Звуки в грудной клетке являются очень важным симптомом для диагностики патологических изменений в органах дыхания.
Хрипы в легких при дыхании у взрослых помогают по их звучанию определить, вызваны нефизиологические шумы остаточными процессами после перенесенного заболевания или речь идет о хроническом заболевании, осложнении после ОРЗ, бронхите, пневмонии.
Дыхание здорового человека должно быть почти бесшумным. Любые хрипы при дыхании у взрослого, свист на выдохе или затрудненный вдох должны заставить человека в обязательном порядке посетить врача, пройти обследование. У детей свист и хрипы при дыхании тем более не возникают беспричинно.
Хрип в легких: причины и последствия
Проходя по дыхательным путям, воздух обычно не встречает препятствий, насыщая кислородом каждую клетку.
Но если в бронхах или легких появляется нечто, что мешает свободному движению, это можно ощутить по одышке, некоторым проявлениям кислородного голодания, утомляемости, боли в груди.
Организм всеми силами старается освободиться от инородного тела или вещества, поэтому слышны хрипы при дыхании, часто они сопровождаются кашлем.
Причины появления хрипов:
- острые респираторные заболевания;
- трахеит;
- бронхит;
- пневмония;
- туберкулез;
- новообразования;
- отеки легкого;
- бронхиальная астма;
- обструктивные процессы;
- сердечная недостаточность;
- бронхоэктатические болезни;
- легочные кровотечения;
- инородное тело в дыхательных путях и распространяющийся вокруг него отек.
Хрипы в бронхах при выдохе, слышимые в фонендоскоп, а иногда – и без него, вызывают любые препятствия на пути струи воздуха.
Важно: Сужение просвета в бронхах из-за отечности, скопления слизи, появления перегородок, которое вызывает шумы при попытке вдохнуть или выдохнуть, патологии в легких представляют угрозу для жизни человека.
В некоторых случаях требуется немедленное медицинское вмешательство, так как бронхоспазм, повреждение бронхов или кровотечение в легких могут убить человека за считанные минуты.
И хотя хрипы в легких считаются одним из самых распространенных симптомов простудных заболеваний, врач обязательно должен выявить точную причину появления шумов и найти оптимальное лечение хрипов в бронхах, которое устранит причины их появления.
Иногда нужно облегчить отхождение мокроты, иногда снять воспаление или спазм, но может потребоваться и хирургическое вмешательство.
Какими бывают хрипы
По звуку дыхания, шумам в бронхах и легких можно предварительно определить, что вызвало их появление. Пульмонологи, терапевты подразделяют хрипы и свисты при дыхании на:
- влажные и сухие;
- постоянные и возникающие периодически;
- шум на вдохе (инспираторный) или выдохе (экспираторный);
- высокие, низкие;
- свистящие.
Также важной характеристикой служит мелкопузырчатость, среднепузырчатость и крупнопузырчатость звуков.
Вязкий секрет, выделяемый бронхами, слизь или кровь при прохождении через них воздуха наполняются им, а затем лопаются, издавая своеобразные звуки, похожие на звуки лопающихся пузырьков (в грудине, по словам пациентов, словно что-то булькает).
Важнейшими для врачей при простудных заболеваниях становятся хрипы сухие и влажные.
- Сухие хрипы в легких: воздух проходит по бронхам с большим скоплением слизи, отеком или новообразованием. Возникает такой шум, похожий на свист, при воспалительном процессе в бронхах (бронхите), астме, слышен с обеих сторон. При бронхите характерен для начальной стадии болезни, постоянно меняется тембр звучания, может исчезнуть после того, как больной прокашляется. Односторонние сухие хрипы слышатся в случае, если повреждено легкое, в нем есть каверна (туберкулез).
- Влажные хрипы: большое скопление мокроты, слизи вызывают шум, похожий на бурление воздуха, выдуваемого сквозь трубочку в воду. Обычно слышны на вдохе. При появлении продуктивного кашля хрипы исчезают, поэтому главной задачей врачей считается разжижение скопившейся мокроты для облегчения ее выведения, чтобы не допустить застойных явлений, размножения вредоносных микроорганизмов и их распространения по дыхательной системе, что вызывает серьезнейшие осложнения в виде пневмонии, абсцессов в легких.
Слышимый даже на расстоянии звуквлажного хрипа в легких говорит о серьезных осложнениях, вероятном отеке легкого, если же звуки слышны вне бронхиального древа, это может говорить о появлении полости в легком, вызванном опухолевым процессом, туберкулезом, абсцессом.
Не только такие характеристики, как влажные или сухие хрипы, но множество других, в том числе локализация и тембр звучания шумов, частота их появления имеют важное значение в диагностике заболевания.
Самодиагностика неэффективна, а зачастую опасна, так что все жалобы, непонятные и неприятные ощущения нужно описывать специалистам, чтобы облегчить постановку диагноза, четко определить круг необходимых исследований.
Как лечат хрипы в легких и кашель
Появление любых хрипов в легких означает патологический процесс, чаще всего воспаление, поэтому нужно обязательно пройти обследование, сдать все рекомендованные врачом анализы. Главным в любом случае считается лечение основного заболевания.
При сухом хрипе, если они означают начало заболевания, медики рекомендуют принимать средства для борьбы с воспалительным процессом, для разжижения мокроты. Хороший эффект показывают бронхолитики, которые помогают и в случае аллергической реакции при астме.
Когда сухие хрипы меняются на влажные, появляется продуктивный кашель, состав препаратов при лечении меняется, чтобы добиться облегчения выведения мокроты из организма на отхаркивающие. В их числе муколитики Лазолван, Бромгексин, Мукалтин и другие.
При изнуряющем кашле прописывают лекарства, воздействующие на кашлевой центр, а в особенно тяжелых случаях – антибиотики, предупреждающие развитие пневмонии.
