
Во время беременности важное значение имеет своевременное обследование, от которого часто зависят здоровье матери и плода. Но какую диагностику можно делать будущим мамам, а какая категорически противопоказана? ЭКГ при беременности: что это такое? Не повредят ли плоду ЭКГ, или рентген на ранних или поздних сроках?Можно ли МРТ при беременности? Ответы на эти и другие вопросы вы получите, прочитав нашу статью.
Что такое ЭКГ, МРТ и рентген в период беременности?
Рентген, МРТ и ЭКГ назначаются в определенных ситуациях, в том числе во время ношения плода.
ЭКГ (электрокардиография) – процедура, во время которой регистрируются электрические поля, возникающие при работе сердца. Она помогает определить расположение сердца, ритм сердцебиения и зафиксировать их на пленке. С помощью ЭКГ определяют нарушение в работе органа: аритмию, различные блокады и отклонения. Диагностика проводится с помощью специальных электродов, которые прикрепляются к телу в области груди и фиксируют разницу потенциалов между двумя выбранными точками. Показанием к ЭКГ может служить головокружение, перепады, давления, боли в сердце. Некоторым женщинам не совсем понятно:что такое ЭКГ при беременности? Это процедура, которая ничем не отличается от обычного ЭКГ.
МРТ (магнитно-резонансная томография) – диагностика в основу, которой положены свойства электромагнитного поля при его взаимодействии с водородом. Поскольку наш организм состоит на 2\3 из воды, включающей в свой состав водород, его атомы меняются под воздействием поля, которое создает аппарат. Устройство как бы «фотографирует» те участки, которые необходимо исследовать. Данные обрабатываются с помощью компьютерной программы и выдаются доктору, который ставит диагноз.Беременность и МРТ иногда бывают несовместимы, но многое зависит от ситуации и срока.
Рентген – одна из наиболее информативных процедур исследования внутренних органов и костей с помощью рентгеновских лучей, во время которого происходит облучение. Процедура может отрицательно сказаться на здоровье человека, тем более беременной женщины. Но иногда он крайне необходим. Можно ли беременным делать рентген или нет, решает врач. Но в любом случае, важны меры предосторожности.
Врачи подчеркивают, что диагностика с использованием ЭКГ, МРТ и рентгена во время беременности требует особого внимания. ЭКГ считается безопасной, так как не использует ионизирующее излучение и не влияет на плод. МРТ также признана безопасной, особенно на втором триместре, однако рекомендуется избегать контрастных веществ, так как их влияние на беременность недостаточно изучено. Рентген, в свою очередь, может представлять риск из-за ионизирующего излучения, поэтому его применение должно быть строго обосновано и минимизировано. Врачи советуют перед проведением любых процедур обсудить возможные риски и подготовиться, следуя рекомендациям специалиста.

На каких сроках можно проводить МРТ, ЭКГ и рентген?
Разные процедуры проводятся в различные сроки. Многое зависит от состояния женщины и серьезности заболевания.
Читайте еще: Доплер УЗИ при беременности: что это такое
Когда делают ЭКГ при беременности?
Что касается ЭКг, то его делают всем беременным женщинам не менее двух раз во время вынашивания плода. Женщины проходят процедуру еще во время постановки на учет в поликлинике. Электрокардиограмму снимают для профилактики, и если есть показания к этому. Что это может быть?
- снижение внутрисердечной проводимости из-за изменений гормонального фона.
- тахикардия;
- небольшое смещение сердца.
Подобные отклонения наблюдаются у многих будущих мам, и прямой угрозы для здоровья женщины нет. Но есть ряд показаний, которые приводят к внеплановым процедурам: обмороки, чувство тяжести в области сердца, токсикоз и гестоз, пониженное и повышенное артериальное давление.
В таких ситуация лучше сразу пройти серьезное обследование со сдачей анализов и полной расшифровкой кардиограммы. Если выявлены серьезные нарушения, женщину направляют на лечение в стационар.
