Липома — патологический процесс, который заключается в разрастании жировой ткани. Это доброкачественное образование с жизнеспособными клетками.
Легочная липома не отличается от других формирований в соединительной, мышечной или жировой ткани. Это уплотнение округлой формы и с четкими границами.
Мужчины и женщины находятся в одинаковой группе риска. Диагностировать патологический процесс можно у пациентов в возрасте старше 32 лет. Особенно подвержены заболеванию больные с лишним весом и с диагнозом сахарный диабет. Липомы разрастаются быстро. Происходит потому, что дифференциальные клетки жировой ткани активно делятся.
Липома абдоминальной формы
Как и другие липомы, абдоминальная формируется из жировых клеток. Такая форма образования обладает собственными характеристиками, например:
- по структуре липомное образование напоминает на здоровые клетки, но с большим размером;
- отсутствует процесс метастазирования;
- такие формирования не распространяются на рядом находящиеся ткани;
- не повреждают легочную ткань и не провоцируют патологический процесс.
Липома имеет настолько плотную структуру, что со временем вокруг нее происходит образование капсулы. По месту разрушительного процесса жировики могут быть периферическими, центральными и смешанными.
Классификация
Классификация липомных формирований делится на несколько категорий.
Гистологическое строение новообразования делит его на:
- узловатое. Такой вид липомы диагностируется достаточно часто. Это узелок, имеющий различные объемы долек. Между собой они соединяются в одно уплотнение;
- диффузное. В формировании участвуют жировые клетки, не имеющие собственной оболочки. Они активно разрастаются в тканевых промежутках. Такой процесс заканчивается системной патологией жировой ткани.
Существует еще классификация липомных формирований, которая разделяет новообразование на:
- классическое — формирование происходит полностью из жировой ткани;
- фибролипому — разрастается жировая и соединительная ткань;
- миолипому — разрастается жировая и мышечная ткань;
- ангиолипому — разрастание жировой ткани, захватывающее большое количество сосудов кровеносной системы;
- миксолипому — разрастание жировой ткани и слизистой;
- миелолипому — разрастание жировой ткани, захватывающее определенные участки костного мозга;
- гиберному.
Для эффективного лечения, врачи распределяют липомные новообразования по-другому. Разделение осуществляется местом локализации. Липомное формирование может быть:
- подкожное — место локализации подкожно — жировая клетчатка;
- забрюшинное — локализуется в области живота в жировых отложениях;
- внутреннее — область внутренних органов, которые окружены жировой прослойкой;
- межмышечное — место локализации — мышечные волокна.
Причины появления липомы в легких
Фактор патологического роста подобных жировых клеток — наследственная предрасположенность организма или его генетический сбой.
Также специалисты отмечают некоторые факторы риска, которые предполагают развитие липомы легкого: табачный дым; отравляющие химикаты; вирусное поражение организма; облучение ультрафиолетом.
Предрасположенность к образованию жировиков появляется у людей со слабым иммунитетом вследствие заболеваний бронхов и легких. К данной группе заболеваний относят хронический бронхит, бронхиальную астму, туберкулез легких и различные пневмонии.
Итак, основным фактором, влияющим на патологическую трансформацию клеток, а также провоцирующим рост доброкачественного новообразования, выделяют генетику, а именно, плохую наследственность.
Существует ряд причин, которые пульмонологи относят в группу:
- Развитие опухоли происходит вследствие вирусной атаки организма;
- Липома может возникнуть после отравления химикатами, которые воздействуют на ткани легких;
- Причиной может быть курение;
- Избыточное ультрафиолетовое облучение;
- Проживание в тех местах, где вода и почва загрязнены тяжелыми металлами.
Липомы растут медленно, они могут прорастать вглубь бронхов или разрастаться периферически по поверхности легкого. Перерождений в злокачественные опухоли и образований метастазов в тканях легкого у рассматриваемого вида липом не выявлено. Жировики имеют круглую форму, плотную и эластичную, четко выделяется ядро — капсула желтоватого оттенка.
При микроскопическом обследовании состав опухоли определяют скоплением жировых клеток, которые разделены соединительными перегородками, разделяющие участки жировой ткани. В разрезе липомы имеют дольчатое строение.
При влиянии на организм выделяется три стадии развития:
- бессимптомная стадия;
- стадия первых проявлений заболевания;
- стадия ярко выраженных осложнений и симптоматики.
Особенности структуры липомы
У ткани легочной паренхимы присутствует защитный барьер, которые не допускает жировым образованиям прорастать внутри них.
Если липомное формирование находится достаточно глубоко, то диагностировать его практически невозможно. В таком случае, развитие протекает без ярко выраженных проявлений.
Такая форма липомного формирования чаще формируется у представителей мужского пола, которые курят.
Образование легко проникает бронхиальную полость и начинает там активно прогрессировать. В свою очередь экссудативного оттока. Может перекрыться легочная вентиляция.
Жировое уплотнение в легочных тканях округлой формы с дольчатой структурой. Оно эластичное и покрыто ложным колпаком. Имеет грязно-желтый цвет.