Важно: Кашель и хрипы при дыхании могут иметь самую разную этиологию, особенно у детей, поэтому не нужно самостоятельно начинать печение. Если слышны хрипы при дыхании у взрослого или ребенка, при этом явно угнетено дыхание, меняется цвет слизистых, кожных покровов, срочно нужен врач.
Не стоит самостоятельно начинать прием препаратов даже при сильных хрипах при дыхании и кашле с отхождением мокроты, чтобы врач смог ясно видеть картину болезни. Смазанные симптомы могут стать причиной неверно поставленного диагноза, и назначенное лечение окажется неэффективным.
Лечение народными методами
Среди рецептов народной медицины есть множество посвященных тому, как лечить хрипы при дыхании и кашель у детей и взрослых.
- Лимон, имбирь, мед: измельчить вместе с кожурой 1 лимон, корень имбиря размером около 5 см и диаметром 1,5 см, добавить 0,5 ст. меда, дать настояться в течение суток. Принимать по 1 ст. л. ежедневно для профилактики при склонности к простудам и бронхитам, по 1 ст. л. смеси 3 раза в день при хрипах в верхних дыхательных путях. Это отличное иммуностимулирующее и противовирусное средство.
- Редька и мед: одно из лучших и популярных народных средств, когда задумываются, чем лечить хрипы у ребенка, отличный муколитик, к тому же крайне простой в приготовлении. В хорошо отмытой черной редьке сделать отверстие в сердцевине, куда влить 1 ст.л. меда. Выделяющийся при этом сок приятен на вкус, так что его с удовольствием пьют даже малыши. Давать по 1 ч.л. 2-5 раз в день. Можно просто натереть редьку, отжать сок, смешать с медом, это немного снижает эффективность, зато применять можно сразу.
- Горячее молоко: нагреть до 40 градусов молоко, растворить в нем 1 ч.л. меда, пить по 3-4 раза в день. При сухих хрипах и боли в горле можно добавить 1 ч.л. сливочного масла, это обезболит и снимет воспаление.
- Отвары таких трав, как мать-и-мачеха, ромашка, тысячелистник, зверобой, отлично помогают справиться с хрипами и воспалениями.
- Эффективен мед из одуванчиков, когда майские цветы засыпают в банке сахаром, полученный сироп, похожий на мед, хранят в холодильнике, принимают по 1 ч.л. 3 раза в день.
- Пить вообще рекомендуется как можно больше: горячие отвары, морсы, кисели помогают разжижать мокроту, насыщают организм необходимыми витаминами.
Важно: настаивая редьку с медом, следует помнить, что этот состав не рекомендуется при гипертонии и сердечно-сосудистых заболеваниях, так что лучше посоветоваться с врачом перед применением.
Ингаляции, тепло, прогревания грудной клетки помогут справиться с простудными явлениями при отсутствии температуры.
Профилактика, основные правила и методы
После выздоровления крайне важно беречь свой организм от переохлаждений, потому что ослабленный иммунитет будет не в состоянии адекватно отреагировать на новую угрозу.
Нельзя прерывать лечение, как только исчезли хрипы в грудной клетке, курс лечения нужно обязательно довести до конца, чтобы избежать рецидивов и осложнений.
Залогом успешной профилактики станут:
- правильное питание: организм нуждается в витаминах и минералах, чтобы иммунитет мог противостоять болезням;
- закаливание – не обливание холодной водой, а постепенное приучение к низким температурам, ее перепадам;
- посильные физические нагрузки, бег и плавание, укрепляющие легкие, увеличивающие их объем;
- полноценный отдых, прогулки перед сном, проветривание помещения на ночь;
- в сезоны простуд обязательно стоит пропивать курс иммуностимуляторов;
- отличные результаты показывает дыхательная гимнастика: специальный комплекс упражнений, обучающий дышать правильно, для детей, которым сложно выполнять их, да и взрослым полезно будет 1 ежедневное упражнение: надуть 3-5 воздушных шариков.
Хрипы – неотъемлемая часть жизни курильщиков, с пагубной привычкой обязательно стоит расстаться, чтобы не заработать хронический бронхит или рак легких. Здоровый образ жизни, полноценное питание, занятия спортом помогут укрепить организм и избежать повторения болезни.
Важное значение имеет влажная уборка помещения, которую нужно проводить ежедневно, чтобы избавиться от пыли и вредных микроорганизмов.
Когда следует обращаться к врачу
Хрипы – признак явной патологии, поэтому медлить не стоит в любом случае.
- Если хрипы появились после простуды, на фоне высокой температуры, стоит вызвать участкового врача, чтобы исключить пневмонию и другие болезни, угрожающие жизни.
- Внезапное появление хрипов, затрудненное дыхание, слабость, потеря ориентации, головокружения – повод вызвать скорую помощь, речь может идти об анафилактическом шоке, кровотечении, инфаркте легкого или миокарда.
- Скорую требуется вызывать в любом случае, если хрипы наблюдаются у малыша первого года жизни, детей до 3 лет, так как просветы в бронхах у них крайне малы и любой воспалительный процесс может закончиться кислородным голоданием, удушьем.
Только медики могут правильно поставить диагноз после обследования, анализа крови, рентгеноскопии, поэтому чем раньше обратиться к ним, тем более благоприятен прогноз полного излечения.
К какому врачу обращаться
В любой клинике, поликлиниках есть специалисты, занимающиеся болезнями органов дыхания.
Малыша нужно показать педиатру, который и примет решение, к кому направить кроху: аллергологу, пульмонологу, фтизиатру или кардиологу.
Взрослым нужно посетить терапевта, который поставит диагноз и при необходимости даст направление к пульмонологу, аллергологу, фтизиатру, онкологу, другим специалистам.
Нельзя тянуть или спешить с выводами, современные методы диагностики и лечения помогают справиться с большинством болезней при своевременно начатом лечение.
Соблюдение всех рекомендаций, точное выполнение инструкций по приему лекарств, массажи, гимнастика ускорят выздоровление.
