима с повышенной эхогенностью и установлен синдром гиперэхогенных пирамид, то необходимо сделать исследования анализов мочи и крови.
Данный синдром может и не являться симптомом какого-либо заболевания, а показывать состояние почек. Например, на снимках УЗИ состояние выделяющихся пирамид и паренхимы может быть резко очерченным и наблюдается у худых людей и в детском возрасте. У новорожденных оценивается структура и состояние самих пирамидок и выделяющихся через них жидкостей.
Лечебные мероприятия и профилактика
После полного обследования и установления диагноза назначается комплексное лечение, направленное на устранение причины заболевания и снижение симптоматики. В зависимости от запущенности состояния и вида патологического процесса, лечение может быть терапевтическим или хирургическим.
В стадии ремиссии добавляются физиотерапевтические процедуры и применение гомеопатических средств с разрешения лечащего врача. Осложненные случаи поддаются лечению радикальными методами и специфическим лечением.
Профилактикой патологий мочевыделительной системы являются своевременное лечение заболеваний и профилактические осмотры для выявления отклонений состояния здоровья.
Профилактика синдрома выделяющихся пирамидок в почках
Мало кто из людей знает об эхогенности своих органов, а еще меньше – задумываются над этим. Между тем, гиперэхогенность почек свидетельствует о наличии опасных включений, говорящих о развивающемся в организме синдроме выделенных пирамид.
Резкие очертания или белые пятна на снимке ультразвукового исследования почек – сигналы о протекающих патологиях и даже недостаточной массы тела. В любом случае задать вопрос о состоянии своих почек необходимо каждому.
Кратко о синдроме
Эхогенность характеризуется степенью отражения звука от тканей и жидкости внутренних органов, и появление сильного отсвечивания на УЗИ сигнализирует о наличии различных чужеродных включений.
Чаще всего гиперэхогенные образования формируются в почечных пирамидах и паренхиме.
Пирамидками называются участки почек в форме треугольника, через которые после фильтрации выходит моча в чашечно-лоханочную систему, а паренхимой обозначают наполняющую орган ткань из костного и коркового вещества.
Любой лишний элемент структуры, будучи следствием протекающей в органе патологии, вносит диссонанс в его функционирование, и нередко развиваясь на одной, в скором времени затрагивает и вторую почку.
Степень негативного влияния гиперэхогенных включений напрямую зависит от их размера, состава и возможного развития в них злокачественных раковых процессов.
Все лишние элементы делятся на кальциевые конкременты, камни, песок и новообразования. Последняя группа включает в себя формирования различных видов:
- Небольшие образования во время УЗИ проявляются в виде белых точек. Отсутствие акустической тени говорит об их безопасности;
- Большим размером отличается следующий вид включений, которые могут быть как доброкачественными, так и злокачественными, раковыми новообразованиями. Встречаются они крайне редко и нуждаются в постоянном контроле врачей;
- Крупные светлые пятна на УЗИ свидетельствуют о раковых включениях, которые в отличие от других образований обязательно имеет акустическую тень, участки склероза, а также содержит калицификаты и псаммомные тельца.
8 главных причин гиперэхогенности
Синдром гиперэхогенных пирамид почек не самостоятельное заболевание, а сопутствующее недомоганием, так как является следствием развивающейся в теле патологии. Причиной их появления могут стать следующие патологические почечные процессы:
- Поликистоз;
- Склерозирование сосудов;
- Травмы;
- Кровотечения;
- Гнойное воспаление тканей;
- Скопление нескольких нарывов и фурункулов в одном месте;
- Онкологические процессы;
- Жировые образования в пирамидках почки.
Симптомы и диагностика
Синдром гиперэхогенных пирамидок можно заподозрить по следующим характерным клиническим проявлениям, возникающих на общем фоне слабости и утомляемости: высокая температура (до 39°С), темно-коричневый или красный цвет мочи, колющие боли в области почек; спазмы в области живота и паха, рвота, тошнота, тянущие болевые ощущения в паху.
Симптоматика синдрома характерна для многих почечных заболеваний, однако при помощи ультразвукового исследования специалист сразу диагностирует наличие гиперэхогенных включений, а также оценит состояние паренхимы почки на фоне выделяющихся пирамид.
При постановки в ходе диагностики диагноза «синдром гиперэхогенных пирамид» назначаются дополнительные процедуры, имеющие своей целью выявление первопричин процесса и назначение соответствующей терапии. Так, обязательны общие анализы крови, урины, кала.
Терапия и назначения
Лечение синдрома гиперэхогенных пирамид имеет комплексный характер и направлено на снятие болевых синдромов и устранение патологических предпосылок.
Своевременное выявление недомогания предполагает медикаментозную терапию, во время которой уролог или нефролог назначает пациенту антибиотики, анальгетики, спазмолитики, а также препараты, имеющие противовоспалительное и антибактериальное действие. Обязательна смена режима и рациона, предполагающих полноценный отдых, обильное питье, употребление нежирных продуктов, свежих овощей и фруктов.
При переходе заболевания в хроническую стадию рекомендуются физиотерапевтические процедуры и гомеопатические препараты.
Запущенные случаи требуют более индивидуального подхода и хирургического вмешательства.
Профилактика гиперэхогенного синдрома
Чтобы предотвратить возникновение в ткани и пирамидках почек гиперэхогенных включений, необходимо своевременно выявлять и лечить все заболевания мочевыделительной системы организма, для чего рекомендуется регулярно проходить профилактические осмотры.
