
Острый бронхит — одно из самых частых заболеваний дыхательной системы в детском возрасте. Многие родители считают, что болезнь можно вылечить в домашних условиях без консультаций врача, однако это чревато возникновением тяжёлых последствий, угрожающих жизни малыша. Особенно опасны бронхиты для новорождённых и грудничков. Своевременное обращение за медицинской помощью поможет предотвратить развитие осложнений у ребёнка.
Что такое острый бронхит
Острый бронхит — это заболевание органов дыхания, характеризующееся воспалительным процессом в бронхах (бронхиальном дереве) в результате воздействия различных причин (инфекций, аллергических агентов).
Интересно, что на сегодняшний день заболевания органов дыхания занимают лидирующие позиции среди болезней внутренних органов. У детей на долю патологий бронхо-лёгочной системы приходится около 50%.
При бронхите просвет бронхов заполняется слизью
Врачи отмечают, что острый бронхит у детей чаще всего возникает на фоне вирусных инфекций, таких как грипп или ОРВИ. Симптомы могут включать кашель, одышку, повышение температуры и общее недомогание. Важно отметить, что у детей бронхит может протекать более тяжело, чем у взрослых, из-за особенностей их дыхательной системы. Врачам рекомендуется проводить тщательное обследование, чтобы исключить более серьезные заболевания, такие как пневмония. Лечение обычно включает поддерживающую терапию, обильное питье и, в некоторых случаях, применение бронхолитиков или противовирусных средств. Специалисты подчеркивают важность своевременного обращения к врачу, чтобы избежать осложнений и обеспечить быстрое восстановление ребенка.

Причины
- Вирусы и бактерии:
- у новорождённых — это цитомегаловирус, герпес-вирус, энтеровирус;
- у малышей до 2 лет — аденовирус, респираторно-синцитиальная (РС) инфекция;
- у детей 2–5 лет — парагрипп, аденовирус, РС-инфекция, вирус гриппа;
- старше 5 лет — микоплазма, хламидия, коклюш, гемофильная палочка, риновирус, аденовирус.
- Аллергены (пыльца растений, пыль, шерсть животных).
Группы риска
К группе риска по заболеванию относятся следующие дети:
- «пассивные курильщики». Это малыши, родители которых курят. Вдыхая сигаретный дым, ребёнок получает дозу табачных смол, которые оседают на стенках бронхиального дерева и провоцируют воспалительный процесс. Такие бронхи более чувствительны к инфекциям;
- недоношенные;
- с врождёнными пороками развития внутренних органов;
- с ослабленным иммунитетом (врождённые или приобретённые иммунодефициты).
Острый бронхит у детей — это распространенное заболевание, которое вызывает беспокойство у родителей. Многие отмечают, что симптомы, такие как кашель, хрипота и затрудненное дыхание, могут проявляться внезапно и сопровождаться повышенной температурой. Врачи подчеркивают, что острый бронхит чаще всего возникает на фоне вирусных инфекций, и его течение может варьироваться от легкой формы до более серьезных состояний.
Лечение обычно включает поддерживающую терапию: обильное питье, ингаляции и, в некоторых случаях, использование противовирусных или противовоспалительных препаратов. Родители также делятся опытом о важности создания комфортной атмосферы для выздоровления — свежий воздух и увлажнение помещения играют ключевую роль. Однако, если симптомы сохраняются или ухудшаются, необходимо обратиться к врачу для исключения более серьезных заболеваний.
Виды
- Острый простой бронхит — заболевание бронхов, при котором нет симптомов обструкции (сужения просвета).
При остром простом бронхите явлений обструкции не наблюдается
- Острый обструктивный бронхит — присутствуют признаки обструкции бронхов. Состояние обусловлено спазмом мускулатуры бронхиального дерева (бронхоспазмом), отёком слизистой оболочки и (или) образованием большого количества слизи.
- Рецидивирующий бронхит — диагностируется в том случае, если болезнь повторяется более 3 раз в год. Рецидивы протекают без бронхоспазма и длятся в среднем около 2 недель.
