Среди множества болезней головного мозга бываю такие, которые возникают в самом начале развития человека, то есть в период формирования эмбриона. Киста кармана Ратке, это одна из таких патологий. Ее образование может остаться незамеченным на первых этапах жизни ребенка.
Киста кармана Ратке – что это такое?
Киста кармана Ратке представляет собой образование кистоидного характера, возникающее в головном мозге. У обычного человека, к моменту его рождения карман Ратке не наблюдается, но есть группы людей, у которых фрагменты этой структуры остаются.
Формирование кисты происходит посредством заполнения данного кармана коллоидом. Размеры и формы этого образования могут быть различны. Зафиксированы случаи такой кисты, имеющей объем от нескольких миллиметров до более крупных в несколько сантиметров. Форма образования обычно овальная или округлая.
Локализуется киста кармана Ратке практически всегда в районе гипофиза, занимая переднюю или заднюю его долю. Если вам интересует ответ на вопрос о том, что это гипофиз, то читайте нашу аналогичную статью.
Чаще всего образование никак не проявляет себя, пока не достигнет значительных размеров, начиная сдавливать близлежащие ткани, сам гипофиз, зрительные нервы и другие структуры. Гипофиз является важнейшим составляющим всего организма. В этом отделе головного мозга происходит выработка гормонов, отвечающих за многие функции тела.
Гормоны гипофиза:
- Кортикотропин
- Гормон роста
- Тиротропин
- Фоллитропин
- Пролактин
- Липотропин
- Лютропин
Сбой в выработке такого количества различных гормонов может привести к нарушению работы всего организма. Именно поэтому киста кармана Ратке способна спровоцировать любые патологические процессы в теле человека.
Опасно ли это?
Одной из самых серьезных опасностей, подстерегающей больных с диагнозом – киста кармана Ратке, является сбой в функционировании гипофиза. В случае, когда кистозное образование сдавливает сам гипофиз, выработка гормонов нарушается. Такая ситуация чревата многими отклонениями в здоровье и способна привести к печальным последствиям.
Чем грозит гормональный сбой:
- Гипотиреоз
- Дефицит гормона роста (карликовость)
- Несахарный диабет
- Гипопитуитаризм (серьезные нарушения обмена веществ)
- Бесплодие, нарушение менструального цикла и набухание молочных желез, у женщин
- Импотенция и снижение полового влечения, у мужчин
- Акромегалия
- Нарушение функционирования всех органов и систем
- Остеопороз
- Сахарный диабет
- Ожирение
- Высокое артериальное давление
Гипофиз отвечает за многие отделы организма, поэтому его хорошее функционирование, это необходимость. Если у ребенка обнаружилась киста кармана Ратке большого размера, то развитие малыша будет нарушено, с множеством отклонений и патологий.
Как формируется?
Развитие плода – процесс сложный. Именно в этот период формируется тело будущего человека. Карман Ратке – это анатомическая конструкция, строение которой начинается у всех в утробе матери. Из этой структуры позже образуется гипофиз головного мозга, его передняя и задняя стенки, а также необходимая воронка. По окончании данного процесса, карман сам по себе исчезает.
При возникновении сбоя в создании такой конструкции, эти строительные клетки остаются и продолжают свою работу, создавая полость, располагающуюся в самом гипофизе. В течение некоторого времени, получившийся карман начинает наполняться мукоидным эпителием с примесью десквамированного содержимого.
Обычный размер данного доброкачественного неопухолевого образования составляет около двух сантиметров, но бывают случаи, когда киста вырастает до больших размеров.
Группа риска
Причины проявления такой патологии еще точно не выявлены, но, по мнению врачей, есть определенные люди, входящие в группу риска этого недуга.
Провокационные воздействия:
- Наследственная предрасположенность
- Инфекционное воздействие
- Вирусные болезни во время вынашивания ребенка
- Воспалительные процессы
- Гипоксия плода
- Прием некоторых медикаментозных средств
- Труд на вредных производствах
- Воздействие облучения и радиации
- Длительное нахождение под ультрафиолетовыми лучами
- Роды с осложнениями
Киста кармана Ратке встречается очень редко, в 1% случаев всех доброкачественных образований. Иногда данная болезнь может присутствовать у человека всю жизнь и не давать о себе знать, не развиваясь, а при определенных обстоятельствах начать свой рост.
Люди, входящие в группу риска:
- Люди пожилого возраста, ведь зачастую рост образования начинается после 40 лет.