При проведении микроскопического исследования специалисты обнаруживают в структуре липомы полноценный жировые клетки.
Симптоматика липомы легкого
Главную роль при проявлении патологии в тканях легкого играет размер, а также направление распространенности липомы.
При образовании жировика на периферии особый вред организму не доставляется, симптомы могут появиться только при быстром и большом распространении опухоли. Образование не способно оказывать влияние на окружающие ткани, и повреждать их, потому как из клеток здоровой ткани легкого вокруг липомы постепенно формируется псевдокапсула.
Если опухоль распространяется на большой поверхности, то существует риск роста новообразования в область диафрагмы. Такой момент вызывает появление одышки, а также ощущение стеснения за грудиной.
Большие размеры липомы сдавливают и механически поражают ткани легкого. Это может привести к развитию воспалительных процессов бронхов, которые сопровождаются повышенной температурой тела. При отсутствии лечения развиваются серьезные осложнения: появление ателектазы (спадения доли легкого) и кровотечение из бронхов. Это приводит к опасным последствиям для всего организма.
Диагностика и лечение
Липомное формирование диагностируется при помощи:
- рентгенографического исследования;
- рентгена флюорографии;
- компьютерной томографии;
- трахеобронхоскопии;
- иссечения участка формирования для лабораторного исследования;
- рентгеноконтрастного исследования легочных артерий.
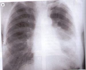
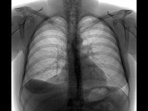
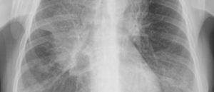
На снимках липома похожа на округлое небольшое пятно, имеющее четкие границы.
Если липома не достигла больших размеров, не создает дискомфортных и эстетических проблем, а также не проявляется какой-либо опасной симптоматикой, то удалять или лечить новообразование не обязательно.
При возникновении угрозы для здоровья, лечение заключается в ликвидации самой липомы, для этого используют несколько методов:
- Хирургический. Данный метод применяют при немедленном хирургическом вмешательстве. К примеру, если появилось кровотечение или возникло перекрытие бронха. При оперативном иссечении удаляют также псевдокапсулу из здоровых тканей легкого, окружающую опухоль;
- Метод липосакции. Используют для ликвидации поверхностных липом. Недостатками данного метода считают применение лишь для липом маленьких размеров и невозможность иссечения псевдокапсулы;
- Лазерный метод. Прижигание новообразования лазером с каждым днем пользуется все большей популярностью. Данный метод для удаления липомы с помощью лазера не имеет никаких побочных эффектов.
При лечении липомы в качестве вспомогательного инструмента можно использовать применение различных методик и средств народной медицины. Подобная терапия считается вспомогательной, потому как народные средства не смогут устранить липому в легких в полном размере.
Липома легкого — 3 серьёзных последствия, лечение и диагностика
Жировик, или жировая опухоль, доброкачественное образование из соединительной и жировой ткани, формируется в легких достаточно редко.
Липома легкого состоит из такой структуры, которая не отличается от уплотнений на других участках тела, она имеет округлый диаметр с четкими гладкими, иногда волнистыми краями.
Липоматоз бывает одиночный и множественный, ткань уплотнения вполне жизнеспособна.
Описание опухоли
Жировик разрастается чаще у молодых людей от 30 до 38 лет. В группу риска входят люди, имеющие сахарный диабет и избыточный вес тела. Клетки образования растут быстро, рост происходит за счёт деления жировых клеток.
Отличительные признаки:
- Жировая материя липомы имеет аналогичную структуру здоровым клеткам, но с увеличенным размером;
- В ближайшие ткани прорастают редко, не образуют метастаз;
- Легочную материю не повреждают, но порой являются причиной ущемления.
Образование имеет плотную консистенцию, со временем ткани атрофируются вокруг опухоли, образуется псевдокапсула из соединительнотканных волокон, то есть организм так изолирует патологические клетки от здоровых участков.
Зрелая липома легких отличается многодольчатым строением, она имеет прослойки и тяжи из соединительной ткани, которые располагаются между дольками. Чем больше соединительнотканных элементов в структуре жировика, тем выше плотность.
Диффузная или диффузно-узловая липома средостения не имеет четких краев, тяжи иногда переплетаются с мышечными волокнами.
Отличительные особенности этой липомы характеризуются развёрнутой сосудистой сеткой, которая соединяет отдельные образования между собой.
Жировые разрастания располагаются либо по периферии, либо в центральной части. Множественные липомы могут быть смешанными. Поверхностная опухоль иногда растет вглубь бронхиального дерева. Абдоминомедиастинальная липома выходит из средостения, выявляется случайно, как и все другие жировики, при рентгенологическом исследовании.
Легочный липоматоз: причины возникновения
Клетки патологически трансформируются и растут по причине плохой генетики, то есть основным обстоятельством развития опухоли является наследственность.
