
В настоящее время наблюдать за здоровьем плода можно с помощью безопасных и безболезненных методов. Первенство принадлежит, конечно, ультразвуковому исследованию. На ранних этапах развития плода важную роль играет такой показатель, как копчико-теменной размер. По нему можно достоверно судить о процессе формирования будущего организма человека.
Копчико-теменной размер как показатель здоровья плода
Копчико-теменной размер плода (КТР) – показатель, характеризующий длину сформированного эмбриона. Измеряется в миллиметрах по прямой линии между двумя ориентирами — наружной границей головного конца и копчиком. Длина конечностей плода в этом случае не учитывается. Для надёжности КТР измеряется три раза, после чего за основу берётся минимальное значение. На ранней стадии КТР — основной показатель скорости роста и здоровья плода. Он не зависит от параметров беременной женщины — возраста, национальности, роста и веса. Кроме того, измеряя КТР, специалист может высказаться о сроке беременности с точностью до нескольких дней (обычно плюс-минус три дня). В этом УЗИ значительно превосходит другие методы, в частности, определение дня зачатия по дате начала последнего менструального цикла.
Копчико-теменной размер — показатель здоровья плода на ранних стадиях беременности
Мониторинг беременности является важным аспектом заботы о здоровье будущей матери и ребенка. Врачи подчеркивают, что копчико-теменной размер плода (КТР) является одним из ключевых показателей, позволяющих оценить развитие эмбриона на ранних сроках. Нормальные значения КТР варьируются в зависимости от срока беременности, и их измерение помогает выявить возможные отклонения. Специалисты отмечают, что на 10-12 неделе беременности КТР должен составлять от 31 до 60 мм, что свидетельствует о нормальном развитии плода. Важно, чтобы будущие мамы регулярно проходили ультразвуковые исследования, так как это позволяет врачам своевременно реагировать на любые изменения и обеспечивать необходимую медицинскую помощь. Таким образом, контроль за КТР является важным инструментом в практике акушеров-гинекологов, способствующим здоровью как матери, так и ребенка.

Внутриутробное развитие плода — видео
Методика измерения КТР
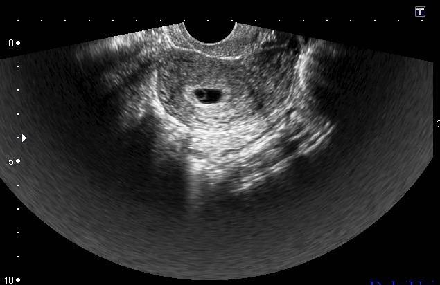
Существуют сроки беременности, в которые целесообразно измерять именно КТР — с седьмой по четырнадцатую неделю. Ранее специалист идентифицирует эмбрион в матке как округлое образование из одинаковых клеток — плодное яйцо. Позднее четырнадцати недель эмбрион уже настолько развит, что для определения его здоровья используются другие ультразвуковые показатели.
На ранних стадиях беременности определяют размеры плодного яйца
Ультразвук безопасен для организма беременной женщины и формирующегося в утробе плода. Несмотря на различные мифы, вреда даже многократная повторная диагностика не приносит. Исследование плода в ранние сроки беременности позволяет своевременно выявить возможные отклонения, выяснить причину и выработать дальнейшую лечебную тактику.
Специальной подготовки к исследованию не требуется. Еда и питьё не влияют на полученные результаты. Однако для их правильной трактовки необходимо предупредить врача обо всех принимаемых лекарствах, включая витамины. В особенности это обстоятельство касается гормональных средств, в том числе для наружного применения.
Копчико-теменной размер характеризует скорость роста плода
Степень точности измерения КТР методом ультразвукового исследования велика. Однако необходимо помнить, что на результат в равной степени влияет качество используемой аппаратуры и квалификация специалиста.
Мониторинг беременности — важный этап, который позволяет отслеживать развитие плода и здоровье будущей мамы. Одним из ключевых показателей является копчико-теменной размер (КТР), который измеряется на ранних сроках. Этот параметр помогает определить срок беременности и выявить возможные отклонения в развитии. Многие женщины отмечают, что знание КТР приносит уверенность и спокойствие, так как это позволяет контролировать процесс. Нормальные значения КТР варьируются в зависимости от срока, и их интерпретация требует профессионального подхода. Важно помнить, что каждый случай индивидуален, и консультация с врачом поможет правильно оценить результаты и принять необходимые меры.

УЗИ при беременности — видео
Нормативные показатели КТР
Норма в медицине — понятие не есть абсолютно точное. Нормативные значения КТР плода могут колебаться в определённых пределах, называемых процентильным рядом. Он включает в себя все возможные значения, при которых показатель считается нормальным. Крайне низкие и высокие цифры, не выходящие за его пределы, также будут считаться нормой. Однако встречаются они гораздо реже, чем те, которые располагаются в середине процентильного ряда. Следует учитывать, что нормальные значения КТР плода одинаковы при первой и последующей беременности.