Давно доказано, что ЭКГ совершенно безвредна для матери и для малыша на любом сроке, зато польза очень высока.
При беременности вопросы о безопасности медицинских процедур, таких как ЭКГ, МРТ и рентген, волнуют многих женщин. ЭКГ считается безопасной, так как не использует ионизирующее излучение и не влияет на плод. МРТ также признана относительно безопасной, однако в первом триместре рекомендуется избегать этой процедуры без крайней необходимости. Рентген, напротив, может быть опасен из-за воздействия радиации, поэтому его назначают только в исключительных случаях, когда польза для матери превышает риски для плода. Перед проведением любых исследований важно проконсультироваться с врачом и обсудить возможные альтернативы. Подготовка может включать в себя отказ от пищи перед МРТ и соблюдение рекомендаций по одежде и личной гигиене.

Когда МРТ при беременности не вредно?
Как правило, в первом триместре магнитно-резонансная томография не проводится, так как ее воздействие на формирующийся плод еще не изучено. МРТ назначают только тогда, когда возникает угроза для жизни плода.
Начиная с четвертого месяца МРТ можно делать безбоязненно, так как плод уже сформировался, и процедура не сможет ему повредить. Поэтому, когда врач назначает процедуру после 12 недель, волноваться не о чем.
Женщинам в положении МРТ назначают обычно по нескольким причинам:
- если невозможно проведение других более агрессивных процедур;
- если во время УЗИ на позднем сроке положение ребенка плохо просматривается, что возможно в связи с избыточной массой тела женщины.
Как правило, беременные женщины направляются на МРТ, когда есть подозрения на новообразования и патологии в развитии ребенка. МРТ также может проводится при травмах, повреждениях позвоночника, сердечно-сосудистых заболеваниях, нарушениях в области центральной нервной системы. Когда пациентки испытывают сильные головные боли, им назначается МРТ головного мозга при беременности.
https://youtube.com/watch?v=7_7-M3V9EUQ%3Fenablejsapi%3D1%26autoplay%3D0%26cc_load_policy%3D1%26cc_lang_pref%3D%26iv_load_policy%3D3%26loop%3D0%26modestbranding%3D1%26rel%3D1%26fs%3D1%26playsinline%3D1%26autohide%3D1%26theme%3Ddark%26color%3Dred%26controls%3D1%26
Когда можно делать рентген при беременности?
В отличие от ЭКГ и МРТ рентген может отрицательно сказаться на здоровье беременной женщины и плода, так как организм подвергается облучению. Особенно опасна процедура для развивающегося плода. Может остановиться или нарушиться процесс деления клеток, что приводит:
- к нарушениям в области нервной системы;
- к генным мутациям;
- появлению злокачественных опухолей;
- самопроизвольному отторжению плода (доза выше 1м3в).
Но все перечисленные изменения происходят, как правило, в первые месяцы беременности, когда плод только формируется. После 16 недель риски значительно снижаются. Есть рентген, последствия которого могут быть опасными, а есть тот, который практически не скажется на здоровье плода.
К тяжелым последствиям может привести облучение во время рентгенографии в области позвоночника, таза и брюшной полости, так как это связано с расположением плода.
https://youtube.com/watch?v=Ba2dKbg7PBo%3Fenablejsapi%3D1%26autoplay%3D0%26cc_load_policy%3D1%26cc_lang_pref%3D%26iv_load_policy%3D3%26loop%3D0%26modestbranding%3D1%26rel%3D1%26fs%3D1%26playsinline%3D1%26autohide%3D1%26theme%3Ddark%26color%3Dred%26controls%3D1%26
Считается, что это рентген с большой степенью риска. При нем высока вероятность:
- выкидыша до двух недель беременности;
- патологии головного мозга после месяца беременности;
- на шестой неделе – есть угроза иммунной системе;
- на седьмой – изменения гормонального фона, патологии в области щитовидной железы и надпочечниках, порока сердца и болезнями печени;
- на восьмой – нарушений в области селезенки и пищеварительного тракта;
- на девятой – изменений в челюстях, бронхах и яичниках.
