Перианальный дерматит — это патологическое состояние кожного покрова вокруг анального отверстия, которое выражается в отечности эпидермальных тканей, покраснении и сильном зуде.
Фактически это локальное воспаление кожи вследствие аллергической реакции, заражения определенными видами бактерий или грибковой инфекцией.
Может быть сопутствующей болезнью при наличии таких заболеваний, как геморрой, воспаление слизистой оболочки кишечника, анальные трещины, энтеробиоз.
Причины перианального дерматита
Этот тип дерматита поражает исключительно кожу в области заднего прохода. В группе риска находятся взрослые мужчины и женщины, имеющие проблемы с толстым кишечником и прямой кишкой. Именно поэтому перианальный дерматит имеет четкие границы локализации.
В среднем около 7% всех дерматологических заболеваний данного типа связаны с наличием у больного хронического дисбактериоза кишечника по кандидозному типу. Поэтому для эффективного лечения данного кожного заболевания необходимо участие не только дерматолога, но и врача проктолога, который смог бы стабилизировать бактериальную микрофлору органов пищеварительной системы.
Все факторы, провоцирующие воспаление кожи вокруг заднего прохода систематизированы медиками на основании практического опыта лечения этого кожного недуга. На сегодняшний день выделяют следующие наиболее распространенные причины образования перианального дерматита:
- Несоблюдение гигиены поверхности кожи в области анального отверстия. Речь идет о редких водных процедурах, ношение грязного нижнего белья на протяжении длительного периода времени. В первую очередь, это относится к лицам, ведущим аморальный образ жизни, либо не имеющим надлежащих санитарно-гигиенических условий проживания.
- Диарея. Жидкий стул, длящийся в течение всего дня может стать причиной воспаления кожного покрова возле ануса. Зачастую оно провоцируется наличием в фекалиях болезнетворных бактерий, способствующих расстройству кишечника. При их попадании на кожу возникает раздражение и воспаление, которое проходит через 1-2 дня по завершению поноса. В этот период необходимо уделять особое внимание гигиене заднего прохода.
- Химические вещества. Люди, имеющие склонность к проявлению аллергических реакций могут столкнуться с воспалением кожного покрова в связи с непереносимостью стирального порошка, которым было постирано нижнее белье. В таком случае необходимо сменить порошок, а пока полностью не исчезнут симптомы перианального дерматита выполнять стирку детским или хозяйственным мылом.
- Язвенный колит. Больные с данной патологией органов пищеварения чаще всего сталкиваются в воспаление кожи вокруг заднего прохода. Это побочные проявления дисфункций толстого кишечника. Часто воспалительный процесс протекает настолько остро, что вокруг ануса образуются небольшие язвочки. Такое состояние эпидермиса очень опасно, так как аналогичные процессы могут развиться и на слизистой оболочке прямой кишки.
- Наследственность. Дерматологические заболевания передаются генетически от предков к потомкам, как и большинство других патологий. Перианальный дерматит не является исключением. Наследственная склонность является причиной болезни у 8% от всех заболевших. Генетическая предрасположенность к данному недугу остается с человеком на всю жизнь и дерматит периодически дает о себе знать в виде сезонных обострений. Все, что может сделать пациент с плохой наследственностью это выработать со своим врачом эффективную систему профилактических мер по противодействию симптомам болезни.
- Геморрой. Само по себе данное заболевание уже является локальным воспалением непосредственно анального отверстия. Окружные эпидермальные ткани затрагиваются в период обострения геморроя, когда узлы расширенных вен тазового дна сильно воспалены. В таком случае лечение перианального дерматита возможно только после устранения основной проблемы в виде хронического геморроя заднего прохода.
- Абсцедирующий фистулез. Является предшественником перианального дерматита. Воспаление кожи развивается после проведения длительного периода времени в положении сидя. Волосы, произрастающие на ягодицах обламываются в процессе механического воздействия на них. В связи с этим фолликулы воспаляются и вызывают зуд, отек и покраснение эпидермы вокруг ануса. С этой дерматологической проблемой чаще всего сталкиваются водители и люди, занимающиеся умственным трудом, которые ежедневно сидят на стуле более, чем 5 часов.
- Бактериальная и грибковая инфекция. Некоторые виды кожных грибов и патогенных микроорганизмов могут вызывать воспаление кожи вокруг заднего прохода. Для этого человек должен прикоснуться открытой кожной поверхностью к источнику инфекции. Чаще всего бактериальная или грибковая инвазия происходит в местах общественного пользования. Это сауна, бассейн, пляжи на открытых водоемах, озера, загрязненные биологическими отходами.
В целом, кроме перечисленных причин возникновения перианального дерматита, нельзя исключать наличие других индивидуальных факторов, присутствующих в жизни каждого человека, которые могут провоцировать болезнь. Все эти аспекты устанавливаются лечащим врачом дерматологом в ходе предварительного осмотра больного.