Нормативные значения копчико-теменного размера плода — таблица
| Срок беременности в неделях и днях |
Средний нормальный показатель (50 процентиль), мм |
Возможные нормальные колебания (5–95 процентиль), мм |
| 7 недель | 8 | 5–11 |
| 7 недель и 3 дня | 11 | 8–14 |
| 8 недель | 14 | 10–18 |
| 8 недель и 3 дня | 17 | 12–22 |
| 9 недель | 22 | 16–27 |
| 9 недель и 3 дня | 25 | 19–31 |
| 10 недель | 31 | 24–38 |
| 10 недель и 3 дня | 35 | 27–43 |
| 11 недель | 42 | 34–50 |
| 11 недель и 3 дня | 45 | 37–54 |
| 12 недель | 51 | 42–59 |
| 12 недель и 3 дня | 57 | 47–67 |
| 13 недель | 63 | 51–75 |
| 13 недель и 3 дня | 68 | 56–80 |
| 14 недель | 76 | 63–89 |
Если беременность многоплодная, то для плода существуют свои нормы КТР. В целом, при наличии двойни или тройни эмбрионы будут меньше, чем если в матке развивается одноплодная беременность. Основные факторы, ограничивающие рост — дефицит внутриматочного пространства и питания, поступающего по сосудам плаценты.
При многоплодной беременности значения КТР плодов отличаются
КТР плода при одноплодной и многоплодной беременности — сравнительная таблица
| Срок беременности в неделях |
КТР плода при многоплодной беременности, мм |
КТР плода при одноплодной беременности, мм |
| 8 недель | 15 | 16 |
| 9 недель | 21 | 23 |
| 10 недель | 29 | 31 |
| 11 недель | 39 | 41 |
| 12 недель | 53 | 54 |
| 13 недель | 72 | 74 |
| 14 недель | 84 | 87 |
Большинство УЗИ аппаратов определяют срок беременности от фактического зачатия, т. е. по эмбриональному сроку. Но проблема в том что определить дату точного зачатия практически невозможно, так как сперматозоиды могут жить в половых путях женщины до 7 дней. Кроме того, есть индивидуальные размеры плода, т. е. эмбрион может быть несколько крупнее среднестатистического и поэтому срок по УЗИ может быть больше фактического срока.
Отклонения в показателях копчико-теменного размера плода
КТР плода — важный показатель. Его соответствие норме говорит об адекватном развитии внутренних органов будущего малыша. Однако встречаются случаи, когда копчико-теменной размер оказывается избыточным или недостаточным. В каждом случае существуют свои причины подобных изменений. Избыточный размер плода может наблюдаться в следующих ситуациях:
- приём матерью разнообразных лекарственных препаратов, в том числе поливитаминов и метаболических средств, таких, как Актовегин;
- наличие анатомических аномалий в строении плода;
Менингоцеле — порок развития позвоночника
- опухоли, образовавшиеся в органах половой сферы матери. Во многих случаях они выбрасывают в кровь излишек гормонов, что активизирует рост плода;
- наличие у матери сахарного диабета. В этом случае в роли активатора роста выступает высокий уровень сахара крови, а также его значительные колебания;
- резус-конфликт между организмом матери и плода. Он развивается, ели резус-отрицательная мать вынашивает резус-положительный плод. Причиной конфликта является материнский иммунитет, который ведёт себя агрессивно в отношении красных клеток крови плода эритроцитов. Итог: избыточный рост плода, малокровие, в тяжёлых случаях — внутриутробная гибель будущего ребёнка.
Резус-конфликт — причина гемолитической болезни новорождённых
Причиной излишне малого значения КТР плода могут оказаться следующие факторы:
- поздняя овуляция: яйцеклетка вышла из яичника женщины с опозданием, поэтому рост плода может оказаться недостаточным. Эта ситуация не является критичной, поскольку контрольное обследование через 7–10 дней выявит соответствие КТР норме;
- неразвивающаяся (замершая) беременность. Чаще всего развитие плода останавливается из-за наличия серьёзных генетических отклонений — избытка или недостатка хромосом, являющихся основными носителями наследственной информации. Такой эмбрион не развивается в полноценный плод. Чаще всего итогом становится замершая беременность или самопроизвольный аборт. Окончательный вывод об имеющейся патологии делается после повторного ультразвукового исследования через 7 дней;
- расстройства гормонального фона. Беременность на ранних стадиях находится под полным контролем гормона прогестерона, который выделяет жёлтое тело. Последнее сформировалось на месте лопнувшего фолликула яичника. При нехватке прогестерона рост эмбриона нарушается, КТР становится недостаточным;
- аномалии строения матки. В норме орган имеет слизистую оболочку эндометрий и мышечный слой. Часто встречается орган неправильной формы — двурогая матка. Кроме того, в её стенке может располагаться доброкачественное новообразование из мышечного слоя — миома. В этом случае полость, где развивается эмбрион, имеет неправильную форму, что деформирует его оболочки и замедляет скорость роста плода;
Миома — доброкачественная опухоль из мышечных клеток среднего слоя матки
- инфекционные заболевания. Болезнетворные микробы особенно агрессивны в отношении быстро размножающихся клеток и тканей. Среди них выделяются возбудитель сифилиса бледная трепонема, вирусы ВИЧ, краснухи, а также хламидии и микоплазмы.