Также существуют факторы, которые в пульмонологии выделяются как отдельная группа:
- Атака вирусов на ткань легких;
- Правление ядохимикатами путем вдыхания ядовитых веществ;
- Злоупотребление сигаретами, пассивное курение;
- Облучение ультрафиолетовыми лучами;
- Проживание в экологически неблагоприятных районах, где вода, воздух и/или почва содержит тяжелые металлы.
Если у человека имеются заболевания бронхолегочной системы, такие пациенты составляют группу риска вследствие ослабления иммунитета. Причинами, влияющими на рост липомы легкого, выступают хронические бронхиты, бронхиальная астма, различные пневмонии, бронхоэктатическая болезнь, легочный туберкулез.
Как проявляется липоматоз легких?
Признаки абдоминального разрастания зависят от направления роста и диаметра жировика. Поверхностная небольшая опухоль не дает внешних симптомов, она обнаруживается случайно при плановом медицинском осмотре.
Патологический процесс имеет три стадии:
- Первая стадия начальная – симптомы не беспокоят пациента;
- Вторая стадия – появляются первые признаки болезни;
- Третья стадия – симптоматика ярко выражена, развиваются осложнения.
Если затрагиваются сосуды, начинаются их эрозивные изменения, тогда отделяется экссудат с кровяными прожилками. Жировик в центральной части органа вызывает прогрессирующий стеноз бронхов.
При закупорке бронхиального просвета развивается воспалительный процесс, повышается температура, возникает мокрый кашель с кровяной мокротой.
Тяжелые случаи болезни могут осложняться бронхиальными кровотечениями. Пациенту требуется срочная госпитализация, за его лечение в стационаре будут отвечать хирурги.
Симптомы парастернальной липомы
У некоторых пациентов на флюорографическом обследовании случайно обнаруживается парастернальная липома справа. Маленькая опухоль никак себя не проявляет, пациента она не беспокоит и человек живет с данной проблемой годами. Злокачественного перерождения данная патология не имеет, так как является продолжением брюшного жира.
Если образование большого размера, проявляется ярко выраженная симптоматика в связи с давлением опухоли на диафрагмальный нерв и сердечную мышцу. Возникает одышка при незначительных нагрузках, неприятное давление в груди, акроцианоз, отек лица, то есть все признаки грудной жабы. Этот жировик служит показанием для проведения хирургической операции.
Удаляется такое новообразование правого легкого просто, разрез делается под мечевидным отростком. Из стационара пациент уходит домой на следующий день. Иногда снижение общего веса ведет к уменьшению жировой опухоли.
Как вылечить липому легких?
Прежде чем начинать лечение, следует определить стадию и размер новообразования.
Когда пациент не испытывает неприятные проявления, не наблюдается симптоматики, внешних изменений, жировик маленького размера, хирургическое лечение не производится.
Воздействовать на опухоль нет необходимости. При других обстоятельствах проводится только оперативное лечение. После операции делается гистология всех удалённых тканей.
Удаление липомы производится несколькими методами:
- Операция – критическое состояние пациента служит показанием для удаления новообразования. Оперативное вмешательство требуется при бронхиальном стенозе или кровотечении. Липома иссекается вместе с ложной капсулой;
- Липосакция – жир удаляется при помощи ультразвукового прибора, метод не эффективен при жировиках большого диаметра с ложными капсулами;
- Удаление лазером – лазерный аппарат прижигает и удаляет жировую ткань, при этом не возникает побочных эффектов, состояние человека быстро приходит в норму.
Устранить внутренний жировик народными средствами практически невозможно. Рецепты, которые предлагает альтернативная медицина, врачи рассматривают только как вспомогательное лечение.
Если женщина лечила жировую опухоль у гомеопатов, ей всё равно придётся обращаться к хирургам. Исключить рецидивы и предупредить дальнейший рост опухоли возможно только оперативным путем.
Диагностика
Обнаружить жировик в легочной ткани можно при помощи способов лабораторной и функциональной диагностики:
- Флюорографическое исследование;
- Метод рентгенографического обследования;
- Компьютерная томография области груди;
- Бронхоскопическое обследование органа с последующей биопсией;
- Ангиопульмонография – Rg-исследование с контрастным веществом.
Хирургическая операция проводится только после того, как точно установлено место образования жировика, его объем, плотность наличие капсулы и другие характеристики. При сильном разрастании поверхностной опухоли она хорошо пальпируется.
Последствия и прогноз
Доброкачественная опухоль в виде липомы растет медленно, здоровые клетки при этом не поражаются, но в области переднего средостения расположены дыхательные органы. Патологические разрастания начинают давить на легочную ткань, бронхи.
При этом могут возникнуть следующие последствия:
- Нарушается отток слизистого экссудата из просвета бронхов;
- Затрудняется вентиляция органа;
- Возникает бронхиальное сужение;
- Развивается трахеит, бронхит, пневмония.
В тяжелых случаях возможны бронхиальные и бронхолегочные кровотечения.
Иногда развивается ателектаз, при котором легочная материя теряет воздушность, спадается отдельный участок легкого или происходит полное спадание органа, при этом дыхательная поверхность уменьшается, порой значительно.