Любое заболевание оставляет след в организме, бронхиты и пневмонии тоже не проходят бесследно. И повторение заболевания будет неизбежным, если не изменить образ жизни, исключив все вредные факторы.
Причины и лечение хрипов в легких при дыхании
Хрипами в медицинской практике называются шумы, которые активно возникают при дыхательных движениях (вдохе и выдохе). Согласно данным медицинской статистики, встречается указанное состояние у каждого десятого человека.
Речь идет не о самостоятельном заболевании, а о проявлении, симптоме, который характеризует целую группу болезней пульмонологического, кардиологического и иного профилей. Это грозный симптом, который почти всегда указывает на обструкцию нижних дыхательных путей. Что же рекомендуется знать об описанном проявлении?
Кратко о причинах появления хрипов
Хрипы в легких или хрипы в бронхах возникают в результате сужения просвета анатомических структур, ответственных за проводимость атмосферного воздуха внутрь организма. Подобное явление называется обструкцией.
Часто итогом данного состояния выступает так называемый бронхоспазм: стеноз стенок бронхиального дерева.
Однако описанное состояние разнится по своей тяжести и может развиваться при самых разных заболеваниях.
Наиболее часто встречаются следующие патологические процессы:
В 100% случаев вызывает хрипы при дыхании. В ходе течения патологического процесса развивается бронхоспазм интенсивного характера. В отсутствии грамотного лечения и срочной медицинской помощи вполне возможен летальный исход от дыхательной недостаточности.
Для заболевания типична аллергическая либо инфекционная этиология, однако далеко не всегда имеет место подобное происхождение недуга. Протекает заболевание приступообразно.
Наиболее часто приступы возникают в ночное время суток, после пережитого стресса, физической активности. Это тяжелое и опасное заболевание, нередко приводящее к инвалидности и ограничениям в быту и профессиональной деятельности.
- Острая респираторная вирусная инфекция, она же ОРВИ.
Нужно четко разграничивать истинные и ложные хрипы в бронхах, которые возникают в трахее при ее обструкции. Наиболее часто речь идет о ложных хрипах, но это не аксиоматично.
При длительном либо тяжелом течении заболевания развивается картина истинной обструкции с тяжелыми нарушениями дыхания. Почти всегда осложнением острого респираторного заболевания выступает пневмония или, как минимум, бронхит. Потому нужно тщательно выполнять все рекомендации лечащего специалиста. Так риск становления неблагоприятных последствий будет минимален.
Воспалительное поражение бронхов. Для бронхита типична инфекционно-вирусная этиология. Часто заболевание выступает вторичным осложнением по отношению к острой респираторной инфекции.
В отсутствии лечения бронхит имеет свойство усугубляться, приводя к пневмонии (воспалению легких).
- Воспаление легких (пневмония).
Инфекционно-воспалительное заболевание легких, в ходе которого ткани парного органа подвергаются дистрофическим изменениям. Наблюдается отек, боли за грудиной (сильные), тяжелые нарушения дыхания, одышка, удушье, свистящие хрипы при дыхании у взрослого.
Наиболее выражена клиническая картина при двухстороннем поражении. Это наиболее опасная форма недуга.
Встречается сравнительно редко. Почти никогда не бывает первичным, Выступает осложнением прочих заболеваний, вроде пневмонии. Возможен при длительном контакте с вредными парами и иными токсичными веществами.
Провоцируется микробактерией туберкулеза, также известной как палочка Коха. Речь идет о сложном и комплексном недуге, способном привести к летальному исходу. На поздних стадиях болезнь приводит к расплаву легочной ткани.
Характеризуется недуг болями за грудиной, кашлем, кровохарканием, резкой утратой массы тела, одышкой, удушьем, влажными хрипами в легких. Без лечения легкие разрушаются буквально за несколько лет. Более того, возбудитель туберкулеза имеет свойство транспортироваться в иные ткани и органы, формирую очаги вторичного поражения.
- Сердечная недостаточность.
Сама по себе хрипами не характеризуется. Наиболее часто провоцирует становление вторичной застойной пневмонии и отека легких, вызывая типичную клиническую картину. К сожалению, не так-то просто выявить первопричину заболевания.
- Хроническая обструктивная болезнь легких.
Она же ХОБЛ. Чаще всего появляется у лиц, злоупотребляющих табачной продукцией. Может выступать осложнением длительно текущей бронхиальной астмы, нескорректированной медикаментозно. Существенно снижает качество жизни.
- Раковые поражения нижних дыхательных путей.
- Эмфизема легких и другие болезни.
Перечень причин весьма широк. Для выявления точной причины требуется проведение тщательной диагностики.
Хрипы без температуры с кашлем
Весьма красноречиво характеризуют невоспалительные заболевания аутоиммунного, аллергического либо иного деструктивного характера.
Сюда входят:
- Эмфизема легких (разрушение альвеол и заполнение полостей атмосферным воздухом).
- Бронхоэктатическая болезнь (в ходе процесса альвеолы заполняются гнойным экссудатом).
- Бронхиальная астма.
- Отек легких.
Для всех четырех заболеваний характерны с хрипы в легких без температуры.
Сухие хрипы
Под сухими хрипами подразумевают особый легочный звук. Сухие хрипы в легких развиваются в отсутствии возникновения экссудата (мокроты).
Наблюдаются при:
- Воспалении легких на ранних стадиях.
- Бронхиальной астме в начальный период приступа.
- Бронхите с легким течением.
- Эмфиземе.
- Хронической обструктивной болезни легких.
Влажные хрипы
Влажные хрипы можно определить как булькающие звуки при вдохе или выдохе. Развиваются они при наличии большого количества слизистого экссудата в нижних дыхательных путях.
Наиболее типичные заболевания:
- Бронхит с тяжелым течением.
- Воспаление легких на развитых стадиях.
- Бронхоэктатическая болезнь.
- Туберкулез.