- Переболевшие ранее менингитом.
- Пациенты, перенесшие инсульт, который сопровождался мозговым кровоизлиянием.
- Переболевшие энцефалитом.
- Рабочие вредных и ядовитых производств.
- Больные после химиотерапии и облучения.
- Все у кого в роду была такая патология или другие виды опухолей мозга.
Признаки
Киста кармана Ратке может продолжительное время никак себя не проявлять и протекать бессимптомно. Многие узнают о наличии у себя этого образования случайно, пройдя диагностику МРТ. Проблемы возникают тогда, когда образование по каким-то причинам начинает расти, увеличиваясь в размерах и сдавливая все окружающие ткани.
Симптомы:
- Бессонница
- Головокружение
- Появление галлюцинаций
- Интенсивная головная боль нарастающего характера
- Нарушение зрительной функции
- Эпилептические приступы
- Гиперстезия внутричерепного течения
- Тошнота, рвота
- Гул в ушах
- Нарушение координации
- Обмороки и помутнение сознания
- Расстройство психики
- Ухудшение памяти вплоть до провалов
- Расстройство мелкой моторики
- Болезни эндокринной системы
Проявление симптоматики напрямую зависит от размеров кисты и ее давления на гипофиз, остальные близлежащие участки и нервные окончания.
Кроме того, благодаря увеличению образования, могут происходить и другие нарушения, вызванные сбоем кровообращения головного мозга, такие, как:
- затруднение оттока ликворной жидкости;
- ухудшение функционирования структуры мозга и другие.
В другой статье с нашего сайта мы поднимаем вопрос о ретроцеребеллярной кисте головного мозга.
Возможные осложнения
Сама по себе киста кармана Ратке неопасна.
Серьезные опасения вызывает:
- Быстрый рост этого образования. В некоторых случаях пациент может полностью лишиться зрения, проявлять признаки психических отклонений, а далее проявится клиническая картина деструкции гипофиза. Все эти ситуации возможны из-за роста кисты.
- Серьезным осложнением считается перерождение образования в опухоль. В случае перерождения доброкачественного характера, лечение может остановить рост опухоли.
- Бывает, что данная патология перерождается в злокачественное образование, тогда прогноз болезни становится крайне неблагоприятным.
Случаи трансформации такой кисты крайне редки, обычно заболевание находится в одной стадии развития.
Что делать если при беременности нашли кисту?
Женщина в период беременности проходит много различных обследований. В некоторых случаях диагностические мероприятия выявляют у таких пациентов заболевания, о которых те и не подозревали.
Диагноз – киста кармана Ратке, поставленный впервые, способен выбить из колеи, особенно если, данная патология обнаружилась у женщины в положении. Это заболевание не приговор для беременных, но весь период вынашивания плода необходимо постоянно консультироваться с доктором.
Большой размер образования нарушает кровообращение в головном мозге, негативно влияет на функционирование гипофиза, что чревато гормональным сбоем. Хорошая работа гормональной системы особенно важна для женщин в положении, ведь только с нормальным уровнем гормонов возможно правильное развитие плода.
Именно рост образования, спровоцированный беременностью, очень опасен, как для самой будущей мамы, так и для ее малыша. Только врач способен назначить препараты или мероприятия для контроля роста кисты.
Диагностика
При возникновении определенной симптоматики, дающей повод для подозрения о наличии кисты кармана Ратке, в первую очередь нужно пройти специалистов. Эндокринолог, это первый врач, который способен выявить данный недуг.
Иногда требуется консультация других докторов, для прояснения клинической картины заболевания. Чтобы более точно узнать о наличии этого образования и его размерах, применяют современные методы диагностики.
Методы:
- Магнитно-резонансная томография. Считается, что именно этот метод исследования наиболее информативный. Снимки МРТ расскажут о месте локализации, размере и других особенностях кисты.
- Компьютерная томография. С помощью КТ специалисты распознают кальцификацию, процесс, информирующий о перерождении кисты в краниофарингиому.
- Ангиография. Этот метод диагностики позволит определить состояние сосудов головного мозга и возможности их функционирования.
Способы лечения патологии
Если киста кармана Ратке протекает бессимптомно и не увеличивается в размерах, то больной не нуждается в лечении, необходимо только регулярно обследовать образование для контроля его размера. При незначительных признаках данной патологии, врач назначает лечение гормонами, которые подбираются строго индивидуально для каждого пациента.