Чтобы избежать негативных осложнений, следует ежегодно делать флюорографию. Цель этого исследования выявление чужеродных образований.
Чтобы липома не увеличивала рост, пациенту следует держать иммунную систему в порядке, вовремя лечить хронические болезни легких.
Липома на легких: виды опухоли и методы лечения
Липома легкого – это патологическое заболевание, при котором на тканях формируется доброкачественная опухоль. По МКБ-10 болезнь идентифицируется под кодом D17.4 как образование жировой ткани органов грудной клетки.
Что такое и особенности липомы внутренних органов
Липома на легком является результатом сбоя работы липидного обмена. В процессе скопления липидных клеток формируется опухоль с четкими границами, гладкими краями и мягкой структурой. Жировик, расположенный на легком, растет стремительно по причине усиленного деления клеток.
Образование может присутствовать в единственном экземпляре. На ранних этапах патология не сопровождается симптомами.
Выявление опухоли на снимке происходит случайно, при плановом медицинском осмотре.
Клиническая картина проявляется на второй и третьей стадии развития болезни, человек чувствует дискомфорт в области грудной клетки. Возникает ощущение тяжести, сдавленности, затрудняется дыхание.
При достижении опухолью крупного размера происходит сужение просвета или полная закупорка бронхов, что приводит к острому воспалительному процессу и повышенной температуре тела.
Причины появления и опасность липомы в области легких
Появление липомы связано с влиянием внешних неблагоприятных факторов. Курение, экологическая ситуация, токсические химикаты провоцируют развитие заболеваний дыхательной системы. Не исключается генетический фактор. Ключевую роль в возникновении жировых отложений на легких играет нарушение полноценной работы организма на фоне системных состояний, затрагивающих обменные процессы.
Опасность состояния зависит от локализации. Существует риск появления последствий при влиянии опухоли на соседние органы.
Парастернальная
Причиной поражения легочной ткани могут быть болезни внутренних органов или влияние внешних провоцирующих факторов:
- вирусные или бактериальные инфекции в острой форме;
- реакция организма на частые контакты с ядохимикатами, вдыхание их паров;
- активное и пассивное курение;
- обильное влияние ультрафиолетового излучения;
- неблагоприятный регион проживания;
- сахарный диабет;
- ожирение;
- бронхиальная астма;
- ранее перенесенный туберкулез;
- оперативное вмешательство на тканях легких.
Небольшие образования справа можно обнаружить при рентгенологическом обследовании случайно.
Парастернальная липома, расположенная около грудины, влияет на состояние перикарда. При достижении достаточно больших размеров и сдавливании грудной клетки, оказывают давление на сердце и кровеносные сосуды. Производится давление на аорту.
У больного с образованием в области легкого наблюдается аритмия, отечность лица, сонливость, вялость, боли в области спины.
Абдоминомедиастинальная
Абдоминомедиастинальный жировик возникает в области КДУ (кардиодиафрагмального угла). Отсутствие своевременного лечения приводит к сдавливанию внутренних органов грудной клетки, что угрожает нормальной работоспособности организма. Различают периферическую, центральную и смешанную локализацию абдоминомедиастинального уплотнения легкого. Справа или слева наросты возникают крайне редко.
Особую опасность несут множественные липоматозные образования, оказывающие двухстороннее давление на внутренние органы, стенки кровеносных сосудов, легочные артерии. Человек ощущает дискомфорт, периодические покалывания сердца и ноющие боли в правом подреберье. Наблюдаются частые признаки мигрени, отеки лица и шеи, синюшность кожного покрова и слизистых оболочек.
Абдоминомедиастинальная липома легких рецидивирует. У женщин состояние приводит к формированию жировых скоплений в протоках молочных желез. Возникает косметический дефект, нарушается нормальная работа железы.
При интенсивном разрастании капсулу необходимо удалять. Операцию проводит хирург. При развитии ракового процесса необходимо вмешательство онколога.
Торакоабдоминальная
Специалисты до сих пор не пришли к единому мнению по поводу правильности диагноза «торакоабдоминальная липома, расположенная на легком справа и слева».
Некоторые из них утверждают, что диагноз верный, другие же полностью отрицают этот факт, говоря о достаточно широкой локализации заболевания.
По утверждениям последних, речь идет об уплотнении переднего или заднего средостения, кардиодиафрагмального угла, поддиафрагмальной или синусовой липоме. Торакоабдоминальный жировик несклонный к метастазированию и распространению на соседние здоровые участки тканей.
Причины возникновения опухолевого процесса для всех видов легочных образований имеют одинаковую природу. Образования влияют на работу дыхательной системы, поражают сердце, сосуды.
При разрастании возможна угроза закупорки бронхов, что вызывает острый процесс воспаления. У больного развивается пневмония, сопровождающиеся жаром.
Существует риск появления осложнений при увеличении уплотнения.
Нужно ли удалять такой жировик и прогноз течения заболевания
Удаление образования на легком – процедура, требующая предварительной тщательной диагностики. Если размер незначителен, рост медленный, давление на жизненно важные органы и сосуды отсутствует, шишку оставляют для дальнейшего наблюдения. Увеличение диаметра и стремительный рост являются прямыми показаниями к удалению.