- ОРВИ.
- Кашель курильщика (в данном случае имеет место своего рода защитная реакция организма).
Свистящие хрипы
Разновидность сухих хрипов. Развиваются при:
- Бронхиальной астме.
- Бронхите.
- Пневмонии.
- ХОБЛе.
Диагностически грань между описанными заболеваниями слишком тонка, чтобы по характеру свиста в легких при дыхании определить источник проблемы. Требуется прохождение тщательной диагностики.
Классификация хрипов
Одна классификация уже была приведена. Соответственно, можно выделить типы хрипов, в зависимости от их характера.
Диагностического значения указанная классификация почти не имеет. Далее, подразделить проявление можно по локализации процесса.
Соответственно, говорят о:
- Истинных хрипах, которые возникают в бронхах и легких.
- Ложных хрипах, локализация которых определяется в трахее или верхних дыхательных путях.
Наконец, в зависимости от типа звука в рамках влажных хрипов выделяют:
- Мелкопузырчатый звук.
- Среднепузырчатый звук.
- Крупнопузырчатый звук.
Данная классификация, в свою очередь, важна для выявления того или иного заболевания. Но своими силами справиться все равно не выйдет. Требуется помощь врача.
Диагностика
Диагностикой проблем с легкими и бронхами занимается специалист по пульмонологии. Если имеет место туберкулезное поражение дыхательных путей, требуется консультация практикующего фтизиатра.
Однако сказанное справедливо только для истинных хрипов. Ложные хрипы диагностирует и лечит отоларинголог. На первичном приеме врач проводит опрос пациента на предмет жалоб, их характера, степени и давности.
Важно собрать анамнез жизни и выявить следующие факторы:
- Жилищные условия.
- Тип хрипов и легочного звука.
- Характер профессиональной деятельности (присутствует или отсутствует вредность).
Точку в вопросе происхождения симптома призваны поставить объективные исследования.
Среди них наиболее часто практикуют:
- Ларингоскопию.
- Бронхоскопию. Это эндоскопическое исследование, в ходе которого специалист своими глазами может оценить состояние бронхов и легких, определиться с вероятным заболеванием и, при необходимости, взять образец для биопсии.
- Физикальное исследование.
- Рентгенографию грудной клетки или флюорографию.
- МРТ/КТ. Золотой стандарт в деле диагностики, однако, практикуется редко, ввиду высокой стоимости.
- Наконец, потребуется рутинное исследование легких и бронхов с помощью стетоскопа.
Комплекс указанных процедур достаточен для постановки точного и однозначного диагноза.
Терапия
Лечение хрипов в бронхах как таковое не требуется. Необходимо тщательно выяснить причину появления симптома и устранить первопричину.
Именно на это врач должен бросить силы.
Как правило, терапия консервативная, с применением препаратов нескольких фармацевтических групп:
- Противовоспалительных общего действия.
- Муколитиков (призванных разжижать мокроту и быстро эвакуировать ее из организма).
- Отхаркивающих, которые раздражают легкие и стенки бронхов, дабы быстрее эвакуировать слизистый экссудат из дыхательных путей.
- Бронхолитиков. Назначаются при бронхиальной астме, дабы расширить суженные дыхательные структуры и облегчить поступление кислорода.
- Может потребоваться проведение лечебной бронхоскопии. Наиболее распространено подобное терапевтическое мероприятие при воспалении легких, бронхоэктатической болезни, хронической обструктивной болезни легких.
Терапевтическая тактика определяется лечащим специалистом.
Профилактические мероприятия
Профилактика необходима не для предотвращения хрипов, а для предотвращения тех заболеваний, которые вызывают описанный симптом.
Специфические способы профилактики включают в себя:
- Отказ от табакокурения. Сигареты — враг здоровых легких и дыхательной системы вообще. Отказ от табака может стать хорошим подспорьем.
- Отказ от злоупотребления алкогольными напитками. Максимум, сколько можно выпить в сутки — 50 мл красного вина.
- Предотвращение переохлаждения. Переохлаждение влечет за собой частые острые респираторные заболевания. Чем это чревато — уже было сказано.
- Также стоит своевременно лечить все заболевания пульмонологического и кардиологического профилей.
Хрипы в легких — неспецифический признак, способный указывать на самые разные недуги. Причины многообразны и включают в себя как заболевания пульмонологического, так и недуги кардиологического, гастроэнтерологического свойства. Лечить и диагностировать исходный фактор рекомендуется под контролем грамотного врача. Своими силами сделать нельзя ничего.
Причины появления хрипов на вдохе и выдохе в легких
Хрипы в легких это патологические шумы, возникающие при дыхании. Данный признак чаще всего свидетельствует о воспалительных заболеваниях бронхолегочной системы, но также может быть симптомом патологий, которые не связаны с легкими или бронхами.
Установление первоочередной причины появления посторонних шумов при дыхании является важным этапом лечения, так как не всегда устранить заболевание можно противовоспалительными или иными препаратами.
Причины хрипов в легких
В большинстве случаев хрипы в легких возникают при пневмониях, бронхопневмониях и острых или хронических бронхитах. При этом страдает и общее самочувствие человека.
Мы привыкли, что пневмония обязательно должна сопровождаться подъемом температуры, но есть атипичные формы воспаления легких, при которых клиническая картина отличается от стандартного протекания болезни. Поэтому хрипы в легких у некоторых людей могут быть без подъема температуры.
Помимо воспаления легких патологические шумы в органе выслушиваются и при других болезнях, имеющих внелегочное происхождение. Это инфаркт миокарда, сердечные патологии, отек легкого в результате тяжелого протекания соматических заболеваний.
Хрипы в разных отделах легкого выслушивают при:
- Туберкулезе.
- Абсцессе.
- Пневмофиброзе.
- Злокачественных новообразованиях.