В случае быстрого роста кисты кармана Ратке, требуется более серьезное лечение. Первый этап терапии состоит из приема гормональных средств, они должны остановить этот процесс. Если гормоны не справились со своей задачей, назначается хирургическое лечение.
Существует два вида хирургического вмешательства, используемые сегодня:
- Классическая операция. Во время операции доктор удаляет кисту через разрез в области носовой раковины. Добраться до кармана Ратке возможно только через клиновидную пазуху. Для хорошей видимости хирург пользуется бинокулярным микроскопом.
- Лапароскопия. Данный хирургический метод имеет большую популярность. С помощью эндоскопа хирург проникает в черепную коробку через нос, полностью удаляя образование. При таком удалении, сосуды головного мозга и сам гипофиз не травмируются.
Только хирургическое лечение кисты кармана Ратке может полностью избавить человека от этого заболевания. После операции содержимое кисты отправляют на анализ, для исключения злокачественного течения процесса.
Последствия
Для того чтобы киста кармана Ратке приносила как можно меньше проблем, нужно постоянно консультироваться с лечащим врачом. При своевременном и адекватном лечении можно не бояться возникновения тяжелых симптомов данной болезни.
Вероятнее всего, больным назначается операция по удалению образования, что является гарантом полного восстановления практически 100%.
Нельзя игнорировать даже самые незначительные симптомы этой болезни, ведь они могут нарастать, и процессы нарушений в организме станут уже необратимы. Чтобы исключить у себя любые заболевания, нужно регулярно проходить обследования в медицинских учреждениях, это позволит выявить все недуги и вовремя начать лечение.
Особенности кисты кармана Ратке
Киста кармана Ратке представляет собой доброкачественное неопухолевое новообразование в головном мозге. Данная патология является врожденной структурой, образующейся еще во время внутриутробного развития плода. Полость кисты заполнена содержимым мукоидного с примесью десквамированного эпителия.
Как формируется новообразование
Карман Ратке является анатомической конструкцией, образующейся на начальных этапах формирования эмбриона. Впоследствии именно из данной структуры формируются передняя и задняя части гипофиза головного мозга, а также характерная воронка. После этого карман исчезает сам.
Однако в случае некоторых отклонений частичные клетки данной структуры остаются и формируют полость, располагающуюся непосредственно в области гипофиза, что и служит основой для формирования кистового образования, преимущественно круглой формы, размером около 2 см в диаметре.
Точные причины образования и развития кисты кармана Ратке на сегодняшний день не установлены. Однако ученые выделяют ряд факторов, которые могут спровоцировать формирование и рост представленного новообразования. К ним принято относить следующие:
- Наследственная предрасположенность.
- Воздействие инфекции.
- Вирусные заболевания, перенесенные женщиной во время беременности.
- Воспалительные процессы.
- Гипоксия.
- Влияние некоторых лекарственных препаратов.
- Взаимодействие с рядом токсических веществ.
- Облучение или радиация.
- Чрезмерное воздействие ультрафиолетовых лучей.
- Сложные роды.
Кто входит в группу риска
Пациенты с кистой кармана Ратке — явление нечастое. Данная врожденная патология приходится на 1% от всех прочих доброкачественных образований. Тем не менее медики смогли выделить группу лиц, которые наиболее подвержены развитию этого заболевания. К ним относятся:
- Люди зрелого возраста, поскольку тенденции к увеличению кисты и проявлению симптоматики наблюдаются преимущественно после 40 лет.
- Пациенты, переболевшие менингитом.
- Люди, перенесшие инсульты, сопровождавшиеся обширными мозговыми кровоизлияниями.
- Переболевшие энцефалитами любого происхождения.
- Работающие на вредном химическом производстве.
- Больные, подвергавшиеся облучению и перенесшие курс лечения химиотерапией.
- Люди, у родственников которых наблюдалась данная патология или другие опухоли головного мозга.
Как проявляется патология
Длительное время развитие заболевания может протекать абсолютно бессимптомно, не обнаруживая себя никакими специфическими проявлениями.
Известны случаи, когда пациент узнавал о наличии у себя кисты кармана Ратке только при проведении МРТ или других диагностических процедур.
Клинические признаки обычно проявляются в процессе увеличения новообразования, при котором происходит определенное механическое давление на хиазму зрительного нерва, а также на сам гипофиз.