Методы оперативного вмешательства:
- Хирургическая операция. Применяют при наличии сложных патологических процессов, крупных размерах опухоли и наличии осложнений.
- Липосакция. Подходит для небольших образований, при отсутствии ложных капсул. Способ заключается в откачке жира из нароста.
- Лазерное прижигание. Современный метод лечения, который позволяет быстро и эффективно избавляться от уплотнения с поверхности легких.
В качестве вспомогательной терапии используют медикаменты, диеты, рецепты народных средств, специальные домашние упражнения.
При правильной терапии прогноз для пациентов с липомой, локализованной в органе дыхания, благоприятный.
Заболевание легкого нельзя игнорировать, болезнь способна привести к возникновению осложнений и патологических процессов. Заметив симптомы недомогания, человеку следует обратиться к врачу. Своевременное обнаружение позволяет предотвратить развитие последствий.
Липома в легких: симптомы, причины и лечение
Липома – это патологическое разрастание жировых тканей, классифицируется как доброкачественная опухоль. При этом клетки образования вполне жизнеспособны.
Жировик в легких по своей структуре и интенсивности роста ни чем не отличается от уплотнений в других тканях тела, соединительных, мышечных или жировых.
Липоматоз легкого – плотное округлое образование с четкими границами, иногда множественное.
У женщин липома на тканях легких встречается столь же часто, как и у мужчин. Доброкачественный жировик развивается чаще у молодых людей, в возрасте 30+. Особую группу риска представляют пациенты с чрезмерной массой тела и страдающие от сахарного диабета. Разрастаются достаточно быстро, при этом интенсивность роста достигается за счет деления дифференцированных клеток жировой ткани.
Абдоминальная липома: качественные характеристики опухоли
Жировые клетки, из которых состоит такое образование, имею собственные отличительные характеристики:
- По своей структуре абсолютно аналогичны здоровым клеткам, но при этом их размер увеличен.
- Не метастазируют и редко прорастают в близлежащие ткани.
- Не повреждают ткани легких, но могут послужить причиной ущемления.
Жировик настолько плотен, что вокруг него со временем образуется псевдокапсула, с помощью которой организм старается изолировать видоизмененные клетки от здорового легкого. По локализации в пределах органа липома может быть периферической, центральной и смешанной. Периферическая разрастается на поверхности легкого или могут прорастать вглубь тканей бронхиального древа.
Жировик: причины появления легочной липомы
Основным фактором, который влияет на патологическую трансформацию клеток и провоцирует рост доброкачественного образования, можно назвать генетику, то есть, плохую наследственность. Причины, которые пульмонологи выделяют в отдельную группу:
- Парастернальная опухоль развивается как следствие вирусной атаки на организм.
- Жировик может образоваться после отравления химикатами, воздействующими на ткани легких.
- Причина кроется и в курении, во вдыхании табачного дыма.
- Частое облучение ультрафиолетом.
- Проживание в местах, где почва и вода загрязнены тяжелыми металлами.
В группу риска входят пациенты, которые страдают от недостаточности иммунной защиты, развивающейся на фоне заболеваний бронхов. Факторами, влияющими на интенсивность разрастания опухоли, могут выступать:
- Хронические бронхиты.
- Бронхоэктаза.
- Бронхиальная астма.
- Пневмония различного генеза.
- Туберкулез легочной ткани.
Как выглядит жировик: структура и отличительные признаки липомы
Паренхиматозная легочная ткань редко подвергается прорастанию жировых образований. Обычно абдоминальная патология поражает долевые и главные бронхи, к этому приводит гипертрофия жировой прослойки.
Липома, которая дислоцируется глубоко в органе, тяжело поддается диагностике, поскольку никакие симптомы больного не беспокоят. Поверхностная опухоль чаще всего проявляет себя у мужчин, особенно й курящих.
Жировик прорастает в полости бронхиального древа и по мере увеличения способен стать причиной нарушений в оттоке слизистого экссудата. Это затрудняет легочную вентиляцию.
Обнаружить опухоль проще всего посредством рентгенографии, она отчетливо видна на проекционных снимках.
Липома, проросшая в ткани легкого, отличается округлой формой и дольчатой структурой. Консистенция образования эластичная, при этом часто уплотнение покрыто ложной капсулой.
Цвет содержимого варьируется от грязно-желтого, до бледно-серого. При микроскопическом исследовании обнаруживаются и полноценные клетки жировой ткани.
Соединительные тканевые отсеки разделяют опухолевое тело на отдельные доли.
Симптомы липомы легкого
Липома может быть обнаружена с помощью следующих методов функциональной и лабораторной диагностики:
- Рентгенография.
- Флюорография.
- КТ грудины.
- Бронхоскопия.
- Биопсия.
- Ангиопульмонография.
Симптоматика зависит от диаметра и направленности роста уплотнения. Опухоль, расположенная на поверхности органа, обычно не дает никаких внешних признаков и ее обнаруживают спонтанно при плановом пульмонологическом обследовании. У патологического процесса есть определенная стадийность:
- Доклинический бессимптомный этап.