При этих состояниях температуры может и не быть или она возникает периодически и повышается до 37 или чуть выше градусов. В основе образованиях патологических шумов два процесса:
- Изменение нормального состояния стенок бронхов, что приводит к сужению их просвета.
- Нахождение в сосудах дыхательной системы слизистых или гнойных масс с разной степенью их вязкости. Этот секрет под воздействием воздуха начинает колебаться, и возникают разные звуки во всех отделах легких и в бронхах.
При прослушивании дыхательной системы врач обращает внимание на разные характеристики звуков, то есть на их звучание. Когда они образуются – на вдохе или выдохе. Диагностическое значение имеет и как проявляются влажные хрипы в легких. Они могут быть крунопузырчатыми, средними и мелкими.
При некоторых патологиях бронхолегочной системы хрипы выслушиваются только на выдохе, при других на вдохе, также могут быть смешанные хрипящие звуки. При бронхиальной астме отчетливее слышны звуки на выдохе, их называют экспираторными. Хрипы на вдохе обозначаются термином инспираторные, выслушать их отчетливо можно при остром бронхите.
Длительные хрипы в нижних отделах органа могут выявляться у взрослых людей при хронической обструктивной болезни легких. Данное заболевание часто регистрируется у тех, кто курит, кто не до конца прошел лечение по поводу хронического бронхита. Причем изменения в дыхании появляются и без температуры.
Что делать при хрипах в легких
Услышав любые хрипы в легких первое, что необходимо сделать, это обследоваться. Врач начинает выяснять причины болезни с выслушивания бронхолегочной системы.
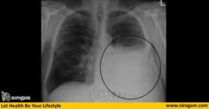
На основании полученных данных лечение назначается сразу же или после дополнительной диагностики. Чаще всего используют рентгенографию бронхов и легких, этот метод с высокой точностью позволяет установить бронхит или пневмонию.
Дополнительно назначаются анализы крови, взятие мокроты на определение специфических возбудителей болезни.
При неясном диагнозе и подозрении на новообразование в полости органа в настоящее время используется КТ, то есть послойная компьютерная томография легких.
Лечить самостоятельно хрипы в легких категорически нельзя. Прием разных медикаментов может заглушить воспалительный процесс, но при этом справиться со всеми изменениями и осложнениями вряд ли удастся. А это практически всегда приводит к переходу остро протекающей болезни в хроническую, которая потребует длительной терапии.
Лечение воспалительных патологий в легких
Так как хрипы в легких чаще всего возникают при воспалении органа, то лечение начинается с назначения антибиотиков. При пневмониях в большинстве случаев применяют Канамицин, Цефтриаксон. Лекарства предпочитают вводить в виде инъекций, эта форма медикаментов усваивается организмом эффективнее.
Антибактериальное лечение назначается и в том случае, если воспаление протекает без температуры. Помимо этой группы препаратов применяются лекарства, способствующие разжижению вязкой и плотной гнойной мокроты. Это Цистеин, Мукобене, Мукомист.
После того, как мокрота станет менее вязкой, назначают препараты для усиления отхаркивания – АЦЦ, Мукалтин, Лазолван. Лечение пневмонии успешнее протекает, если медикаментозную терапию сочетать с физиопроцедурами и массажем.
Пользу при лечении воспалительных заболеваний бронхолегочной системы могут принести и народные средства. Если нет температуры, то можно ставить на область грудной клетки и спины согревающие компрессы.
Под их воздействием кровообращение в бронхах усиливается, и они быстрее избавляются от размягченной слизи. Ингаляции над паром также помогают уменьшить вязкость гнойного секрета. Детям и взрослым можно пить отвары противовоспалительных и отхаркивающих трав.
Иммунитет повышают витамины, полноценное питание, продукты пчеловодства.
В период выздоровления нужно избегать сквозняков и переохлаждений. Ребенка лучше не водить в детское учреждение еще как минимум неделю после курса осинового лечения, особенно это касается сезона простуд. Закаливания и занятия спортом повышают работу иммунной системы, что приводит к уменьшению количества простудных и респираторных заболеваний.
Клокочет в грудной клетке: причины
Ситуаций, при которых необходима помощь специалиста по респираторной медицине, очень много. Они включают не только простудные заболевания, но и более серьезные случаи. Некоторых людей, например, беспокоят клокочущие звуки в груди. Но с вопросами о том, почему они возникают, о каких нарушениях свидетельствуют и чем устраняются, поможет разобраться лишь врач.
Причины и механизмы
Хрипы, которые ощущает сам пациент или слышат на расстоянии окружающие, возникают при многих заболеваниях. Но если они приобретают клокочущий характер, то ситуация, скорее всего, принимает серьезный оборот.
Это говорит о нарушении вентиляции из-за скопления жидкости в альвеолах, а также мокроты в трахее, крупных бронхах или полостях. Воздух, проходя сквозь отделяемое, приводит к образованию пузырьков или натягивает пленку слизи.
Те, в свою очередь, лопаются с образованием характерного «клокочущего» звука. Ситуаций, когда подобное встречается в медицинской практике, немного:
- Отек легких.
- Бронхоэктатическая болезнь.
- Опухоли бронхов.
Риск появления выраженных хрипов возрастает у лиц с ослабленным дренированием трахеобронхиального дерева: при тяжелом состоянии и постельном режиме, угнетении кашлевого рефлекса. Это приводит к скоплению большого объема мокроты, которая задерживается в дыхательных путях и провоцирует клокочущее дыхание в груди.
Симптомы
Основным источником диагностических предположений для врача на первичном этапе становится клиническая картина. Именно анализ симптомов дает возможность сделать предварительное заключение. Жалобы и другие сведения, полученные от больного, имеют субъективный характер, но благодаря осмотру, аускультации и перкуссии их можно объективизировать. Так поступают в любом из случаев.