Изменения КТР плода: способы уточнения ситуации
Изменения копчико-теменного размера плода не являются однозначным поводом поставить диагноз какой-либо патологии. Для уточнения причин подобных аномальных значений КТР позднее, ближе к двадцатинедельному сроку, проводятся дополнительные исследования:
- амниоцентез — анализ околоплодной жидкости. В ней обнаруживаются клетки кожи плода, в которых можно установить количество хромосом, определить пол эмбриона и наличие наследственных аномалий. Обычно эта процедура проводится в амбулаторных условиях, не требует разрезов и обезболивания. Прокол плодного пузыря специальной иглой проводится под контолем ультразвуковой картины;
Амниоцентез — способ получить клетки плода для последующего генетического анализа
- кордоцентез — анализ крови из пуповины, с помощью которой плод получает питание, находясь в материнской утробе. Для осуществления точного прокола необходим ультразвуковой контроль. Анализ крови плода может выявить генетические аномалии. Типичный пример — синдром Дауна;
- исследование ворсинчатой оболочки плода хориона — ещё один способ получить образцы клеток будущего ребёнка и установить с их помощью наличие генетических аномалий.
Отзывы женщин
Сегодня были на УЗИ. Нам 11 недель. Малыш вовсю барахтается. У нас КТР 41 мм. УЗИ говорит, что опережаем на недельку.
В среду мы были на УЗИ. Нам было 11 недель и 3 дня. Нас померили и сказали, что КТР 3,85 см, что соответствует 10 неделям и 6 дням. Я немного волнуюсь. Врач сказала ничего страшного, но скрининг делать не стала, говорит маленький ещё.
Вчера сходила на УЗИ в первый раз. Очень переживала, что никакой беременности не подтвердят, но слава богу беременность есть. Насторожил только маленький КТР для моего срока — 13 мм. Узист поставил 6–7 недель.
Мониторинг беременности с помощью ультразвукового исследования — надёжный способ определить, нормально ли развивается эмбрион на ранних стадиях внутриутробного роста. Важную роль играет копчико-теменной размер плода. Его нормальные значения колеблются в широких пределах. При наличии изменений специалист назначит дополнительные методы диагностики — кордоцентез, амниоцентез. Ультразвук — безопасный способ контролировать здоровье будущего малыша.
Вопрос-ответ
Какой должен быть КТР в 5 недель?
В 5 недель КТР( копчико-теменной размер) эмбриона – 2 мм , в 6 недель КТР – 5 мм, в 7 недель – 11 мм. Но истинный срок может быть меньше менструального в случае, если была поздняя овуляция. Размеры вашего эмбриона на 5 – 6 недель ( 3, 7мм) , то есть ваш истинный срок меньше менструального на неделю.
Какой КТР должен быть в 9 недель?
На 9-й акушерской неделе КТР плода составляет в среднем 27–35 мм.
Что значит КТР на УЗИ?
КТР – это копчико-теменной размер эмбриона. Этот показатель измеряют только на ранних сроках беременности. КТР 15 мм соответствует 8 неделям беременности. А в 14 недель, помимо КТР, уже можно оценить размеры головки плода, живота и т.
Какой должен быть КТР на первом скрининге?
Для корректного проведения скрининга I триместра КТР плода должен быть не менее 45 мм и не более 84 мм. При проведении комбинированного скрининга I триместра очень важно четко соблюдать правила расчета срока беременности. Именно на данный протокол будут ориентироваться впоследствии врачи УЗИ и акушеры-гинекологи.
Советы
СОВЕТ №1
Обязательно проводите регулярные ультразвуковые исследования, чтобы отслеживать копчико-теменной размер плода (КТР). Это поможет вам и вашему врачу оценить правильность развития плода и выявить возможные отклонения на ранних стадиях беременности.
СОВЕТ №2
Записывайте все результаты УЗИ и обсуждайте их с вашим врачом. Это позволит вам лучше понимать динамику развития вашего малыша и вовремя реагировать на любые изменения.
СОВЕТ №3
Не забывайте о важности правильного питания и здорового образа жизни во время беременности. Это поможет обеспечить оптимальные условия для роста и развития плода, что, в свою очередь, может положительно сказаться на его КТР.
СОВЕТ №4
Если у вас есть какие-либо сомнения или вопросы относительно КТР и его норм, не стесняйтесь обращаться к своему врачу. Получение профессиональной консультации поможет вам развеять все сомнения и лучше подготовиться к родам.