В этом случае развиваются патологические нарушения в кровоснабжении головного мозга, разлад в функционировании мозговых структур, замедление оттока ликвора. Помимо этого при развитии данного кистозного образования наблюдаются следующие характерные симптомы:
- Головокружение.
- Нарушения сна.
- Развитие галлюцинаций.
- Сильные приступы головных болей с тенденцией к нарастанию.
- Нарушение зрения (наблюдаются в 60-80% случаев).
- Приступы эпилепсии.
- Внутричерепная гипертензия.
- Тошнота.
- Приступы рвоты.
- Характерный шум в ушах.
- Нарушение координации движений.
- Обморочные состояния.
- Спутанность и расстройства сознания.
- Кратковременные провалы в памяти.
- Психические расстройства.
- Нарушения мелкой моторики.
- Заболевания эндокринной системы (встречаются в 50-80% случаев).
Во многом наличие симптомов и степень их проявления зависят от размеров кистозного образования и давления, которое оно оказывает на близлежащие нервные окончания, кровеносные сосуды и ткани.
Возможные осложнения
Осложнения обычно проявляются в случае серьезного увеличения размеров кистозного образования, особенно при его интенсивном росте. Если при этом пациенту не будет оказано своевременное и грамотное лечение, то могут наблюдаться следующие негативные последствия:
- Деструкция гипофиза головного мозга.
- Сильное падение зрения вплоть до полной слепоты.
- Сопутствующее развитие психических заболеваний.
- В некоторых случаях возможно перерождение доброкачественного новообразования в онкологическую опухоль.
Поэтому при проявлениях неврологических нарушений, особенно на фоне резкого падения зрения, рекомендуется незамедлительно обратиться к врачу и пройти необходимое диагностическое обследование.
Способы диагностики
В первую очередь при подозрении на данное новообразование пациенту следует получить консультацию эндокринолога и невропатолога. Для дальнейшего правильного лечения необходимо отличить кисту кармана Ратке от схожих по симптоматике краниофарингиомы и кистозной аденомы гипофиза.
Поэтому для постановки диагноза и определения размера кисты назначаются следующие виды исследования:
- Метод магнитно-резонансной томографии. Является наиболее распространенным и эффективным способом определения кисты кармана Ратке. Данная процедура дает возможность оценить размер, точное местоположение, анатомические и топографические характеристики опухоли, что необходимо для последующего лечения.
- Лабораторные исследования функций гипофиза головного мозга.
- Компьютерная томография. Необходима для детального анализа костной структуры черепа пациента, для определения соотношения размеров кистозного образования с мозговыми сосудами.
- Ангиографическое исследование сосудов головного мозга.
- Электроэнцефалография.
- Допплерография.
- Для того чтобы исключить возможность наличия онкологического заболевания, необходимо пройти дополнительное обследование у врача-онколога. Возможно взятие пункции подозрительного участка ткани на биопсию.
Способы лечения патологии
В большинстве случаев наличие у пациента кисты кармана Ратке диагностируется на фоне ее увеличения и развития сопутствующих клинических симптомов.
Поэтому в основном для борьбы с данной патологией применяется хирургическое лечение.
В зависимости от степени развития кистозного образования, индивидуальных особенностей пациента могут использоваться следующие виды оперативного вмешательства:
- Удаление кисты под общим наркозом при помощи хирургического скальпеля.
- Транссфеноидальная микрохирургия, представляющая собой частичное удаление новообразования.
- Минимально-инвазивная эндоскопическая операция, которая проводится при помощи специального хирургического эндоскопа.
Иссечь полную капсулу из области гипофиза — задача чрезвычайно сложная. По этой причине данное новообразование опасно своими рецидивами. Для их предотвращения пациенту назначаются такие процедуры:
- Лечение лучевой терапией. В большинстве случаев применяется при частичном удалении кисты.
- Прием специальных медицинских препаратов (например, блеомицина).
В связи с возможными проявлениями рецидивов после проведения операции пациенту необходимо регулярно проходить профилактические медицинские осмотры, выполнять все рекомендации лечащего врача.
Киста кармана Ратке представляет собой редкую врожденную патологию, которая может в течение всей жизни никак не проявляться и не беспокоить пациента. Однако в случае разрастания данного новообразования заболевание чревато серьезными осложнениями и даже может угрожать жизни пациента. Но при своевременном удалении и последующем наблюдении у специалиста медицинский прогноз вполне благоприятен.