- Этап начального проявления.
- Этап выраженной симптоматики и развития осложнений.
Большой жировик может прорасти в диафрагмальную область, симптомы: появление одышки, стеснение за грудиной, то есть, «грудная жаба». Как только начинаются эрозивные изменения в сосудистой ткани легкого – начинает отходить мокрота с включением кровяных сгустков.
Централизованная опухоль – это причина прогрессирующего бронхиального стеноза, поскольку закупоривается бронхиальный просвет.
Теперь лечение строится не только на устранении самой причины, но и на купировании симптомов: мокрого кашля с отходящим кровяным экссудатом, сдавливания и механического повреждения тканей, воспалительного процесса в бронхах, повышения субфебрильной температуры.
В запущенных случаях положение больного может резко осложниться, вплоть до бронхиального кровотечения. Пациент срочно госпитализируется в стационар, где его будут лечить хирурги.
Лечение липоматоза легочной ткани
То каким образом будут лечить липому, во многом зависит не только от степени ее прорастания и размеров, но и от выбора самого больного. Если не проявляются типичные симптомы и при этом нет болевого синдрома и эстетически неприятных изменений на коже груди – оперативно удалять опухоль не целесообразно. Во всех других случаях лечение бывает только оперативным.
Когда перекрыт бронх или обнаруживается бронхиальное кровотечение – пациент незамедлительно транспортируется в хирургию, где будет проведена неотложная операция.
Устранить жировик, локализировавшийся в легочной ткани с помощью традиционных и народных способов – практически нереально, избавиться от него в полной мере, что предупредит дальнейшие рецидивы, можно только оперативно.
В ходе операции липома иссекается вместе с псевдокапсульным наростом. Жировик, расположенный на паренхимальной поверхности органа, удаляют путем липосакции внутреннего содержимого капсулы.
Лечение по этому принципу обладает рядом недостатков, например, удалить можно только небольшие липомы, и при этом капсульная оболочка остается нетронутой.
Поэтому все чаще выбирается оперативное лечение с помощью лазера.
Профилактика роста: народные средства против доброкачественных опухолей
На раннем этапе пациент все еще может сдерживать рост опухоли, употребляя терапевтические и гомеопатические средства, способствующие рассасыванию жировых уплотнений:
- Достаточно съедать 2г молотой корицы каждый день.
- Определить проекционную область жировка на коже груди и делать на это место компресс из смеси соков алоэ, золотого уса и каланхоэ, разбавленных кипяченой водой в пропорции 1:1:1:3.
- Спиртовая настойка из экзотического гриба шиитаке. Китайская народная медицина утверждает, что этот настой помогает небольшим жировикам рассосаться и устраняет симптомы сдавливания бронхов. Потребуется высококачественный спирт и 7 дней настаивания. Пить по одной ложке каждый день.
- Отечественные травники предлагают лечение морозником кавказским. Свежее сырье нужно залить кипящей водой и оставить настаиваться не менее 12 часов. После принимать трехмесячным курсом, по одной ложке в день. Трава морозника оказывает очищающее и рассасывающее действие, останавливает интенсивный рост доброкачественных опухолей и восстанавливает иммунную систему организма.
- Сосновая пыльца растирается в равных пропорциях со свежим полевым медом. Смесь употребляют после каждого приема еды, по одной столовой ложке. Запивать можно отваром душицы или любым другим травяным чаем.
Стоит ли бояться операции
Окончательное решение об объеме оперативного вмешательства принимается врачом только после полноценной морфологической верификации предварительного диагноза. Липома должна быть осмотрена путем методов функциональной диагностики, а поверхностное образование, при условии его сильного разрастания, может быть пропальпировано.
Так же осмотр и пальпацию можно провести во время обзорной торакотомии, которая проводится при недоверии к диагнозу и при риске озлокачествления опухоли. По сути, доброкачественность можно подтвердить только путем морфологического исследования биоматериала (полученного интраоперационно или до вмешательства).
После операции назначается срочное гистологическое исследование всех тканей удаленного жировика. Это правило касается не только липом, но и всех доброкачественных, но потенциально опасных опухолей, например, карциноидов, цилиндром, гемангиоэндотелиом, гемангиоперицитом.
Если малигнизация образования была подтверждена морфологически, то операция завершается по принципу удаления раковых опухолей.
Хирургическая операция, выполняемая при наличии высокодифференцированной и умеренно дифференцированной липомы должна проводиться при соблюдении всех принципов онкологического радикального иссечения, но может быть проведено и органосохраняющее вмешательство.
То есть, медиастинальная лимфаденэктомия не всегда является целесообразной, а если есть показания, то операция может идти и по методу бронхиопластики.
В отличии от операций при раке, при липомах достаточно делать пересечение бронха на расстоянии 5-7 мм от видимой границы растущей опухоли.
Липома в лёгких: чем опасна, симптомы и лечение
Липома – это атипичное образование из клеток жирового слоя. Характер у опухоли доброкачественный. Различают несколько разновидностей, которые характеризуются определёнными симптомами и формами.