Симптомы
Признаки заболевания всегда развиваются по одному и тому же сценарию и имеют характерную клиническую картину. Симптомы перианального дерматита выглядят следующим образом:
- Изменение цвета кожного покрова вокруг заднего прохода с розового на более яркие тона. Насыщенность цвета напрямую говорит о степени тяжести воспаления.
- Присоединяется отечность. Этот признак является ключевым при постановке диагноза. Именно воспалительный процесс приводит к отеканию верхнего слоя эпидермиса. Осложненные формы болезни могут отличаться отечностью не только области вокруг анального отверстия, но и распространяться на слизистую оболочку прямой кишки. В таких ситуациях больной чувствует сложности при дефекации.
- Боль окружной поверхности кожи. Болезненные ощущения присутствуют, когда человек находится в спокойном состоянии и при воздействии на ягодицы. Становится очень проблемно сидеть, а также интенсивно двигаться. В случае обширного воспаления таким больным рекомендуется постельный режим и спокойствие пока не пройдет фаза обострения.
- Вокруг заднего прохода появляются небольшие волдыри красного цвета в виде сыпи. Через 2-3 дня после их образования они наполняются гнойным содержимым лопаются и на их месте образовываются язвочки. Все это сопровождается сильным чувством зуда. Чесать поверхность кожи в области ануса не рекомендуется, чтобы не занести вторичную бактериальную инфекцию, которая в избытке присутствует под ногтевыми пластинами даже у самых чистоплотных людей.
- Вокруг анального отверстия визуально наблюдается белесый налет и слой ороговевших клеток кожи. На этом фоне развивается интенсивное шелушение кожной поверхности.
В зависимости от наличия или отсутствия сопутствующих заболеваний у человека, который столкнулся с перианальным дерматитом, может проявляться дополнительная симптоматика дерматологической проблемы. Для опытного дерматолога установить наличие патологии не составит особого труда.
Лечение
Терапия дерматита заднего прохода эффективна лишь в том случае, если в ходе обследования была установлена причина его возникновения. Тогда основной акцент в лечении делается именно на ее устранении. Для этого в отношении больного разрабатывают индивидуальный терапевтический курс с учетом фактора раздражителя.
Для снятия дискомфорта и зуда кожи вокруг заднего прохода больному назначают:
- ношение нижнего белья изготовленного только из натуральных тканей (хлопок, лен, шелк);
- увлажнение кожной поверхности детским кремом (эффективно при длительной диареи, вызванной кишечными инфекциями);
- обработка кожи 3% раствором перекиси водорода (при нанесении лекарства нужно быть внимательным, чтобы оно не попало на анус и слизистую оболочку);
- антисептические ванночки отваром ромашки или череды (применяется, как вспомогательное средство в комплексе с медицинскими препаратами);
- нормализация бактериальной микрофлоры в толстом кишечнике и устранение других болезней органов пищеварения (для этого привлекают врачей проктолога и гастроэнтеролога);
- хирургическое вскрытие абсцессов (используется, как крайний метод, когда гнойные образования вокруг заднего прохода настолько обширные, что могут угрожать дальнейшим распространением на внутренние органы).
В зависимости от восприимчивости больного к тем или иным методам терапии, возможно использование других лечебных методик. В любом случае решение должен принимать исключительно врач, проводящий лечение. Также при наличии бактериальной или грибковой инфекции на коже вокруг ануса не исключается использование антибиотиков и противогрибковых препаратов.
Фото и лечение перианального дерматита
Перианальный дерматит проявляется воспалительным процессом в анальной области и сопровождается гиперемией, отеком и мучительным зудом.
Эта форма заболевания может иметь аллергический, контактный, грибковый и бактериальный характер развития. Наиболее частыми провоцирующими факторами являются трещины в области ануса, воспалительный процесс, геморрой, энтеробиоз и дисбактериоз. Основное значение при диагностировании имеет анализ перианального соскоба с последующим симптоматическим лечением.
Эта форма дерматита может появиться у пациентов разного возраста и пола. У новорожденных симптоматика зачастую связана с недостаточным соблюдением гигиены, у взрослых пациентов перианальный дерматит способен развиться в результате патологических процессов толстого кишечника и прямой кишки.
Причины возникновения заболевания
У новорожденных малышей симптомы воспалительного процесса в перианальных складках аналогичны картине пеленочного дерматита, развивающегося при контакте с подгузниками, грязной одеждой, случайном травмировании нежной кожи ануса у ребенка.
Симптоматика перианального дерматита провоцируется следующими факторами:
- выпадение геммороидальных узлов;
- дисбактериоз;
- нижнее белье из синтетических тканей;
- энтеробиоз;
- анальные трещины с последующими расчесами;
- заболевания кишечника (проктиты, колиты, парапроктиты и т.д.);
- механические повреждения анальной области способствуют вторичному инфицированию, в результате которого возможен грибковый дерматоз;
- «синдром водителей» — абсцедирующая форма фистулезного перианального воспалительного процесса, которая наблюдается при длительной езде в автотранспорте или на лошади.
