
Магнитно-резонансная томография, или МРТ, – одно из самых информативных диагностических мероприятий. С его помощью можно объективно оценить состояние всех органов и выявить их патологии на ранней стадии развития. Одной из разновидностей процедуры является МРТ почек. Выясним, в каких случаях её назначают, нужно ли к ней готовиться и что она может показать.
Что такое МРТ почек, сравнение процедуры с КТ
МРТ, или магнитно-резонансная томография, почек — это метод исследования, результатом которого является трёхмерное изображение органов с возможностью его послойного изучения в различных плоскостях. Он основан на способности ядер атомов откликаться на излучаемые аппаратом электромагнитные волны в условиях магнитного поля высокой напряжённости.
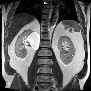
На снимках, полученных с помощью МРТ, отчётливо просматривается структура почек
Этот метод диагностики отличается от КТ (компьютерной томографии) тем, что на пациента воздействуют волны другой природы: не рентгеновские, а электромагнитные. Преимуществами МРТ перед КТ являются:
- безопасность (отсутствует рентгеновское излучение);
- короткий перечень противопоказаний (МРТ безвредна, а потому её можно делать почти всем пациентам);
- получение более качественного изображения мягких тканей органов.
Что касается информативности МРТ и КТ, то нельзя выделить наиболее точный метод: каждый из них эффективен при диагностике конкретного перечня патологий. Так, магнитно-резонансная томография лучше визуализирует очаги воспаления и новообразования, но с её помощью невозможно определить тип камней при мочекаменной болезни. Зато с этим отлично справляется компьютерная томография, которая обычно назначается для изучения более плотных тканей (конкрементов, костей).
Невозможность определения типа конкрементов — не единственный минус МРТ. Эта процедура окажется неэффективной, если у пациента в исследуемой зоне есть ферромагнитные устройства, которые искажают получаемое изображение. В таком случае некоторые патологии могут остаться незамеченными.
МРТ почек является важным диагностическим инструментом, который позволяет врачам получить детальное изображение органов и выявить различные патологии, такие как опухоли, кисты или воспалительные процессы. Специалисты отмечают, что данное исследование неинвазивно и не требует применения рентгеновского излучения, что делает его безопасным для пациентов. Однако для получения качественных изображений необходима правильная подготовка. Врачи рекомендуют за несколько дней до процедуры избегать продуктов, вызывающих газообразование, а также соблюдать режим питья. В день исследования желательно прийти на МРТ натощак, чтобы минимизировать риск артефактов на снимках. Кроме того, важно сообщить врачу о наличии металлических имплантов или других противопоказаний, чтобы избежать осложнений. Правильная подготовка поможет достичь максимальной информативности исследования и обеспечить точность диагностики.

Разновидности МРТ почек
Врач может назначить одну из двух разновидностей МРТ почек:
- без контрастирования;
- с контрастированием.
Контрастированием называют процедуру введения в организм контрастного вещества (при исследовании почек оно вводится в вену). Распространяясь по органам вместе с кровью, оно «подсвечивает» их ткани, позволяя получить снимки более высокого качества. Особенно хорошо на них отображаются различные новообразования. Поэтому специалист сможет не только определить структуру и тип опухоли, но и вычислить её размеры с точностью до 1 мм, а также установить наличие или отсутствие метастазов.
Для проведения МРТ почек с контрастированием пациенту вводят контрастные препараты на основе гадолиния — металла, активно откликающегося на высокочастотное излучение в условиях сильного магнитного поля
Показания и противопоказания к обследованию
МРТ почек назначают для уточнения диагноза в случаях, когда другие методы диагностики (УЗИ, рентгенография или КТ) оказались малоинформативными или пациент имеет противопоказания для их проведения. Показаниями к процедуре являются:
- боли в пояснице при отсутствии поясничного остеохондроза;
- мочекаменная болезнь (только для определения локализации конкрементов);
- стеноз (сужение) сосудов и ишемия (недостаточное кровоснабжение) почек;
- сужение мочеточников;
- подозрение на опухоли и/или кисты в почках или надпочечниках;
- врождённые аномалии почек;
- изучение индивидуального строения органов в рамках подготовки к проведению операции на них;
- контроль эффективности проводимого лечения.
Абсолютными противопоказаниями к проведению МРТ почек являются:
- наличие кардиостимулятора (из-за возможности его выхода из строя под воздействием магнитного поля);
- масса тела более 130 кг (этот показатель может меняться в зависимости от используемой модели томографа);
- повышенная чувствительность к контрастному веществу, беременность и лактационный период (только для МРТ с контрастированием).
МРТ не влияет на развитие плода, поэтому беременные женщины тоже могут проходить это обследование
Относительными противопоказаниями являются:
- клаустрофобия;
- беременность в I триместре;
- патологии, при которых пациент может совершать непроизвольные движения или испытывать судороги (тремор, эпилепсия);
- наличие металлических имплантатов, сосудистых стентов и клипс, а также прочих устройств, выполненных из металла.