Липома может возникать в области средостения. Чаще поражается кардиодиафрагмальный угол с одной стороны – правого или левого лёгкого. Встречается патология в лёгких редко.
Подвержены заболеванию мужчины и женщины в равной степени, но основной возраст – 25-45 лет.
Общая характеристика патологии
Липома в лёгких – это патологический узел, образованный из жировой и соединительной клетки. В области кардиодиафрагмального угла диагностировать подозрительное новообразование сложно. Растёт липома лёгких медленно, но постоянно увеличивается.
Активное разрастание жировика может встречаться при наличии определённых внешних и внутренних факторов. Процесс сопровождается выраженными признаками, характеризующими область поражённого органа.
Болезнь носит доброкачественный характер, но при разрастании атипичная клетка становится опасной для человека. Жировик с крупными объёмами давит на ближайшие ткани и органы, что вызывает нарушения в функционировании. Наблюдается негативное воздействие на кровеносные сосуды органа и нарушается работа сердечной мышцы.
Врачи считают опасной опухоль, которая образуется с двух сторон на лёгких – справа и слева. Развиваться липома может у взрослых людей – у мужчин и женщин.
Разновидности липомы на лёгких
В зависимости от расположения и структуры различают следующие виды патологии:
- Медиастинальная липома поражает в основном с правой стороны средостения. Форма вытянутого овала напоминает грушу. Жировик характеризуется чёткими границами и содержит в структуре один тип ткани – жировой. Во время диагностики опухоли вводят в область средостения газ, который показывает дольчатую структуру жировика.
- Абдоминомедиастинальная форма способна образовываться с правой стороны средостения, проникая сквозь щель Ларрея. Встречается чаще, чем медиастинальный вид. На рентгене определяется как полукруг с чётко очерченными границами. После ввода газа смещается в брюшную область, что позволяет определить тип болезни.
- Парастернальная липома локализуется в грудной зоне и воздействует на состояние перикарда. При достижении крупных размеров сдавливает сердечную ткань с кровеносными сосудами. Прямое давление на аорту сопровождается болевыми спазмами за грудиной с ноющим характером. Больной ощущает проблемы с дыханием, что приводит к признакам одышки. Влияние на бронхи с трахеями сопровождается тяжёлым кашлем. Болезнь может состоять из следующих симптомов – нарушения сердечного ритма, отекание мягких тканей лица, болевые ощущения в области поясницы, сонливое и вялое состояние.
- Торакоабдоминальная форма заболевания может поражать орган справа или слева. Жировик способен сформироваться в зоне заднего и переднего средостения, поразить кардиодиафрагмальный угол, поддиафрагмальную или синусовую зону. Опухоль не пускает ростки в соседние органы и ткани, развиваясь внутри собственной капсулы.
Липома в лёгких влияет на работу сердечной мышцы, кровеносных сосудов и дыхательного процесса. Уплотнение с объёмами свыше 50 мм перекрывает бронхи, что может вызвать тяжёлое воспаление. У пациента диагностируют активную форму пневмонии с сильным жаром. Присутствует высокий риск серьёзных последствий.
Причины развития патологии
Спровоцировать заболевание может ряд внешних факторов с присутствием других сопутствующих внутренних патологий. Причина образования липомы может быть в следующем:
- злоупотребление курением;
- проживание в экологически загрязненной местности;
- взаимодействие с химическими и канцерогенными веществами;
- наследственная предрасположенность;
- нарушения в системе липидного обмена;
- наличие заболевания вирусного или бактериального характера;
- работа с ядохимикатами – вдыхание вредных паров;
- нахождение в течение длительного времени под воздействием прямого ультрафиолета;
- патологии эндокринной системы – сахарный диабет, опухоль поджелудочной железы;
- избыточная масса тела;
- тяжёлая болезнь лёгких – бронхиальная астма;
- наличие перенесенного туберкулеза в детском возрасте или в более взрослом возрасте;
- хирургические операции в области лёгкого.
Образования небольшого размера на начальном этапе обнаруживаются случайно при диагностировании проблем другого органа.
Рост липомы в ткани лёгкого
Новообразование в органе растёт медленно, прорастая в бронхиальные ткани с поражением периферической поверхности лёгкого. В медицинской практике нет случаев перерождения жировика в злокачественную форму. Уплотнения диагностируются в основном овальной формы с внутренним ядром желтоватого цвета.
На КТ при исследовании с контрастным веществом определяется опухоль из жировых клеток с перегородками из соединительного эпителия. В разрезе хорошо просматривается дольчатое строение липомы.
Врачи выделяют 3 стадии развития жировика, оказывающие разное влияние на состояние пациента:
- начальная стадия характеризуется бессимптомным течением болезни;
- вторая стадия отличается присутствием лёгких признаков патологии;
- на третьей стадии заболевание характеризуется проявлением выраженных симптомов.