От перианального дерматита нередко страдают пациенты с аллергической предрасположенностью, так как снижение иммунных сил с одновременным угнетением тканевых барьерных функций способствуют более легкому проникновению инфекции. Аналогичные симптомы могу присутствовать у грудных малышей, ВИЧ-инфицированных и людей престарелого возраста.
Общие симптомы заболевания
Перианальная форма дерматита имеет характерные симптомы:
- появление нестерпимого зуда в области заднего прохода;
- воспаленный участок отечный, гиперемированный и слегка уплотнен;
- возможно появление водянистой сыпи;
- при геморрое возможен болевой синдром;
- эрозивные изъязвления, которые впоследствии покрываются корочкой.
Если перианальный дерматит протекает длительно, то в процесс воспаления могут вовлекаться ягодицы. При этом отмечается резкое покраснение кожи с изъязвлениями, а также ухудшение общего состояния пациента.
Симптоматика по формам перианального дерматита:
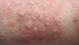
При АЛЛЕРГИЧНОЙ ФОРМЕ перианального дерматита симптомы выражаются появлением пузырьков с прозрачным содержимым и сильным зудом (на фото). Как правило, негативная симптоматика исчезает по мере устранения аллергенов.
При ГРИБКОВОМ РАЗВИТИИ перианального дерматита наблюдается покраснение в области промежности и шелушение кожного покрова в месте поражения. Воспалительный очаг имеет четкие неровные формы, которые могут быть покрыты налетом белого цвета (на фото) и мелкопузырчатой сыпью.
«БОЛЕЗНЬ ДЖИПА» характеризуется распространение множественных гнойных пузырьков, которые способны вскрыться самостоятельно. Как правило, после этого остается длительно не заживающая язвенная поверхность. К осложнениям этой формы заболевания относится появление свищевых ходов, что требует обязательного вмешательства хирурга.
Диагностика
Диагностическое обследование начинается со сбора необходимого анамнеза, учитывающего симптомы заболевания и жалобы пациента. Кроме того, оценивается лабораторный ответ на дисбактериоз и грибковую микрофлору.
Врач может назначить больному ряд необходимых обследований, к которым относятся:
- проведение УЗИ;
- рентгенография;
- результаты копрограммы;
- выполнение колоноскопии и ректограммы.
По результатам обследования врач назначает индивидуальное лечение, с учетом особенностей заболевания.
Тактика лечения дерматита у детей
Перед тем, как начать лечение ребенка, необходима консультация всех специалистов и особенно проктолога и дерматолога, так как установить точный диагноз может только высококвалифицированный специалист.
Перианальная форма дерматита негативно отражается на эмоциональном состоянии ребенка. Он теряет аппетит, нарушается сон, возможно беспокойство и возбуждение, а в некоторых случаях даже задержка в физическом развитии.
Прежде всего, для снятия острой симптоматики назначаются различные противозудные мази, однако следует помнить, что лечить перианальный дерматит нужно с учетом индивидуальных особенностей малыша. Как правило, назначаются наружные препараты, обладающие противозудным и противовоспалительным эффектом. К ним относятся:
- Бепантен;
- Драполен;
- Клотримоксазол и т.д.
Если у маленького пациента присутствуют такие сопутствующие заболевания, как дисбактериоз и энтеробиоз, необходимо провести профилактику гельминтоза. Для этого рекомендуется применение Пирантела, который наиболее эффективен среди группы этих препаратов. Кроме того, рекомендуется употребление большого количества жидкости и особенно гранатового и морковного соков.
При любых способах лечения детей требуется обязательное соблюдение гигиенического ухода за анальной областью. Рекомендуется носить нижнее белье из натуральных тканей, использовать гипоаллергенные подгузники и несколько раз в день подмывать анальную область.
При аллергической форме дерматита рекомендуется прием антигистаминных средств (Диазолин, Тавегил и т.д.). Дальнейшее лечение зависит от природы заболевания.
Перианальный дерматит эффективно излечивается средствами народной медицины (отвары, примочки, кремы, лекарственные ванны, масла и т.д.).
Наиболее распространенными рецептами народной медицины являются:
ОБЛЕПИХОВОЕ МАСЛО. Необходимо промыть и просушить ягоды облепихи и пропустить их через соковыжималку. Полученный сок процеживается и переливается в непрозрачную емкость, которая настаивается в течение суток. После этого необходимо собрать с поверхности раствора жидкую масляную основу, которой следует обрабатывать пораженные дерматитом области.
ОТВАР ДЛЯ КУПАНИЯ. Рекомендуется взять в равных количествах черный чай, зверобой, цветы ромашки, кору дуба и залить 4 столовых ложки травяной смеси 1 л. горячей воды. Настаивается раствор в течение 1 часа, после чего добавляется в ванну при купании. Важно учитывать, что травяные растворы используются только в отсутствии гнойных поражений кожи.
Необходимо помнить, что, несмотря на то, что лечение народными рецептами практически безопасно, тем не менее, требуется консультация лечащего врача. Только он может адекватно оценить тяжесть развития симптоматики, особенно у ребенка.