Относительными эти противопоказания называются потому, что в отдельных случаях их можно игнорировать. Так, женщина, находящаяся на ранних сроках беременности, может пройти МРТ, если от этого зависит её жизнь. А во избежание развития приступа клаустрофобии или судорог исследование можно проводить под седацией. Проведение процедуры также возможно при наличии металлических протезов и прочих устройств, если врач сочтёт, что они никак не скажутся на качестве получаемых снимков.
При клаустрофобии или других патологиях, при которых пациент не может сохранять неподвижное состояние, возможно проведение МРТ под наркозом или седацией
Магнитно-резонансная томография безопасна для плода, так как до настоящего времени не сообщалось о негативном воздействии электромагнитных волн на его развитие. Но в силу недостаточной изученности возможного влияния женщинам в I триместре беременности проходить МРТ почек нежелательно.
Магнитно-резонансная томография (МРТ) почек — это высокоинформативный метод диагностики, который позволяет получить детальные изображения органов и тканей. Пациенты отмечают, что процедура безболезненная и не требует инвазивных вмешательств. МРТ помогает выявить различные патологии, такие как опухоли, кисты, воспалительные процессы и камни в почках.
Для получения точных результатов важно правильно подготовиться к исследованию. Рекомендуется избегать пищи за 4-6 часов до процедуры, чтобы минимизировать газообразование в кишечнике, которое может затруднить диагностику. Также стоит сообщить врачу о наличии металлических имплантов или аллергии на контрастные вещества, если они будут использоваться. В целом, МРТ почек — это безопасный и эффективный способ оценки состояния здоровья, который помогает врачам в постановке точного диагноза.

Подготовка к проведению МРТ почек
Качество снимков снижают:
- газы в кишечнике;
- спазмы сосудов и гладкой мускулатуры органов;
- наполненность ЖКТ.
Чтобы уменьшить влияние этих факторов, пациент должен подготовиться. В подготовку входят:
- отказ за сутки до процедуры от продуктов, вызывающих повышенное газообразование (капусты, гороха, молочных продуктов, яиц);
- полный отказ от еды за 2 часа до проведения МРТ почек;
- приём за 2 часа до исследования Но-шпы или Дротаверина (2 таблетки) для уменьшения сократительной активности кишечника;
- приём за 2 часа до процедуры препаратов на основе симетикона, если пациента беспокоит повышенное газообразование (например, можно принять 2 капсулы Эспумизана).
Чтобы уменьшить газообразование, за сутки до проведения МРТ почек из рациона нужно исключить продукты с грубой клетчаткой
Если запланировано проведение МРТ почек с контрастированием или под седацией, то прийти на неё нужно натощак. Для этого нужно за 6 часов до исследования полностью отказаться от еды, напитков и даже простой воды. Эта мера предосторожности необходима для предотвращения рвоты.
На процедуру рекомендуется приходить в одежде без металлических предметов. Заранее нужно будет снять часы, церковный крестик и украшения: они могут повлиять на результаты. Если у вас есть металлосодержащие зубные протезы или прочие элементы, об этом нужно заранее сообщить специалисту. Не забудьте взять с собой результаты прошлых исследований, направление и прочие документы, которые может попросить врач.
Перед проведением МРТ нужно снять все украшения, чтобы исключить их влияние на достоверность результатов диагностики
Проведение исследования
Порядок проведения МРТ почек:
- Пациент снимает с себя часы, украшения и одежду, на которой есть металлические вставки. Возможно, медицинский работник предложит надеть больничную сорочку или халат.
- Обследуемый надевает наушники и ложится на стол томографа. При необходимости ему вводят контрастное вещество и/или седативный препарат.
- Стол задвигается в тоннель, специалист выбирает режим исследования, и аппарат начинает сканирование. Во время него нельзя двигаться, дышать нужно ровно. Если врач делает просьбы (через наушники), их нужно выполнять.
- После окончания сканирования стол выдвигается, обследуемый может встать и вновь переодеться.
- Если процедура проводилась под седацией или наркозом, пациент должен остаться для нахождения под врачебным контролем в течение нескольких часов.
Исследование почек занимает от 10 до 30 минут. На проведение МРТ с контрастированием может потребоваться больше времени (до 40–60 минут).
Пациент может явиться на магнитно-резонансную томографию с близким человеком, который будет его поддерживать во время процедуры. Особо ощутимой будет поддержка, проводимая с помощью аппарата МРТ открытого типа.