- Бронхиолит — одно из самых тяжёлых воспалительных заболеваний нижних дыхательных путей (бронхиол), протекающее на фоне сильного обструктивного синдрома. Болезнь чаще встречается у детей раннего возраста (до 3 лет).
Бронхиолит — это воспаление самых мелких бронхов — бронхиол
Симптомы
- Кашель. В начале заболевания сухой, со 2–3 дня становится влажным, постепенно увеличивается количество отделяемой мокроты.
- Боль и чувство давления за грудиной. Свидетельствуют о воспалительном процессе в трахее (трахеобронхит).
- Повышение температуры тела (необязательный симптом). Происходит при вирусном или бактериальном бронхите.
Важно знать, что при аллергическом бронхите температура тела не повышается.
- Одышка. Появляется при обструктивном бронхите, когда мышцы бронхов спазмированы, просвет закупорен обильной мокротой. Ребёнку при этом тяжело дышать. При вдохе напрягаются межрёберные мышцы, диафрагма, раздуваются крылья носа.
- Признаки интоксикации (отравление детского организма токсинами происходит при тяжёлых вирусных инфекциях — грипп, парагрипп):
- слабость;
- бледность кожных покровов;
- снижение аппетита;
- тошнота;
- мышечная боль.
Особенности протекания заболевания у новорождённых и грудничков
У грудничков, ввиду особенностей строения бронхо-лёгочной системы (узкие и мелкие бронхи), чаще всего развивается бронхиолит, при котором наблюдаются следующие симптомы:
- Повышение температуры тела с первых дней заболевания.
- Обильные прозрачные выделения из носа.
- Сухой, хриплый кашель.
- Затруднение или отказ ребёнка от кормления (связано с одышкой).
- Учащение дыхания и одышка, свистящее дыхание.
- «Вздутие» грудной клетки.
- Приступы апноэ (остановки дыхания).
Диагностика
Диагноз острого бронхита выставляется на основании симптомов, а также данных общего осмотра. При аускультации (прослушивании дыхания через фонендоскоп) обнаруживаются хрипы, которые могут исчезать или менять локализацию после кашля.
Лабораторные и инструментальные методы обследования:
- ОАК (анализ крови клинический). Изменения в анализе крови непостоянны и малоинформативны. Они зависят от причины заболевания. При вирусном бронхите отмечается лимфоцитоз (повышение количества лимфоцитов), при бактериальном — лейкоцитоз (повышение количества лейкоцитов), сдвиг лейкоцитарной формулы влево (увеличение числа палочкоядерных нейтрофилов).
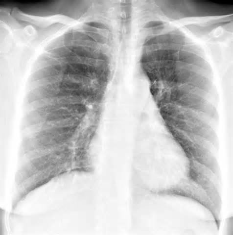
- Рентгенография органов грудной клетки проводится только при подозрении на пневмонию или аспирацию (проникновение в дыхательные пути инородного тела). А также при наличии длительного кашля (более 2 недель) или односторонних хрипов.
- Бронхоскопия проводится по строгим показаниям. Среди них затяжное течение заболевания с трудно отделяемой мокротой, осложнения бронхита, подозрение на аспирацию инородного тела.
На рентгенограмме будут признаки бронхита (усиление легочного рисунка)
Доктор Комаровский о бронхите у детей – видео
https://youtube.com/watch?v=UdnChZSgfgk%3Fenablejsapi%3D1%26autoplay%3D0%26cc_load_policy%3D1%26cc_lang_pref%3D%26iv_load_policy%3D3%26loop%3D0%26modestbranding%3D1%26rel%3D1%26fs%3D1%26playsinline%3D1%26autohide%3D1%26theme%3Ddark%26color%3Dred%26controls%3D1%26
Лечение
В некоторых случаях возможна терапия острого бронхита в домашних условиях, однако есть чёткие показания, при которых заболевание следует лечить в стационаре. К ним относятся:
- тяжёлые формы болезни с признаками интоксикации;
- бронхиты на фоне сопутствующих патологий (врождённые аномалии лёгких, заболевания крови, сердечно-сосудистой или нервной системы);
- осложнённые формы патологии (с сильным обструктивным синдромом или трудно отделяемой мокротой);
- возраст ребёнка до года;
- бронхиолит;
- часто повторяющиеся бронхиты.