Отек легких
При отеке легких в альвеолах скапливается большое количество жидкости. Именно это и становится причиной булькающих звуков, которые нередко можно услышать и на расстоянии. К такому состоянию приводит острая сердечная недостаточность с застоем крови в малом круге. Приступ начинается остро, в ночное время или днем на фоне физической нагрузки. Удушье сопровождается следующими признаками:
- Кашель с выделением пенистой мокроты, окрашенной в розовый цвет.
- Дистанционные клокочущие хрипы (слышные на расстоянии).
- Давящие боли в грудной клетке.
- Поверхностное дыхание.
- Ослабление пульса.
- Падение давления.
Пациент принимает вынужденное положение, кожа бледнеет и покрывается липким потом, лицо становится цианотичным. Характерны возбуждение и страх смерти. При аускультации в легких определяются множественные мелкопузырчатые хрипы, ослабление дыхания. Перкуторный звук укорочен.
Когда у человека клокочет в грудной клетке, необходимо прежде всего исключить острое состояние, связанное с отеком легких.
Бронхоэктатическая болезнь
Ощущение, будто бурлит в груди, может появиться и при бронхоэктатической болезни. В крупных расширениях скапливается гнойная мокрота, которая не может адекватно дренироваться. А при дыхании там возникают турбулентные потки воздуха, которые, проходя через гнойный экссудат, и дают указанный эффект. Клинически бронхоэктазии также проявляются:
- Кашлем.
- Выделением большого объема мокроты (особенно по утрам).
- Одышкой.
- Болями в грудной клетке.
- Кровохарканьем.
При обострении воспалительного процесса в бронхах повышается температура, присоединяются явления интоксикации, нарастают вентиляционные расстройства, учащается кашель, мокрота становится гнойной.
Хроническое течение болезни сопровождается дыхательной недостаточностью: бледность кожи, акроцианоз, пальцы в виде барабанных палочек, ногти похожи на часовые стекла.
Патология может осложняться легочным кровотечением, пневмотораксом.
Опухоли бронхов
Новообразования, растущие в просвет бронхов, также становятся источником клокочущих звуков в груди. Хрипы могут выслушиваться у самого рта (при локализации опухоли в верхних отделах) или определяться при аускультации. Помимо этого, пациентов беспокоят другие симптомы:
- Частый надсадный кашель.
- Выделение мокроты (слизисто-гнойной).
- Кровохарканье.
- Одышка.
По мере развития опухоль все сильнее перекрывает бронхиальный просвет, что приводит к развитию воспалительного процесса (пневмония) и дыхательной недостаточности.
Появляются общие нарушения в виде лихорадки, потливости и недомогания. Опухолевая интоксикация также характеризуется покраснением кожи, чувством жара, головокружениями (карциноидный синдром).
При раке рано возникает болевой синдром, затем прогрессируют анемия и общее истощение.
Опухоли, перекрывающие просвет дыхательных путей – не менее важная причина клокочущих звуков в грудной клетке.
Дополнительная диагностика
Определить, где находится источник нарушений и чем представлен патологический процесс, помогают инструментальные и лабораторные методы. После клинического обследования врач назначит больному дополнительные процедуры:
- Общий анализ крови.
- Анализ мокроты (клинический, посев).
- Рентгенография грудной клетки.
- Компьютерная томография.
- Бронхография.
- Бронхоскопия с биопсией.
В некоторых случаях диагностика имеет исключительно клинический характер. Это касается ситуаций, когда решение о лечебных мероприятиях должно приниматься в ургентном порядке (отек легких). Остальные же болезни требуют подтверждения.
Лечение
Терапевтическая программа при каждом заболевании имеет свои особенности. Чтобы не клокотало в грудной клетке при отеке легких, необходимо разгрузить малый круг кровообращения, улучшить сократительную функцию сердца и снизить проницаемость альвеолярной мембраны. Для этого в неотложном порядке требуется дифференцированное введение следующих препаратов:
- Мочегонные (фуросемид).
- Наркотические анальгетики (морфин).
- Глюкокортикоиды (преднизолон).
- Периферические вазодилататоры (нитроглицерин).
Пациенту придается положение сидя с опущенными ногами, на них для перераспределения крови поочередно могут накладывать венозные жгуты.
При бронхоэктатической болезни показаны антибиотики, муколитики, ферментные лекарства, постуральный дренаж.
А вот опухолевые процессы в респираторном тракте лечатся хирургическим путем (параллельно с лучевой и химиотерапией при злокачественных новообразованиях).
Хрипы в легких – причины, виды и лечение
Хрипы в легких – это нездоровые дыхательные шумы, которые исходят из одного или обоих легких и имеют прерывистый характер, различную частоту. Они часто вызваны респираторными заболеваниями и могут ощущаться при вдохе или при выдохе, с кашлем или без. Человек может иметь более заметные влажные хрипы в положении лежа. Это состояние может сопровождаться сухим кашлем.
Патологические шумы в легких в большинстве случаев можно услышать только с помощью стетоскопа при медицинском осмотре. Поэтому не стоит пытаться заниматься самодиагностикой.
Когда хрипы наблюдаются в обоих легких, то упоминаются как двусторонние. И когда они происходят из основания легкого, то известны как базальные или хрипы в базальных отделах. При этом хрипы обусловлены сужением дыхательных путей, наличием содержимого в альвеолах или отсутствием аэрации во время выдоха.
Хрипы распространены у людей с респираторными состояниями, такими как пневмония, фиброз легких, бронхит и другие заболевания.
Они чаще встречаются во время вдоха, чем на этапе выдоха. В большинстве случаев хрипы связаны с воспалением и инфекцией мелких бронхов, альвеол и бронхиол. Если хрипы не уменьшаются после кашля, то иногда могут быть также признаком отека легких – состояния, характеризующегося жидкостью в альвеолах из-за сердечной недостаточности.
Хрипы легких можно условно разделить на слабые, средние и сильные. Слабые хрипы могут быть мягкими, высокими по звучанию и очень короткими. С другой стороны, сильные хрипы – более громкие, более низкие по звучанию и часто длятся дольше.