- на двенадцатой – появления лейкоза и неправильного формирования костного мозга.
Средняя степень риска возникает при рентгенографии грудной клетки, конечностей, и головы. Хотя области, где находится плод, лучи не касаются, облучение распространяется на довольно большую область организма.
Минимальный риск появляется, когда делают рентген зубов и носа.
При такой процедуре ребенок остается практически вне опасности.
Если возникнет вопрос: можно ли делать снимок зуба при беременности, ответ на него положительный. Можно, если это необходимо для сохранения здоровья матери. Доза облучения при этом составляет о,2 мЗв, а допустимая 1 мЗв.
Но все ж после рентгенографии рекомендуется пройти УЗИ, чтобы убедиться, что с малышом все в порядке.
https://youtube.com/watch?v=d1CdmrPSPWk%3Fenablejsapi%3D1%26autoplay%3D0%26cc_load_policy%3D1%26cc_lang_pref%3D%26iv_load_policy%3D3%26loop%3D0%26modestbranding%3D1%26rel%3D1%26fs%3D1%26playsinline%3D1%26autohide%3D1%26theme%3Ddark%26color%3Dred%26controls%3D1%26
Когда и кому ЭКГ, МРТ и рентген во время беременности делать нельзя?
Обследования во время беременности делать необходимо, так как от них зависит здоровье ребенка, а порой и его жизнь. Но учтите, что некоторые обследования могут быть опасны, особенно на первых 3-4 неделях беременности.
Читайте еще: 3D УЗИ при беременности – знакомство с малышом и максимум излучения
Можно ли делать ЭКГ беременным и существует ли опасность?
Самое «безобидное» обследование – ЭКГ. И хотя иногда женщины сомневаются, можно ли делать ЭКГ при беременности, бояться здесь нечего. Процедура не только безболезненна, но и безопасна.
Электрокардиография – это всего лишь регистрация идущего от сердца электрополя, которая не несет никаких изменений для организма, в том числе не вызывает даже изменений в молоке.
Если вас беспокоит вопрос, можно ли беременным делать ЭКГ, ответ на него однозначен: можно на любых сроках, чего не скажешь о МРТ и рентгене. Тем более о том как влияет на беременность рентген, мы уже говорили.
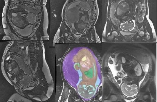
Опасно ли МРТ во время беременности?
Пока нет точных сведений о влиянии магнитных полей на начинающий развиваться организм.Поэтому возникает вопрос: можно ли делать МРТ при беременности на ранних сроках?
Магнитно-резонансную томографию до 4 месяцев обычно не делают, так как именно в этот период закладываются жизненно-важные органы плода. Он должен быть защищен от агрессивного воздействия окружающей среды, а установка продуцирует звук и избыточное тепло.
К тому же, ребенок еще слишком маленький и он слишком подвижен. Так что полученные снимки не дадут необходимой информации.
Но есть противопоказания, которые существуют и на более поздних сроках. МРТ нельзя проводить, когда:
- в теле человека есть металлические предметы: кардиостимулятор, импланты, коронки), даже татуировки с вкраплением металла;
- женщина очень боится находится в замкнутом пространстве;
- у будущей мамы наблюдается эпилепсия или психические расстройства;
- вес женщины превышает 200 кг (установка делает диагностику только людям с меньшим весом).
Будущим мамам также нежелательно делать МРТ с контрастированием во и избежание аллергии, которая может возникнуть на йодсодержащие растворы или сделанные на основе солей гадолиния.
Если учесть все опасные моменты, то во втором и третьем триместрах МРТ не угрожает здоровью малыша и мамы. К тому же, оно лучше рентгена.
Можно ли делать рентген при беременности, не опасаясь за плод?