При проведении МРТ почек у детей родители могут остаться с ребёнком, чтобы поддержать его, потому что ему страшно

Показатели и результаты обследования у взрослых и детей
Проверяемые во время МРТ почек показатели:
- форма (в норме бобовидная);
- расположение (в норме почки прилегают к задней части брюшины на уровне 11-го (12-го) грудного и 1-го (2-го) поясничного позвонков, причём правый орган из-за соседства с печенью располагается чуть ниже);
- контуры (должны быть ровные и хорошо визуализируемые);
- кортико-медуллярная дифференцировка (чёткая граница между корковым и мозговым слоями органов);
- размер почечных лоханок (в норме они не должны быть расширенными);
- развитость и толщина почечных ножек (должны быть хорошо развитыми, но не расширенными);
- особенности структуры пространства вокруг почек (в норме их не должно быть);
- наличие/отсутствие жидкости в забрюшинном пространстве (в норме её быть не должно);
- состояние лимфоузлов, расположенных за брюшиной (они не должны быть увеличенными);
- размеры почек (норма этого показателя зависит от роста и возраста пациента).
Размеры почек у детей и взрослых в зависимости от возраста и роста (Л — левая почка, П — правая)
Результаты обследования могут также включать дополнительную информацию. Так, во время МРТ почек могут быть выявлены:
- кисты;
- камни (без уточнения их состава);
- новообразования (доброкачественные или злокачественные);
- патологии сосудов (аневризмы, сужения или расширения).
Результаты обследования обычно подготавливаются в течение 2–3 часов после его окончания. Они могут быть либо переданы в руки пациента, либо отправлены лечащему врачу.
Возможный вред и побочные эффекты
МРТ — безопасная процедура. Нежелательные реакции у пациента могут наблюдаться только после проведения исследования с контрастированием. Они развиваются на фоне введения в кровоток контрастного вещества. К возможным побочным действиям относятся:
- головокружение;
- ощущение тепла в теле;
- чихание;
- гиперемия (покраснение кожи);
- кожные проявления аллергии (сыпь, зуд);
- одышка.
Бабушка моего супруга перенесла инсульт, и её направили на МРТ головного мозга. Но она очень испугалась этой процедуры, так как у неё были несъёмные мостовидные протезы с содержанием металла, о чём непременно сообщила специалисту. Однако доктор сказал, что в этом нет ничего страшного. Оказывается, магнитно-резонансную томографию нельзя проводить только при наличии ферромагнитных конструкций, которые имеют свойство притягиваться к магнитам. Но в современной стоматологии такие материалы для протезирования не используют. Даже имплантаты изготавливают из титана, который не проявляет особой чувствительности к магнитному полю. Врач также сообщил, что слухи о раскаляющихся и вырывающихся изо рта во время МРТ металлических коронках и прочих конструкциях — не более чем миф.
Видео: что такое МРТ и как его проводят
МРТ почек — информативная диагностическая процедура, отображающая реальное состояние этих органов. С её помощью выявляют не только очаги воспаления, но и новообразования начальной стадии, когда их размер не превышает 1 мм в диаметре. Ранняя диагностика патологий позволяет подобрать верную тактику лечения и повышает его эффективность, что способствует минимизации рисков развития осложнений.
Вопрос-ответ
Что нужно делать перед МРТ почек?
Как подготовиться к процедуре Желательно за 2-3 дня исключить из рациона газообразующие продукты (бобовые, черный хлеб, газированные напитки, фрукты, овощи). За 2-3 часа до исследования стоит воздержаться от пищи. Во время МРТ нужно быть готовым некоторое время неподвижно лежать, чтобы получить достоверные результаты.
Сколько по времени длится МРТ почек?
Сколько по времени длится МРТ почек? Если речь идет о магнитно-резонансной томографии без контраста, то процедура занимает не более часа. Затем нужно будет подождать расшифровку исследования 1-2 часа.
Что может показать МРТ почек?
Воспалительные процессы, вид опухолей, дефекты кровеносных сосудов, расширение почечных лоханок, инфаркт ткани, кровоизлияние, поражение почечных тканей.
Как вводят контраст при МРТ почек?
Контрастные соединения вводятся внутривенно и внутривенно капельно. В первом случае их вводят непосредственно перед процедурой МРТ. Во втором случае вещество вводится через капельницу во время проведения процедуры томографии. Дозы вещества для введения пациентам рассчитываются в соответствии с их весом.
Советы
СОВЕТ №1
Перед проведением МРТ почек обязательно проконсультируйтесь с врачом. Он поможет вам понять, какие именно показания есть для исследования и какие результаты можно ожидать.
СОВЕТ №2
Подготовьтесь к исследованию заранее: за 4-6 часов до процедуры постарайтесь не есть и не пить, чтобы избежать неприятных ощущений во время сканирования.
СОВЕТ №3
Сообщите врачу о наличии металлических имплантов, кардиостимуляторов или других медицинских устройств, так как они могут повлиять на результаты МРТ или вызвать опасность во время процедуры.
СОВЕТ №4
Если у вас есть клаустрофобия или страх перед замкнутыми пространствами, обсудите это с врачом. Возможно, вам предложат альтернативные методы исследования или успокаивающие средства.