Лёгкое имеет внешнюю защитную оболочку, которая препятствует прорастанию жировика внутрь. При прорастании в глубину органа процесс диагностики затрудняется. Протекает болезнь бессимптомно или с наличием незначительных признаков. Такое образование часто встречается у мужчин, злоупотребляющих никотином.
Жировик легко проникает в бронхиальные ткани, где начинает активно увеличиваться. Происходит перекрытие экссудативного протока с нарушением вентиляции лёгких. Структура липомы отличается эластичной структурой с оттенком жёлтого.
Признаки заболевания
Симптомы проявляются в зависимости от размера, расположения и степени поражения органа. Формирование новообразований в периферической области протекает с лёгкими признаками и не приносит особого вреда человеку.
Неприятный симптом возникает при стремительном росте опухоли. Уплотнение не оказывает прямого воздействия на ближайшие органы и сосуды.
В процессе развития липомы здоровые клетки образуют псевдокапсулу, что затрудняет опухоли влиять на орган.
Иногда присутствует деформация легочных сосудов с образованием внутри мокроты с примесью крови. Локализация в центральной зоне сопровождается перекрытием бронхиальных протоков с развитием бронхиального стеноза. Указанный процесс характеризуется тяжёлым кашлем с отхождением мокроты с кровью.
Липома с большими размерами передавливает и механически повреждает легочные ткани, что проявляется воспалением в бронхах и высокой температурой тела. Отсутствие терапии в течение длительного времени приводит к образованию тяжёлых осложнений – ателектазы и внутреннего кровотечения в области бронха.
Диагностика заболевания
Чтобы подтвердить диагноз или опровергнуть, нужно пройти подробное обследование организма. Диагностика включает следующие мероприятия:
- назначается рентген грудной зоны с органами дыхания, что помогает исследовать опухоль и определить расположение;
- при флюорографии изучается степень поражения лёгкого и точное количество новообразований;
- пульмонология и трахеобронхоскопия дают детальное исследование структуры поражённой области с признаками сдавливания протоков;
- компьютерная томография (КТ) считается эффективной процедурой для диагностики патологии – даёт полную информацию о структуре образования, форме, размерах и степени прорастания в глубину органа;
- рентген легочных артерий с использованием контрастного вещества позволяет выявить нарушения в функционировании системы.
После получения результатов анализов врач может оценить состояние пациента и степень поражения организма. Лечение зависит от медицинских и физических показаний больного.
Терапевтические процедуры
При диагностировании маленького жировика с отсутствием дискомфорта и других сопутствующих симптомов не требуется срочно лечить. Врачи обычно выбирают тактику наблюдения за новообразованием. При появлении признаков сдавливания или нарушения в работе дыхательной системы больному назначается курс терапии или удаления.
Наличие серьёзных осложнений и последствий с развитием некроза тканей требует срочного удаления липомы при помощи следующих способов:
- Хирургическое иссечение опухоли с применением скальпеля требуется при диагностике внутреннего кровотечения в полости бронхов или лёгких. Также метод применяется при наличии сдавливания бронхиальных протоков. Оперативное вмешательство считается эффективным, так как удаляется псевдокапсула, образованная здоровыми клетками и капсула липомы. Риск рецидива сводится к минимуму.
- Липосакция используется для удаления небольших новообразований, сформированных на поверхности органа. Недостатком процедуры является невозможность извлечь псевдокапсулу, что увеличивает риск рецидива.
- Лазерная терапия набирает большую популярность из-за отсутствия побочных эффектов и быстрого восстановления после проведения процедуры иссечения липомы. Длится операция 15-20 мин. Пациент практически сразу выписывается домой. Контроль за восстановлением прооперированных тканей проводится амбулаторно.
Хирургический метод лечения жировика считается эффективным из-за полного удаления опухоли и с присутствием минимального шанса рецидива.
Совместно с традиционным курсом терапии разрешается использовать средства народной медицины, но только после консультации с лечащим врачом и под медицинским контролем. Рецепты нетрадиционной медицины позволяют остановить активный рост жирового образования и предотвратить развитие серьёзных осложнений.
Используются рецепты народной медицины на начальном этапе формирования жировика или при диагностировании маленького уплотнения. Самыми популярными считаются следующие средства:
- Ежедневно употреблять 2 грамма молотой корицы. Можно просто съедать и запивать водой или добавлять в чай, кофе и готовые блюда.
- Смешать 1:1 соки золотого уса, алоэ и каланхоэ с добавлением воды (в пропорции 1:3). Полученную смесь тщательно втирать в больное место до полного исчезновения жировика.
- Отвар из морозника кавказского оказывает рассасывающее действие на липому. Листья залить кипятком и оставить на 12 часов. Затем принимать каждый день по 1 ч.л. в течение 3 месяцев.
- Сосновую пыльцу и мёд смешать 1:1 и принимать ежедневно по 1 ст.л. после еды. Запивать рекомендуется настоем из душицы или другого фиточая из лекарственных трав.
Использование средств народной медицины позволяет предотвратить формирование крупных образований в тканях лёгкого. Также отказ от вредных привычек поможет избежать опасного заболевания.