Большое значение в предупреждении почечных патологий имеет сбалансированное правильное питание, не затрудняющее, а стимулирующее функционирование органа:
- Постоянное употребление кисломолочных продуктов;
- Обильное питье чистой воды, ягодных компотов и морсов, киселя и некрепкого чая;
- Паровое приготовление пищи;
- Предпочтение свежим домашним сезонным продуктам: фруктам, овощам, ягодам;
- Преимущественное потребление макаронных изделий, различных круп.
Не опасный для жизни человека синдром выделяющихся пирамидок почек лишь обозначает протекающий патологический процесс, который при запущенном состоянии может развиться в раковую опухоль, хроническую или острую стадию почечной недостаточности. Лишь своевременные и регулярные обследования избавят от назревающих проблем и не дадут мелким образованиям перерасти в серьезные заболевания.
О чем говорят гиперэхогенные включениях в почках?
Эхогенность – это отражение акустической волны от вещества твердого или жидкого вида. Все внутренние органы человека эхогенны, что дает возможность проводить УЗИ. Гиперэхогенность, означающая очень сильное отражение звуковых волн, может говорить о наличии патологий в органах. Что такое гиперэхогенные включения в почках и о каких патологиях может идти речь?
У нормальных здоровых почек гладкая правильная форма с равномерной структурой. Обычно они располагаются симметрично, не отражая ультразвуковые волны. При возникновении патологических процессов ихвид и структура меняется в зависимости от степени тяжести развившегося заболевания. Это определяется по изменению эхогенности пораженных участков в почках.
Синдром гиперэхогенных пирамид
Во время проведения УЗИ на дисплее прибора можно заметить подсвеченные белые пятна, являющиеся ненужными элементами почечной структуры. Врач может сразу установить наличие и плотность возникшего гиперэхогенного включения.
У почечных пирамид параметр эхогенности ниже и на дисплее визуально они выглядят в виде отдельно располагающихся треугольных структур. Если звуковая волна упирается в преграду, состоящую из плотного новообразования, то она сквозь него не проникает, а отражается, образуя акустическую тень. Такие патологические образования или включения на мониторе прибора смотрятся в виде белого пятна.
Размеры эхогенных включений и их формы могут быть самых разнообразных видов:
- мелких или объемных;
- точечных или линейных;
- множественных или единичных.
Присутствие таких гиперэхогенных включений является следствием развивающихся патологий в почках, а не самостоятельным заболеванием. Подобных эхогенных включений может быть несколько видов.
Чаще всего встречаются две их группы, одна характеризует наличие камней или песка в почках, а другая связана с развитием новообразований.
Все гиперэхогенные включения расположены в глубине почечных выделяющихся пирамидок, а также в паренхиме. Пирамиды представляют собой участки почки с мозговым веществом соответствующей формы с вершинами, обращенными к почечным пазухам. А паренхимы являются их слоями (внешним и внутренним), содержащие нефроны.
Во время проведения УЗИ почек могут выявиться такие гиперэхогенные образования, как:
- мелкие включения, которые на мониторе показываются в виде ярких точечек;
- большие новообразования доброкачественного или злокачественного характера;
- крупные почечные включения, имеющие акустические тени и являющиеся злокачественными образованиями.
Синдром гиперэхогенных пирамид почек легко определяется при проведении обследования ультразвуком. Причем в ходе осмотра могут быть выявлены несколько разных типов эхогенных включений. Если выявлено одиночное образование в почке, не имеющее акустических теней, то это чаще симптом различных патологий. Чтобы подтвердить подобные заболевания требуется сделать:
- дополнительные анализы для исследования урины и крови;
- МРТ;
- рентгенографию с применением специальных контрастных веществ;
- при необходимости биопсия на проверку онкологии.
Клинические проявления мочеполовых заболеваний
Любые нарушения деятельности почек почти всегда вызывают общую слабость и быструю утомляемость.
При возникновении в почках патологических процессов могут проявиться такие симптомы, как:
- появляется тошнота и позывы к рвоте;
- высокая температура;
- моча изменяет свой естественный цвет;
- боли внизу внутри живота.
Симптомы эти характерны развитию почечных заболеваний в острой или хронической форме. А также методом УЗИ можно определить синдром эхогенных пирамидальных форм, при этом важно правильно установить состояние почечной паренхимы на их фоне.
Если выявленная паренхима имеет повышенную эхогенность, то нужно обязательно провести анализ мочи и крови. Когда состояние мочи изменено, а состав крови нарушен, можно говорить о почечной недостаточности или наличии нефропатии.
Важно. Синдром не считается опасным и не является предвестником заболевания почек, а просто указывать на их состояние. Выделяющиеся пирамиды, эхопозитивные включения и резко очерченные паренхимы могут наблюдаться у детей или худых взрослых людей.
О каких заболеваниях предупреждает гиперэхогенность?
На основании УЗИ и всех проведенных анализов врач может сделать вывод о наличии определенных почечных заболеваний, например, таких:
- кистозные образования, при которых эхогенность паренхимы сильно повышена, а сами почки могут сильно увеличиться в размерах;
- опухолевые новообразования, всегда имеющие вид гиперэхогенных включений, меняющих нормальное состояние органа;
- острый пиелонефрит, для которого свойственна высокая эхогенность из-за избыточности лейкоцитов в почечной ткани;
- острый гломерулонефрит, характеризующийся возникновением определенных участков, имеющих гиперэхогенную плотность в паренхеме;
- нефролитиаз, подразумевающий образование в почках камней, причем при помощи УЗИ можно даже увидеть на мониторе камни с диаметром больше чем 2–3 мм;
- кровоизлияния в почечные ткани, в виде легко обнаруживаемых сгустков крови, которые затем при ее свертывании визуализируются в виде гематом.
Чтобы не допускать больших осложнений необходимо сразу при получении результатов анализа и проведения УЗИ, не задерживать свой визит к врачу.