Рентген связан с излучением, и поэтому опасен для плода практически на любой стадии беременности. Но существуют случаи, когда без подобного обследования возникнет угроза не только для плода, но и для матери. Когда обследуются беременных женщин, их экранируют свинцовыми фартуками и накладками.
Когда рентген приходится делать непосредственно через плод на ранних сроках, последствиями могут стать возникновения мутаций, самопроизвольного прерывания беременности. Врач может предложить сделать аборт, чтобы избежать их. Но, если женщина оставит плод высоки риски рождения больного ребенка.
Можно ли делать рентген зуба при беременности? Здесь риски минимальны, тем более, что женщин экранируют, накладывая по нескольку фартуков.
Как подготовится к обследованиям?
ЭКГ, МРТ и рентген не требуют долгой подготовки.
Во время подготовки к ЭКГ при беременности на ранних сроках и даже в последнем триместре женщине не следует есть за 2 часа до процедуры, или только слегка перекусить. Главное, расслабиться и не напрягаться. Беременным женщинам даже предлагается отдохнуть 10-15 мин, чтобы они чувствовали себя комфортно во время обследования
МРТ также не требует долгой специальных приготовлений, кроме того, что нужно освободиться от металлических вещей. Достаточно прийти в кабинет с направлением от врача. Сама процедура также не вызывает никакого дискомфорта, в какой области бы не производилось обследование на томографе
На рентген беременные женщины тоже могут направится без предварительной подготовки. Здесь только нужно подумать о защите плода во время процедуры, для чего существуют свинцовые фартуки и накладки. Если же речь идет о рентгене зуба во время беременности, то опасности практически не существует, особенно в последнем триместре, как и при рентгене носа.
Читайте еще: КТГ плода: расшифровка и нормы при беременности, перевод в баллы Фишера и их значение, отзывы
Как проходят МРТ, ЭКГ и рентген у беременных?
ЭКГ для беременных проходит точно также, как и для остальных пациентов. Единственное, что предлагает врач, немного расслабиться перед процедурой. Женщина ложится на кушетку, и ее кожу протирают спиртом. К запястьям пациентки и голени крепятся пластины из металла, а в область груди – электроды. На всякий случай, если вдруг аппарат выйдет из строя, прикрепляются электроды определенных цветов. К левой руке – желтого цвета, к правой – красного. К правой ноге – черного цвета, к левой – зеленого. Когда электрокардиограф включают, и он начинает работать, выходит лента с отображением двенадцати графика, отображающих электроимпульсные сердца. Вся процедура продолжается не более 20 минут.
Так как МРТ плода при беременности до 4 месяцев не делают, на процедуру приходят женщины, у которых уже виден живот. Но никаких проблем не будет. Томограф напоминает тоннель с выдвижной кушеткой. Пациент размещается на кушетке, и в зависимости от обследования помещается внутрь аппарата, или нет. Предварительно перед погружением в томограф нужно надеть одежду без пуговиц и снять все металлические предметы.
Важно сохранять неподвижность на протяжении всей процедуры, то есть 20-30 минут.
После того, как обследование закончится, идет сигнал и аппарат отключается.
Почему-то часто страх у женщин возникает, когда их направляют наМРТ головного мозга при беременности. Но это не страшно, так как обследование вообще не касается плода. Пациент просто ложится на кушетку, а вокруг обследуемой области – головы – устанавливаются датчики. Вот почему можно ли делать беременным МРТ головы, не опасаясь за плод.
Рентген работает по следующему принципу. Электрическая энергия преображается в рентген-лучи, проходящие через тело человека. Рентген зуба при беременности делают, когда пациент сидит или стоит, направляя аппарат на необходимый участок. При рентгене таза или позвоночника необходимо будет лечь. Для беременных важно сделать защиту свинцовыми фартуками.