Лечение детей с острым бронхитом включает в себя:
- Медикаментозную терапию.
- Коррекцию образа жизни и питания. Рацион детей с бронхитом должен быть полноценным, насыщенным витаминами. Обязательно присутствие в нём фруктов и овощей.
- Создание оптимального климата в помещении. Необходимо регулярно проветривать комнату.
- Исключение всех возможных аллергенов.
Интересно, что мокрота на 95% состоит из воды. При недостатке жидкости в организме ребёнка мокрота становится густой и трудно отделяемой. Поэтому малышу следует пить в 1,5–2 раза больше суточной потребности.
Медикаментозная терапия
Учитывая то, что в 90% случаев причиной бронхита является вирусная инфекция, терапию целесообразно начинать с противовирусных препаратов. В этих целях в педиатрии используются иммуномодуляторы, такие как Арбидол, Интерферон, Гропринозин. Однако есть чёткие показания, при которых обязательно назначение антибиотика:
- возраст ребёнка до 6 месяцев;
- осложнённое течение бронхита (с тяжёлой интоксикацией, обструкцией);
- родовые травмы;
- недоношенность;
- гипотрофия (малый вес);
- обострение других хронических заболеваний на фоне острого бронхита (отит, тонзиллит, синусит);
- присоединение бактериальной инфекции.
Антибактериальные средства, применяемые при остром бронхите — таблица
|
Группа препаратов |
Название препарата |
Особенности назначения |
Противопоказания |
С какого возраста разрешены |
|
Амоксициллины |
Аугментин |
Являются антибиотиками выбора при бронхите, то есть назначаются в первую очередь. |
|
с 2 месяцев |
|
Флемоксин солютаб |
|
с рождения |
||
|
Цефалоспорины |
Супракс |
Назначаются в качестве препаратов первой линии либо лекарственных средств резерва, когда амоксициллины оказались неэффективными. |
|
с 6 месяцев |
|
Зиннат |
|
|
||
|
Макролиды |
Сумамед |
Макролиды являются антибиотиками широкого спектра действия, то есть оказывают эффект на многих бактерий |
аллергия на макролиды |
детям с массой тела свыше 10 кг |
Доктор Комаровский о необходимости назначения антибиотиков при бронхите — видео
https://youtube.com/watch?v=g7dAKcw66Vo%3Fenablejsapi%3D1%26autoplay%3D0%26cc_load_policy%3D1%26cc_lang_pref%3D%26iv_load_policy%3D3%26loop%3D0%26modestbranding%3D1%26rel%3D1%26fs%3D1%26playsinline%3D1%26autohide%3D1%26theme%3Ddark%26color%3Dred%26controls%3D1%26
Препараты, применяемые для симптоматического лечения – таблица
|
Группа препаратов |
Название препарата |
Действие |
Противопоказания к применению |
С какого возраста разрешён |
|
Средства от кашля |
Флавамед (амброксол) |
уменьшает вязкость слизи |
индивидуальная непереносимость амброксола |
с рождения |
|
Флюдитек |
|
|
с 2 лет |
|
|
Бронхипрет |
|
непереносимость компонентов препарата |
с 1 года |
|
|
Антигистаминные препараты |
Цетрин |
|
|
с 6 месяцев |
|
Эдем |
|
с 2 лет |
||
|
Жаропонижающие средства |
Панадол |
|
|
с 3 месяцев |
|
Нурофен |
|
|||
|
Бронхорасширяющие средства |
Сальбутамол |
обладают спазмолитическим действием на мускулатуру бронхов |
|
с 4 лет |
|
Вентолин |
||||
|
Поливитамины |
Витрум |
|
|
с 3 лет |
|
Киндер биовиталь |
|
с 1 месяца |
Медикаменты, используемые для лечения бронхита у детей — галерея
- Флюдитек — препарат от кашля, обладающий муколитическим действием
- Киндер биовиталь — поливитаминный препарат, применяемый для укрепления организма ребёнка
- Бронхипрет — препарат на растительной основе
- Вентолин — препарат, используемый в ингаляциях через небулайзер. Обладает бронхорасширяющим действием
Особенности лечения острого бронхиолита у детей до года
При лечении острого бронхиолита у грудничков к медикаментозной терапии можно добавить:
- Санацию (очищение от слизи) верхних дыхательных путей с помощью электроотсоса.