Лечение перианального дерматита у взрослых
Лечение перианального дерматита основано на наружной обработке пораженных участков и при необходимости употреблении лекарственных препаратов перорально. Такое комплексное лечение способствует быстрому выздоровлению. Нередко для быстрейшего заживления используются местные антисептические препараты с добавлением цинка (Декспантенол и т.д.).
Чаще всего перианальную форму дерматита лечат следующими противобактериальными препаратами:
- Микосептин;
- Кандид;
- Тридерм;
- Канестен.
Достаточно часто в терапии дерматита используется Тридерм, который заслужил положительные отзывы от пациентов. Однако следует учитывать, что Тридерм способен вызвать непереносимость, проявляясь аллергическими высыпаниями на лице, конечностях и т.д., что также подтверждают отзывы. Кроме того, Тридерм нельзя использовать детям младше 2 лет и беременным женщинам.
Симптомы дерматоза, спровоцированного БАКТЕРИАЛЬНЫМ ИНФИЦИРОВАНИЕМ, помимо противобактериальных мазей, снимают р-ром бриллиантовой зелени, синьки или Фукорцина.
Если причина дерматита заключается в ЭНТЕРОБИОЗЕ, назначаются антигельминтные средства:
- Вормил;
- Медамин;
- Вермокс;
- Пирантел;
- Пиперазин.
Перианальный дерматит, как правило, требует назначения антигистаминов (Кларитин, Зодак, Лоратадин и т.д.). Эти средства эффективно снимают отеки и зуд в анальной области. При невозможности нейтрализовать симптоматику дерматита местными препаратами, врач может назначить антимикотическую и антибактериальную терапию.
Из ректальных препаратов наиболее часто назначаются:
ДОЛОПРОКТ. Это крем используется ректально, 2 раза в день на протяжении 1-2 недель. Он снижает воспалительно-аллергическую реакцию, с одновременным снятием отеков и болезненности.
АУРОБИН. Мазь для ректального применения рекомендуется пациентам для нейтрализации воспалительного процесса, снятия жжения и зуда, а также для быстрого заживления.
Если диагностика перианального дерматита выявила микозную природу развития заболевания, назначаются Кандид, Клотримаксозол, Низорал, Экзодерил и т.д.
ПРИ ТЯЖЕЛОМ РАЗВИТИИ ПЕРИАНАЛЬНОГО ДЕРМАТИТА могут назначаться наружные глюкокортикостероиды (Преднизолон, Гидрокортизон и т.д.). Наиболее слабым из этой группы препаратов является Гидрокортизон.
Однако следует помнить, что, несмотря на то, что препарат обладает более мягким воздействием, у него такие же противопоказания, как у всех средств этой группы.
Кроме того, Гидрокортизон нельзя использовать у детей до 2 лет.
В ДОМАШНИХ УСЛОВИЯХ можно использовать травяные ванны. При трещинах анального прохода и обострении геморроя рекомендуется введение свечей, вырезанных из сырого очищенного картофеля. Пациентам с ослабленной иммунной системой показан курс витаминотерапии. Кроме того, рекомендуется физиотерапия с использованием ультразвуковых волн, лазеротерапия и магнитотерапия.
Необходимо помнить, что развития перианальной формы дерматита можно избежать, выполняя элементарные профилактические мероприятия (ношение натуральных тканей, своевременная санация хронических очагов воспаления, личная гигиена). Помимо этого, при возникновении первых неприятных проявлений рекомендуется консультация проктолога и дерматолога.
Лечение анального герпеса
Все слышали о такой проблеме, как анальный герпес. Это заболевание, что проявляется в виде пузырьков в области анального отверстия и легко распространяется половым путем или через физиологические жидкости. Это один из видов инфекций, что, попав однажды в организм, продолжает жить в нем всю жизнь.
Что такое герпес?
Такой вид герпевирусной инфекции проявляется в перианальной области. Симптомы болезни схожи с генитальным герпесом. В основном это высыпание, что зудит. Диагностика герпеса затруднительна из-за локализации в области частого трения. Заболевание часто рецидивирует.
Возбудитель
Патологию провоцирует вирус ВПГ-2. Вследствие инфицирования в прямой кишке или в зоне анального отверстия появляются пузырьки, что собраны в небольшие группки (до 10 прыщиков).
Когда происходит трение, прыщики лопаются, в месте их расположения появляются эрозии, что заживают около 14 дней, не оставляя шрама. Если в эрозию попала бактерия, может происходить рубцевание.
Герпес нередко появляется на фоне венерической болезни или ВИЧ-инфицирования.
Виды
Проктит – воспаление слизистой в прямой кишке.
Герпевирусная инфекция проявляется в таких формах:
- заражение (инфицирование здорового человека впервые, водянки локализуются в одном месте или появляется несколько небольших поражений);
- скрытая инфекция (латентное присутствие инфекции не может быть обнаружено в биологических материалах, при этом нервные ганглии сохраняют патологические микроорганизмы);
- рецидив (возобновление симптоматики заболевания более чем 6 раз за 12 месяцев).