Что означают?
Хрипы в легких можно назвать аномальным шумом, услышанным из одного или обоих легких. Большинство из них образуется у основания легких и могут быть слышны только при помощи стетоскопа. Они обычно отражают накопление слизи, гноя или жидкости в дыхательных путях и легких.
Хрипы часто означают наличие респираторных заболеваний, таких как пневмония, бронхит и другие. Также они могут свидетельствовать о серьезном сердечном заболевании, которое вызывает накопление или блокирование кровотока между сердцем и легкими.
Этот симптом достаточно серьезен и может стать опасным для здоровья и жизни, срочная медицинская диагностика с учетом истории болезни, анализа крови и рентгеновского исследования может потребоваться для выявления и лечения основной его причины.
В медицинской терминологии
На самом деле такое понятие, как «хрипы в легких» (англ. “rhonchi”, «rales”) в медицине большей части Европы, Северной Америки и Австралии уже десятки лет не считается подходящим для описания аускультации грудной клетки.
Основной причиной стала путаница его применения в медицинской литературе. Более подходящими сейчас являются такие термины, как крепитация легких, свистящее дыхание, шум трения плевры.
Поэтому данную статью нельзя рассматривать, как руководство для медицинских работников. В ней часть терминологии является не очень точной или не относится к отечественной медицине (взятая с англоязычной медицинской литературы). Но это дало возможность сделать статью более понятной и простой.
Какие бывают?
Хрипы в легких могут быть разделены на четыре типа, все из которых могут помочь в диагностике того, что может быть основной причиной. Эти типы:
- Влажные хрипы или крепитация легких (rales), которые можно описать как грохочущие, булькающие или пузырящиеся звуки, чаще возникающие в конце вдоха.
- Свистящие (sibilant wheezes) – высокие сухие звуки из дыхательных путей при их сужении. Звуки настолько высоки, что их можно услышать без стетоскопа.
- Скрипящие (stridor) – похожие на свистящие, являющиеся результатом сужения или закупорки верхних дыхательных путей.
- Сухие (rhonchi) – грубые дребезжащие респираторные звуки , обычно вызываемые выделениями в бронхиальных дыхательных путях. Обычно сильнее слышатся во время выдыхания.
Обратите внимание, что перевод на русский язык этой классификации весьма приблизительный. Более правильными являются английские варианты названий в скобках.
Также отдельно встречается описание звука трения плевры. Это звук, похожий на скрипение кожи, который часто сопровождается сильной болью, мешающей дыханию. В норме плевра покрыта защитной слизью, но при воспалении эта оболочка может склеиваться, тогда и возникает характерный звук на аускультации (прослушивании).
Хрипы и сухой кашель
Сухой кашель – это кашель, не сопровождающийся выделением мокроты (вязкого вещества, выделяемого слизистой оболочкой дыхательных путей в избытке при простуде).
Сухой кашель, сопровождающийся хрипами в легких, может быть симптомом целого ряда проблем со здоровьем. Для некоторых людей это может быть результатом экологических раздражений, таких как аллергия или вдыхание очень сухого, нагретого воздуха.
Если сухой кашель становится хроническим, это может быть признаком других состояний, таких как грипп, коклюш, вирусная инфекция или побочный эффект приема лекарств от болезней сердца.
Хрипы при выдохе
Звук в легких при выдохе в английском языке в народе часто описывается как «предсмертный хрип» («death rattle»). Однако это может быть вызвано разными состояниями, некоторые из них неопасны. Хотя более нормально иметь при вдохе, чем при выдохе.
Хрипы при выдыхании могут быть признаком пневмонии, закупорки или скопления жидкости в легких. С другой стороны, во время вдоха они могут быть признаком астмы, бронхита или других причин.
Срочный медицинский диагноз может потребоваться для определения того, что может быть основной причиной. Необходимо обратиться к врачу, как только Вы заметите такой шум, исходящий из обоих или одного из легких.
Хрипы в положении лежа
Как уже упоминалось, легкие хрипящие звуки могут быть услышаны только с помощью стетоскопа при медицинском обследовании. Однако некоторые случаи могут быть настолько серьезными, что их можно услышать даже без этого инструмента.
Хрипы в легких в лежачем положении могут указывать на блокировку носовых ходов и дыхательных путей слизью. Во время этого легкие находятся под повышенным давлением, они со временем разрушаются, вызывая состояние, известное как ателектаз.
В таких случаях могут наблюдаться другие симптомы, такие как одышка, боль в груди, одышка, кашель и ощущение удушья. Если присутствуют какие-либо из этих признаков, следует обратиться за неотложной медицинской помощью.
1. Бронхит
Бронхит – это воспаление бронхов. У большинства людей острый бронхит развивается после простуды. Часто это происходит через день или два в зависимости от того, насколько сильна иммунная система организма.
Хронический бронхит не проходит без медицинской помощи. Общие симптомы включают кашель, хрипы, усталость, одышку и озноб. Нужно обратиться к врачу, если какой-либо из этих симптомов продолжается длительное время.
2. Обструктивное заболевание легких
Это серьезное заболевание, которое требует как можно более быстрого лечения. Обструктивное заболевание легких, такое как астма или кистозный фиброз, может вызвать хрипы и свистящее дыхание. При отсутствии лечения оно может привести к более тяжелым состояниям, таким как бронхоэктазия.
Эти болезни влияют на дыхание и могут вызвать накопление углекислого газа и жидкостей внутри легкого. Непрерывное наращивание этих продуктов может привести к образованию рубцов, что может проявляться с помощью шумов, исходящих из дыхательных путей.
3. Интерстициальное заболевание легких
Это заболевание связано с воздушными мешочками и тканями в легких. Оно включает такие условия, как саркоидоз и ревматоидный артрит. Как известно, эти состояния вызывают образование рубцов в легких, в которых скапливается жидкость, вызывая хрипы.