- Оксигенотерапию увлажнённым кислородом.
- Внутривенное введение растворов с дезинтоксикационной целью.
- Глюкокортикостероиды (Преднизолон, Дексаметазон).
Возможные осложнения
- Бронхопневмония — это очаговое воспаление ткани лёгкого.
- Хронический бронхит — возникает при рецидивах более 4 раз в год.
- Бронхиальная астма — возможный результат частых обструктивных бронхитов.
- Распространение инфекции с током крови по организму. При этом может развиться воспаление миокарда (миокардит), почек (гломерулонефрит), сосудов (васкулит).
Бронхит — это серьёзное заболевание, к терапии которого следует подходить ответственно. Лечебная тактика зависит от возраста больного, вида патологии, наличия сопутствующих заболеваний. Поэтому не стоит заниматься самолечением, особенно если бронхит возникает у грудничка. Здоровья вам и вашему малышу!
Вопрос-ответ
Как протекает острый бронхит у детей?
Симптомы острого бронхита у детей обычно напоминают ОРВИ. В первые дни отмечается повышение температуры тела, недомогание, могут беспокоить боли в мышцах, головная боль, боль в горле. Со второго–третьего дня болезни появляется кашель.
Чем лечат бронхит у детей?
Помимо бронхолитика (беродуала) в ингаляционную камеру небулайзера добавляют раствор для ингаляций лазолван или амбробене (для детей до года – 0. 5 мл, старше года – 1, 0 мл), и разводят этот коктейль из лекарств небольшим количеством, примерно 1, 0 мл физраствора или детской питьевой воды.
Как лечиться при остром бронхите?
Лечение острого бронхита Рекомендуется постельный режим, отдых, полноценное питание и обильное питьё. Если мокрота слишком вязкая и плохо отходит, врач может прописать отхаркивающие средства. При выраженной интоксикации и лихорадке назначают противовоспалительные и жаропонижающие препараты.
Сколько видов бронхита есть?
Бронхит у взрослых бывает двух типов: острый и хронический, катаральный и гнойный, обструктивный и необструктивный. Объединяет все формы заболевания один основной симптом – кашель.
Советы
СОВЕТ №1
Обратите внимание на симптомы. При первых признаках острого бронхита, таких как кашель, одышка или повышенная температура, незамедлительно обратитесь к врачу. Чем раньше будет поставлен диагноз, тем эффективнее будет лечение.
СОВЕТ №2
Создайте комфортные условия для ребенка. Убедитесь, что в комнате, где находится ребенок, поддерживается оптимальная температура и влажность. Используйте увлажнители воздуха и проветривайте помещение, чтобы облегчить дыхание.
СОВЕТ №3
Следите за режимом питья. Увлажнение организма играет важную роль в процессе выздоровления. Предлагайте ребенку пить больше жидкости, такой как вода, компоты или травяные чаи, чтобы помочь разжижить мокроту и облегчить ее отхождение.
СОВЕТ №4
Не забывайте о профилактике. После выздоровления важно укреплять иммунитет ребенка. Обеспечьте ему сбалансированное питание, прогулки на свежем воздухе и занятия физической активностью, чтобы снизить риск повторного заболевания.