Герпес располагается в одном месте, но протекает болезнь разными путями, что обусловливает классификацию на:
- герпетический проктит;
- перианальный герпес.
Перианальный герпес
Месторасположением болезни являются складки кожи возле ануса. Пузырчатые язвы появляются на кожных покровах (у женщин часто сдвигаются в сторону влагалища). Диагностика перианального герпеса не составляет труда, так как врач может дать заключение без анализов.
Герпетический проктит
Такой вид анального герпеса тяжело поддается диагностике, так как болячки появляются на слизистых оболочках в прямой кишке. Болезнь можно обнаружить только при помощи эндоскопа.
Симптомы
Симптомы заболевания не оставляют сомнений у врача для постановки окончательного диагноза. Часто проведение диагностики не нужно совсем, достаточно визуального осмотра. Симптомы анального герпеса:
- водянистые пузырьки вокруг заднего прохода;
- зуд в области анального отверстия;
- болезненная дефекация;
- усиление выделений из влагалища (у женщины);
- эрозирование зон локализации пузырьков через 3-5 суток;
- жжение в заднем проходе;
- кровь в кале.
Также больного могут беспокоить:
- нарушения сна;
- головные боли;
- повышение температуры тела;
- слабость;
- увеличение лимфатических узлов;
Если в организм попала герпевирусная инфекции, полностью ее устранить не получится, так как заболевание сразу становится хроническим. Если в работе иммунной системы происходит сбой, произойдет рецидив герпеса в анусе или возле него.
Причины
Чаще заражения происходит через нарушения гигиенических правил.
Герпес вокруг заднего прохода может передаваться такими путями:
- бытовым;
- половым;
- обменом жидкостью.
Чаще всего инфицирование происходит во время:
- полового акта;
- нарушения гигиенических правил во время использования предметов общего пользования;
- петтинга;
- родовой деятельности (у женщин).
Заразить заболеванием может не только тот человек, у которого есть внешние проявления в виде высыпаний, но также тот, у кого в организме есть «спящий» герпес.
Для того, чтоб произошло инфицирование, слизистая оболочка или кожа потенциального больного должны иметь дефекты. Необходим непосредственный контакт.
После заражения заболевание становится хроническим, поэтому рецидивирует при любой подходящей ситуации:
- слабости;
- вирусной инфекции;
- стрессе;
- несбалансированной диете;
- замерзании;
- острой стадии другой хронической болезни и т. д.
Методы диагностики
Обычно врач может поставить диагноз, основываясь только на визуальном осмотре и сборе анамнеза. Для подтверждения заболевания возле прямой кишки или в ней используются такие методы:
- серологическое исследование;
- электронное микроскопическое обследование;
- культуральный метод;
- анализ на иммунные ферменты;
- эндоскопическая диагностика;
- биопсия и морфологический анализ.
Лечение
Чтоб избавиться от анального герпеса, применяют комплексную терапию с противовирусными медикаментами. Это поможет быcтро устранить симптомы болезни и предупредит частые возобновления заболевания. Лечить болезнь нужно только после консультации с врачом. Больному назначаются такие медикаменты:
- нестероидные противовирусные средства;
- комплекс витаминов и минералов;
- иммуномодуляторы;
- антигистаминные препараты;
- диетическое питание.
Необходимо чаще бывать на свежем воздухе и вести здоровый образ жизни для укрепления иммунной системы.
Чтоб определиться с терапией заболевания, необходимо учесть симптомы болезни, уровень здоровья и защитных возможностей пациента, вероятность заражения других людей.
Больному рекомендуют отказаться от вредных привычек, чаще бывать на свежем воздухе и вести здоровый образ жизни для укрепления иммунной системы и предупреждения рецидивов заболевания.
Сегодня говорят о возможности лечить герпес при помощи рецептов народной медицины, но прежде чем лечиться таким способом, необходимо проконсультироваться со специалистом.
Таблетки, уколы
Такие препараты назначают в случае неэффективности местного лечения. Чаще всего в основе таких медикаментов заложены ацикловир, валацикловир, пенцикловир, фамцикловир.
«Ацикловир» является фармацевтическим средством первого поколения, он менее эффективен, чем его аналоги. Второе поколение препаратов представлено «Фамцикловиром».
Для лечения анального герпеса чаще всего применяют «Валацикловир», что представлен на фармацевтическом рынке в виде лекарства «Вальтрекс». Это дорогой препарат, но высокоэффективный.
Если таблетки не действуют, пациенту рекомендуют уколы.
Крема и мази
Местное лечение подходит для легкой формы болезни.
Распространенными средствами от герпеса в зоне анального отверстия являются крема и мази. Чаще всего в их основе лежит ацикловир.
Такие препараты можно встретить под названиями «Ацикловир», «Герпевир» и т. д.
Местное лечение подходит для легкой формы болезни, если заболевание находится в средней или тяжелой форме, скорей всего, такие медикаменты будут бессильны.