4. Сердечная недостаточность
Сердечная недостаточность, вызванная ослаблением сердечных мышц, вирусной инфекцией или генетическим расстройством, может также вызвать звуки в легких. Поскольку функция сердца нарушена, поддерживается повышенное давление в артериях между сердцем и легкими, что может привести к просачиванию крови в легкие.
5. Пневмония
Пневмония – это инфекция, которая вызывает воспаление в одном или обоих легких (односторонняя или двусторонняя). Когда пневмония является причиной хрипов, обычно наблюдается высокая температура, кашель, усталость, головная боль и сильные боли в груди.
По словам клиники Майо, антибиотики могут использоваться для лечения бактериальной пневмонии. Аспирин и ибупрофен может использоваться для облегчения боли в груди. Рекомендуется обратиться к врачу за надлежащим лечением и диагнозом.
6. Отек легких
Легочный отек вызван наличием в них избытка жидкости, которая накапливается в воздушном мешочке, затрудняя дыхание. Общей причиной накопления жидкости является проблема с сердцем, но также это может быть вызвано другими причинами, например, пневмонией, травмой грудной клетки и воздействием определенных токсинов.
7. Легочный фиброз
Легочный фиброз происходит из-за образования рубцов в легких (обычно после воспаления). Это состояние может проявляться в виде затрудненного дыхания, дискомфорта в груди и усталости. Стероиды и природные аминокислоты могут использоваться для лечения этой проблемы.
Другие варианты лечения включают кислородную терапию, реабилитацию легких и поддержку дыхания. В тяжелых случаях хирургическая процедура может быть использована для удаления фиброзных образований и устранения других симптомов.
8. Ателектаз
Ателектаз возникает, когда часть легкого разрушается. Это затрудняет вдох и выдох. Ателектаз может быть следствием травмы или основной инфекции легких.
Лечение этого состояния необходимо начинать на ранней стадии. Оно приведет к разблокированию дыхательных путей, помогая открыть разрушенное легкое.
9. Астма
Астма – это респираторное расстройство, которое заставляет дыхательные пути отекать и вырабатывать больше слизи. Данное заболевание характеризуется хрипами, затруднением дыхания, кашлем.
Для облегчения симптомов астмы, таких как кашель, хрипы и одышка, может использоваться ингалятор.
10. Инфекция легких
Вирусная инфекция в легких также может привести к шуму, одышке и кашлю из-за закупоривания, раздражения и воспаления дыхательных путей.
Хрипящий звук может быть результатом накопления жидкостей, слизи внутри легких. При легочной инфекции часто слышны звуки даже без стетоскопа.
Лечение
Лечение может варьироваться в зависимости от того, что является основной причиной. При диагностике состояния врач использует стетоскоп для прослушивания дыхания. Хотя и редко, в тяжелом случае хрипы иногда можно услышать без стетоскопа.
Чтобы подтвердить диагноз, доктору может потребоваться назначить рентгенографию грудной клетки, анализ крови, исследование мокроты или электрокардиограмму, чтобы проверить наличие нарушений работы сердца. Прекращение хрипов связано с устранением основной причины.
Когда причиной является хронические заболевания легких, то в дополнение к предписанному лекарству нужно внести некоторые изменения в образ жизни, чтобы контролировать симптомы. Это касается людей, которые курят. Общий вариант лечения может включать:
- Использование ингаляционных стероидов, чтобы уменьшить воспаление
- Кислородная терапия помогает облегчить дыхание
- Использование бронходилататора для расслабления и открытия заблокированных дыхательных путей.
Народные средства
Когда проблема сопровождается другими симптомами, такими как боль в спине, одышка или насморк, есть некоторые эффективные домашние средства, которые можно использовать для облегчения части этих симптомов. Если симптомы сохраняются, необходимо диагностировать и лечить основную причину как можно скорее.
1. Ингаляции паром
Ингаляции – один из лучших способов, которые можно использовать в этом случае. Влага и тепло помогут расщеплять и растворять слизь, блокирующую дыхательные пути.
- Взять таз или миску с горячей водой
- Добавить несколько капель масла эвкалипта
- Нагнуться над емкостью и накрыться сухим полотенцем, чтобы не потерять тепло или влагу
- Проводить процедуру до тех пор, пока не почувствуется облегчение.
2. Имбирь
Имбирь – отличное средство, которое нужно попробовать при лечении заболеваний дыхательных путей. Помимо укрепления иммунной системы для ускорения исцеления, он обладает противовоспалительными свойствами и полифенолами, которые могут помочь ингибировать производство слизи.
- Измельчить мелкие кусочки имбиря и поместить в стакан горячей воды
- Закрыть стакан и оставьте его на пять минут
- Добавить столовую ложку сырого меда (в идеале меда манука, хотя он очень дорогой) и выпить смесь
- Также можно жевать кусочек имбиря.
3. Яблочный уксус
Яблочный уксус является отличным противоотечным средством. Он помогает прореживанию слизи, что уменьшить скопление, вызывающее хрипы в легких. Это отличное народное средство при пневмонии.
- Добавить 2 столовые ложки уксуса в стакан горячей воды
- В раствор добавить столовую ложку меда
- Выпить смесь пока она горячая.
4. Лимон
Лимонный сок содержит лимонную кислоту, которая может помочь уменьшить густоту слизи. Это может помочь легко отделить ее от дыхательных путей, что избавит от шумов.
Потребление сока также поможет укрепить иммунную систему, благодаря витамину C. Можно съесть свежий лимон или выжать и выпить сок.
5. Мед
Мед может помочь разжижению слизи, чтобы разблокировать дыхательные пути, избавляясь от хрипящих звуков. Особенно полезным для этих целей считается особый продукт – мед манука, но он стоит намного дороже обычного, так как вес является импортным.
- Можно есть столовую ложку меда несколько раз в день
- Или смешать его с теплой водой, а затем пить эту жидкость.