ЭКГ, МРТ и рентген при беременности: расшифровка результатов
Расшифровка ЭКГ
Если говорить об ЭКГ, то его нормы у беременных отличаются от обычных. Так у женщин в положении частота ударов в минуту от 60 до 90. Если она ниже, то скорее всего, у пациентки – брадикардия. Выше нормы – тахикардия.
У будущих матерей из-за смещения сердца его электрическая ось (ЭОС) отклоняется и может не совпадать с анатомической. Норма ЭОС – 30-70 градусов. Кроме того, во время беременности появляются отклонения в образовании импульса (он образуется не в синусовом узле, как у остальных людей). Если он появляется, например, в предсердии, это свидетельствует о наличии проблем. Результаты обследования отражаются на ленте в виде зубцов, и врач делает выводы, исходя из их размера и расположения.
Расшифровка МРТ
Поскольку вы уже знаете, можно ли делать МРТ при беременности, и что опасности на поздних сроках точно нет, важно понять, что часто именно эта процедура может дать полное представление о заболевании. Расшифровка не потребуется, так как все отражается на снимке, и врач быстро понимает в чем проблема.
Рентген-снимки
Рентген тоже предполагает снимок, на котором хорошо видны поврежденные участки. Например, можно хорошо разглядеть переломы, вывихи, болезни легких. Именно они служат основной причиной проведения рентгена при беременности. Снимок рассматривает не только врач, но и может увидеть сам пациент и даже понять какие у него проблемы.
Причины и последствия отклонений от нормы при обследовании.
Что может обнаружить ЭКГ?
Отклонения от нормы в работе сердца возникают по причине
- гормональных колебаний;
- стрессов;
- обострений сердечных болезней.
В таком случае женщина направляется к кардиологу, который назначит лечение. Если этого не сделать, будет угроза здоровью матери и плода. При недостаточном притоке крови, например, может возникнуть гипоксия у плода.
Возможности магнитно-резонансной томографии
Если МРТ при беременности на ранних сроках лучше избегать, на поздние результаты будут хорошо видны, как у плода, так и у матери. Поэтому важно вовремя провести обследование, когда:
- есть вероятность возникновения патологий у ребенка;
- подозрение на злокачественные опухоли у матери;
- нарушена работа ЦНС;
- есть травмы;
- заболевания сердца;
- неправильно работает ЖКТ.
Возможно, что только МРТ-обследования, которые не опасны на поздних сроках может выявить аномалии и предотвратить серьезные заболевания или рождение больного ребенка.
Рентген во время беременности: что может показать?
Поскольку рентген при беременности на ранних сроках противопоказан, а на поздних нежелателен, прибегать к нему можно только в крайних случаях, но рентген зуба при беременности (2 триместр) не опасен для плода, как и на более поздних сроках.
Здесь задача вылечить и сохранить зубы, которые могут разрушаться в период ношения ребенка. Снимок зуба при беременности даст возможность дантисту рассмотреть проблему и вылечить или удалить больной зуб.
Читайте еще: Вопросы гинекологу во время беременности: список-памятка
Отзывы об ЭКГ, МРТ и рентгене при беременности
Екатерина Самарцева об ЭКГ
https://www.babyblog.ru/theme/plohoe-ekg-pri-beremennosti
При плохой ЭКГ назначили допегит и отправили на консультации к генетику и на УЗИ сердца. Врач сразу сказала, что нужно сразу решать: сохранять малыша или нет, так как высока вероятность рождения больного ребенка. Старший ребенок тоже инвалид.
Ирина об МРТ
https://www.baby.ru/blogs/post/385574521-237168372/
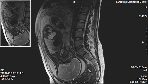
На 17 неделе делали МРТ брюшной полости. Сначала боялась, но боли стали такими, что на все стало наплевать. Уже не думала, МРТ при беременности можно или нет. Процедуру проходила в Европейском диагностическом центре в течение 15 минут и поставили диагноз: острый панкреатит. Осложнений для ребенка никаких. Сейчас ему полмесяца и все хорошо
Анна
Делала МРТ на 20 неделе. Там нет никакого излучения, хотя многие думают, что есть. Там просто магнитное поле. Это не КТ, где идет облучение. Гинеколог и невролог одобрили процедуру.