Препараты наносятся на кожу вокруг анального отверстия (у женщин также в сторону влагалища). Перед нанесением лекарства пораженную область нужно аккуратно очистить при помощи теплой воды и дать просохнуть.
Для предупреждения распространения болячек лучше мазать средство в резиновых перчатках или каким-то приспособлением, что предупредит контакт водянок с руками. Обычно болячки проходят за неделю.
Иммуномодулирующие препараты
Иммуномодулирующими называют лекарства, что влияют на иммунитет человека. К таким лекарствам можно отнести большое количество медикаментов, в том числе настойку эхинацеи.
Последнее время иммуномодуляторы назначаются реже, чем раньше, в основном только тем больным, у которых есть явные проблемы с иммунной системой (иммунодефицит). Пациентам без проблем с иммунной системой рекомендуют укреплять его обычными путями (здоровый образ жизни, полноценное питание, сон и т. д.)
Профилактика
Профилактические меры от анального герпеса:
- укрепление иммунитета;
- здоровый образ жизни;
- «здоровая» половая активность.
Характеристика анального герпеса: причины возникновения и лечение
Вирусы герпеса могут поражать разные участки кожных покровов и слизистой оболочки, не исключение и область анального отверстия. Появляется инфекция на половых органах в результате заражения половым или генитальным герпесом. Причиной является вирус 2, редко 1 типа герпеса.
Герпес ануса относится к заболеванию, которое передается половым путем. Чаще всего заражение происходит при анальном сексе. Также герпес способен проникнуть в организм во время использования общими предметами пользования, одежду, мать может передать инфекцию при рождении ребенка.
Характерные особенности вируса
Герпес в области анального прохода характеризуется проявлением аналогичных симптомов генитального. У больных появляются пузыри в округе ануса, сыпь, зуд. Возможны болевые ощущения, выделения крови. Диагностировать заболевание достаточно сложно. Причиной является быстрое разрушение пузырей, так как они находятся в зоне постоянного трения друг об друга.
Перианальный вирус вызывает 2 тип вируса. Пузыри располагаются в группы в среднем до 10 штук. Разрываясь, образовываются эрозии, имеющие красный цвет. Спустя 2 недели они покрываются коркой. Заживление происходит без рубцов. Возможны рецидивы. Если инфекция проявилась на эрозиях второй раз, может быть образование рубцов при заживлении ран.
При наличии у больного анального герпеса может привести к заражению венерическим заболеванием, ВИЧ-инфекцией.
Причины
Анальный вирус передается следующим образом:
- половой контакт;
- обмен жидкостями;
- бытовое поражение.
Источник заражения больной, имеющий видимую сыпь или скрытую форму заболевания, которые выявляются при осмотре. Вирус попадает в организм через незначительные повреждения кожных покровов или слизистой, при контакте, капельным способом.
Течение болезни
Для герпеса гениталий, как и для области ануса, прямой кишки характерны рецидивы. Моменты ремиссий могут сменяться новыми эпизодами. Их продолжительность зависит от разных факторов. Основным из них является иммунитет. Зачастую герпес может обостряться при сниженной иммунной системе организма, стрессовых ситуациях, переутомления, истощения организма больного.
В процессе заболевания возникает зуд заднего прохода, который способствует возникновению ссадин и трещин от расчесов. Кожные покровы становятся тонкими и склонными к повреждениям.
В основном зуд дает о себе знать в ночное время суток, вызывая бессонницу. Зуд ануса бывает острым, внезапным, развивается медленно. Долгое течение болезни приводит к образованию язв, возникают кровотечения. Далее, заболевание переходит в хроническую форму.
Первичное инфицирование
Герпес возникает после заражения человека, который ранее не болел герпесом. Клинические проявления на начальном этапе заражения считаются происшествием инфекции. Участок поражения может быть ограниченным или иметь большое количество очагов. Бывает носительство без симптомов.
Скрытый вирус
При скрытом носительстве клинические симптомы отсутствуют. Герпес невозможно определить в биологических образцах. При этом инфекция сохраняется на гениталиях.
Возобновление
Рецидив – проявление клинических симптомов анального герпеса повторно после ремиссии. Когда обострения повторяются более 6 раз на год, герпес становится рецидивирующим.
Признаки
Типичная форма заболевания представлена следующими симптомами:
Продромальное время
Через определенный промежуток времени у больного появляется дискомфорт на пораженной области кожи, слизистой – это зуд, боль, покалывание, жжение.
Образование сыпи
На участках кожи и слизистых возникают мелкие пузырьки. Расположение их может быть отельными или большими объединениями в группы. Длительность этого периода составляет 3-7 дней.
Спад
Происходит вскрытие пузырьков, затем они заживают и покрываются коричневыми корками. На участках кожи можно увидеть потемнения, исчезающие со временем. Продолжительность периода составляет до 14 дней. Далее, наступает выздоровление. Рубцы не остаются в том случае, если это первичное инфицирование бактериями.
К симптомам общей интоксикации организма относятся:
- увеличение температуры;
- частые головные боли;
- бессонница;
- общее недомогание;
- воспаление лимфоузлов.
Развитие герпетического проктита проявляется у больного сильной болью в анальном проходе, их мучают позывы в туалет и запоры, бывают выделения крови из прямой кишки.
Инфекция, поражающая мужчин
Герпес вокруг анального прохода встречается у мужчин гетеросексуалов и гомосексуалистов. У них поражение вирусом приходится на участок области ануса и прямую кишку. Заражение бывает вторичной (при попадании инфекции с гениталий) и первичной формы.
Перианальный вирус поражает кожу в области отверстия ануса. Эту инфекцию достаточно тяжело диагностировать, по причине быстрого разрушения пузырей из-за постоянного воспалительного процесса на коже и трения друг о друга. На фоне частых рецидивов больной ощущает зуд, образовываются болезненные красные пятна.
Пятна имеют плотную структуру, способны подниматься над поверхностью кожи. Обычно в области ануса можно найти пузыри, расположившиеся в группы по 5-10 штук. Затем везикулы лопаются, на их месте остаются эрозии, имеющие красное дно. Спустя 2 недели на их месте появляется корка, раны заживают без рубцов.
Во время рецидивов лимфоузлы не увеличиваются. Больные, имеющие СПИД или ВИЧ перианальный вирус, переносят тяжело и болезненно.
Когда происходит поражение стенок слизистой прямой кишки и сфинктер, ставят диагноз – проктит. Больной ощущает зуд, боль, жжение. Возникают трещины в виде эрозий в проблемном месте, из которых подтекает кровь и гной во время опорожнения кишечника.
Сыпь может сопровождаться сильными распирающими болевыми ощущениями, метеоризмом. Также увеличиваются лимфоузлы, повышается температура, появляется слабость в теле и головная боль. Вовремя не начав лечение, больному грозит импотенция, парестезия в крестцовой области.
Анальная инфекция малосимптомной формы характерна отсутствием симптомов и жалоб больного. Исследования анализов указывает на увеличение лейкоцитов в секрете простаты, идет процесс воспаления. Бессимптомное течение болезни – жалобы отсутствуют, заболевание не проявляется, отсутствует воспалительный процесс при исследованиях.
Преобладание инфекции у женщин
Герпес у женщин вокруг отверстия ануса очень опасен во время беременности. Вероятность заразить плод при первичном преобладании вируса составляет 50%.
Инфекция имеет негативные моменты, оказывающие на беременность:
- течение беременности нарушается;
- у плода возможна патология;
- патология у грудного ребенка.
Также заболевание способствует развитию болезней мочеполовой системы хронического характера.
Лечение инфекции
Назначаться лечение может после проведения диагностики. Для этого проводится опрос больного и его осмотр. Чтобы подтвердить наличие вируса герпеса необходимо пройти дополнительное обследование.
На сегодняшний день препарата убивающего вирус нет, при этом подозревая признаки на первоначальном этапе, требуется без замедления обратиться к врачу. Это даст возможность понизить интенсивность выраженных симптомов, на долгое время подавить вирус.
Лечение ануса проводится противовирусными препаратами – Ацикловир, Зовиракс, Фамвир, Арбидол.
Для снятия зуда назначают антигистаминные и противовоспалительные препараты. Если при вскрытии пузырей в них попала инфекция, назначают антибиотики. Также необходимо укреплять иммунитет. Следует:
- правильно питаться;
- отказаться от вредных привычек;
- избегать стрессовых ситуаций;
- гулять на свежем воздухе каждый день.
Каждый лекарственный препарат назначается в индивидуальном порядке, поэтому не стоит заниматься самолечением, а обратиться за помощью к специалисту.
Покраснение возле заднего прохода: возможные причины, осложнения, варианты лечения
Существует ряд деликатных проблем со здоровьем, при которых человеку сложно обратиться к специалисту. Покраснение ануса и раздражение кожи вокруг сфинктера не является редкостью.
Оно становится причиной изматывающей бессонницы, заставляет пациента замыкаться в личных отношениях и избегать общения. При этом может наблюдаться жжение или распирание, другие мучительные симптомы.
Если причина кроется в обострении геморроя, необходимо пролечить заболевание до появления других осложнений.
Возможные причины покраснения
При появлении в области заднего прохода красноты лучше обратиться к проктологу за консультацией. Симптом указывает на обострение такого специфического заболевания, как геморрой.
Эта проблема возникает при постоянной сидячей работе, когда человек длительное время находится в одной позе, мало двигается или имеет лишний вес. Кровь застаивается в зоне малого таза, переставая активно снабжать мышцы кислородом и полезными веществами.
Вены, пронизывающие прямую кишку и ректальный проход, начинают растягиваться и провисать, образуя боковые ответвления (карманы).
Накапливая кровь, они прямо влияют на появление отечности и жжения в промежности.
Покраснение вокруг заднего прохода нередко сопровождается острой болью и дискомфортом, не давая ходить в туалет «по-большому».