Можно ли беременным делать снимок зуба?
Ирина
https://www.babyblog.ru/community/happypregn/post/3193753
Зуб разболелся в 36 недель Его вскрыли, но сказали, что лечение невозможно без рентгена, а рентген делать опасно. Стала солью полоскать и боль стихла. Сейчас родила, и теперь пойду лечить зуб. Побоялась делать снимок зуба во время беременности.
Светлана
Делали ли рентген зуба при беременности? Делала рентген в целях диагностики. Живот закрыли тремя фартуками и сделали не очень интенсивный фон облучения. Надеюсь, что все обойдется.
Заключение
Врачи не будут направлять беременных женщин на процедуры, которые им противопоказаны. Делать ЭКГ при беременности просто необходимо. Чтобы заранее позаботиться о здоровье плода, иногда приходится проходить МРТ, которое не опасно на поздних сроках. Можно ли при беременности делать снимок зуба? Если женщину экранировать, то риск минимален. Следует с большим доверием относится к рекомендациям врачей.
Можно при беременности делать снимок зуба? (видео)
https://youtube.com/watch?v=z_559NE8Fio%3Fenablejsapi%3D1%26autoplay%3D0%26cc_load_policy%3D1%26cc_lang_pref%3D%26iv_load_policy%3D3%26loop%3D0%26modestbranding%3D1%26rel%3D1%26fs%3D1%26playsinline%3D1%26autohide%3D1%26theme%3Ddark%26color%3Dred%26controls%3D1%26
Вопрос-ответ
Как влияет МРТ на плод?
Доказанного вредного влияния МРТ для беременных не выявлено. Поэтому этот метод исследования может назначаться беременным, если для этого есть показания. Единственными значимыми ограничениями являются первый триместр беременности, а также введение контрастирующих веществ.
Как влияет рентген на плод?
Рентгеновское излучение может вызвать разные нарушения в развитии иммунной, эндокринной системы, обмене веществ, привести к повреждениям внутренних органов, пороку сердца и иным патологическим изменениям. Помимо этого, если выполнить рентген в первые 2 недели беременности, то возможна гибель плода и выкидыш.
Как подготовиться к ЭКГ беременной?
За 20-30 минут до процедуры отдохните и по возможности просто посидите. За 1, 5- 2 часа до обследования поешьте. Проводить диагностику натощак не рекомендуется. В день обследования старайтесь избегать значительных физических и эмоциональных нагрузок.
Что будет, если сделала рентген, не зная о беременности?
Бывает, что женщина сделала рентген, не зная, что она беременна. В таком случае необходимо проконсультироваться с врачом, который сможет предоставить квалифицированную консультацию по дальнейшим действия женщины и рассказать ей о возможных последствиях.
Советы
СОВЕТ №1
Перед проведением любых медицинских исследований, таких как ЭКГ, МРТ или рентген, обязательно проконсультируйтесь с вашим врачом. Он поможет оценить необходимость процедуры и возможные риски для плода.
СОВЕТ №2
Если вам назначено МРТ, уточните у врача, есть ли необходимость использовать контрастные вещества, так как некоторые из них могут быть противопоказаны во время беременности. В большинстве случаев МРТ без контраста считается безопасным.
СОВЕТ №3
При необходимости рентгенографии, обязательно сообщите врачу о вашей беременности. В некоторых случаях можно использовать защитные свинцовые фартуки для снижения радиационного воздействия на живот.
СОВЕТ №4
Подготовьтесь к процедуре заранее: уточните, нужно ли вам соблюдать какие-либо специальные рекомендации, такие как голодание перед МРТ или необходимость убрать металлические предметы перед рентгеном.