От правильного диагноза зависит дальнейшее лечение. Поэтому не следует заниматься самодиагностикой, а показать «интимную зону» врачу. К сожалению, раздражение и краснота возникают при целом ряде серьезных заболеваний. Они могут различаться симптоматикой:
- При грибковых воспалениях всегда присутствует сильный зуд. Кандидоз сопровождается белесым налетом на эпителии, творожистыми выделениями при дефекации.
- Если причина кроется в полипах или опухоли, пациент замечает затруднения с выделением каловых масс, возникают хронические запоры даже при правильном питании, присутствует тяжесть в ректальном проходе.
- Перианальный дерматит – заболевание, которое является следствием плохой гигиены. Это естественное раздражение кожи от попадающего кала. Может сопровождаться мелкими высыпаниями, а краснота выступает крупными пятнами. Кожа трескается и сильно зудит.
- Иногда покраснение ануса возникает из-за присутствия в кишечнике гельминтов. Проблема очень актуальна в любом возрасте, особенно, при употреблении не прожаренного мяса, сырой рыбы и экзотических блюд. Жжение усиливается к ночи, человек страдает от частых расстройств кишечника.
Кроме геморроя, характерный красный оттенок кожи вокруг ануса наблюдается у людей, которые имеют аллергическую реакцию на продукты или химические соединения.
Воспаление становится естественной реакцией на стиральный порошок, мыло с отдушками или туалетную бумагу с пропиткой. Проблема появляется при употреблении большого количества острых специй, соусов с перцем или чесноком.
Таким пациентам необходимо придерживаться специально разработанной диеты, чтобы дерматит не перерос в незаживающие язвы.
Многие люди совершенно не владеют информацией о причинах и последствиях этого неприятного заболевания, связывая его с болью при дефекации и кровянистыми выделениями.
На самом деле геморрой может долгие месяцы развиваться без очевидных симптомов. Человек живет без боли, лишь иногда испытывая легкий дискомфорт после опорожнения кишечника.
Если покраснел задний проход, проблему начинают искать в неправильном питании или гигиенической косметике, теряя драгоценное время для излечения.
Покраснение перианальной зоны появляется в таких случаях:
- геморроидальный узел сильно увеличился и притягивает лишнюю жидкость, вызывая отечность ректального прохода;
- в микротрещины на слизистой оболочке кишечника попала инфекция, началось воспаление;
- внутри нижней части прямой кишки возник гнойник или свищ.
Изменение оттенка кожи в промежности при обострении геморроя всегда требует срочной помощи и лечения. Тем более, если его сопровождают такие серьезные симптомы, как:
Проктологи не рекомендуют затягивать с лечением, если покраснел задний проход и человеку больно сидеть. Это может «говорить» о начале опасного парапроктита, который грозит сепсисом, тяжелым воспалением оболочки прямой кишки и заражением всех органов пищеварения.
Как лечить покраснение ануса при геморрое
Воспаление очень изматывает пациента и нарушает все привычные планы. Терапия должна быть комплексной и действовать сразу по нескольким направлениям, начиная с нормализации питания.
Правильная диета при любой стадии геморроя направлена на улучшение моторики кишечника и предотвращения запора.
При застое каловые массы уплотняются до состояния твердого камня, начинают давить на анус изнутри.
Улучшить естественную моторику помогают физические нагрузки. Если продолжать прежний «сидячий» образ жизни, лечение не даст нужного результата.
Достаточно вставать со стула или водительского кресла каждый час, посещать секции танцев или фитнеса 2–3 раза в неделю, чтобы запоры прекратились, и отеки не мешали легкому опорожнению.
Покраснение вокруг ануса лучше лечить, сочетая ректальные свечи и наружные мази. Первые растворяются глубоко в кишке и уменьшают воспаленные узлы. Вторые успокаивают кожу и заживляют микротрещины сфинктера, снимают зуд. Лучше всего убирают раздражение и обезболивают при жжении суппозитории:
- Анестезол;
- Релиф Ультра;
- Натальсид;
- Анузол.
Препарат следует сочетать с противовоспалительными мазями, которые должны содержать натуральные растительные и минеральные масла, глицерин, природные воски и витамины:
- Метилурациловой;
- Левомеколевой;
- Гепариновой;
- Троксевазиновой.
Для эффективности их следует применять не менее 7 дней. В геморроидальном узле постепенно восстанавливается кровообращение, они уменьшаются в диаметре. У больного исчезает боль при опорожнении, проходит зуд и краснота. Кожу вокруг ануса можно дополнительно смазывать облепиховым маслом, настойкой календулы или прополиса, соком алоэ или свежего картофеля.
Если все рекомендации и методики не помогают убрать шишки в промежности, избавиться от постоянно покраснения поможет только операция по удалению поврежденных сосудов.
Современные способы позволяют сделать это всего за один день, пережимая геморроидальный узел силиконовым кольцом, обработав его жидким азотом или ультразвуком.
После реабилитации человек быстро возвращается к работе, забыв о неприятном осложнении.