Киста кармана Ратке — опасно ли это?
Врачебный вердикт «киста кармана Ратке», услышанный от невролога и/или эндокринолога, способен смутить и испугать застигнутого врасплох пациента.
Киста кармана Ратке — что это такое? Опасно ли это для жизни? Насколько, а также каковы способы и перспективы его лечения?
Под диагнозом киста кармана Ратке (около 1% случаев всех выявленных доброкачественных новообразований) скрывается эластичное по текстуре, круглое, небольших размеров (около пары сантиметров в поперечнике) по форме новообразование доброкачественного характера, не относящееся к опухолям.
Возникает киста исключительно у ребенка, еще не рождённого, т.е. в период его внутриутробного развития.В случае отклонений эмбриогенеза от нормального течения, карман не исчезает, преобразуется в гипофиз.
Он частично остается в виде клеточных структур, формирующих в тканях гипофиза аномальную полость, заполненную слизистым серозным секретом, с включениями эпителиальных десквамированных клеток.
Карман ратке это что?
Немецкий анатом и эмбриолог Мартин Генрих Ратке, в честь которого названа описанная им впервые в XIX веке анатомическая конструкция, обнаружил ее у умершего пациента при вскрытии.
Гипофизарный карман, он же карман Ратке, встречается у человека только во время его эмбрионального генезиса, причем на ранних стадиях — четвертой неделе. В дальнейшем он развивается в переднюю и заднюю части гипофиза.
Причины возникновения кисты
- инфекционные и вирусные заболевания матери;
- генетические мутации и наследственность;
- недостаточное снабжение кислородом эмбриона;
- воспалительные процессы;
- прием некоторых медикаментов;
- отравление организма беременной различного рода токсинами;
- радиационное облучение;
- излишнее пребывание под лучами солнца или в солярии.
Причины, провоцирующие развитие новообразования
- зрелый, начиная с сорокалетнего рубежа, возраст;
- перенесенный менингит;
- профессиональное занятие на вредном производстве, связанном с химическими компонентами;
- обширные кровоизлияния в оболочки мозга, в том числе при инсульте;
- заболевания энцефалитом;
- наследственность (велик риск у тех, чьи родственники страдают данным заболеванием или опухолевыми
- процессами головного мозга);
- облучение и химиотерапию.
Симптомы
Клинически значимыми симптомы патологии становятся при ее гормональной активности и увеличении размеров новообразования, которое начинает оказывать существенное механическое воздействие на гипофиз и хиазму зрительных нервов.
Больные начинают жаловаться на:
- нарушение ночного сна;
- тошноту и рвоту;
- головокружения и немотивированную слабость;
- приступы мучительных, усиливающихся головных болей;
- ушной шум;
- плохую память, амнезию;
- эпилептические припадки;
- появление галлюцинаций;
- расстройство психики;
- нарушение моторики, в том числе мелкой, и координации движений;
- нарушение цветовосприятия, существенное падение остроты зрения, выпадение зрительного поля.
Примечательно, что наличие той или иной симптоматики, а также интенсивности ее проявления напрямую взаимосвязано с физическими размерами новообразования, по-разному давящего на кровеносные сосуды и нервы.
При проведении дополнительных диагностических исследований у пациентов выявляется:
- повышенное внутричерепное давление;
- в восьмидесяти клинических случаев различные нарушения эндокринной системы.
Диагностика
Чтобы достоверно выявить в гипофизе кисту, и назначить правильное лечение, больному показана магнитно-резонансная томография (мрт), дающая информацию о:
- размерах образования;
- его локализации.
Дополнительно назначают:
- лабораторные исследования функциональности головного мозга;
- ангиографию сосудов;
- допплерографию;
- биопсию (для исключения онкопроцессов).
Последствия кисты кармана Ратке
Как уже было замечено, киста кармана Ратке во многих случаях присутствует в организме скрытно, бессимптомно, — в это время она не более двух сантиметров в диаметре. Поэтому неожиданно для пациента киста выявляется при проведении таких исследований, как мрт, или иной компьютерной диагностики.
Насколько опасно?
В дальнейшем, при прогрессировании заболевания у человека будут наблюдаться различного рода нарушения работы всех органов и систем, поскольку сбои в выработке гипофизом большого количества гормонов наносят вред всему организму.
Осложнения
Возможные осложнения появляются в результате резкого роста этой кисты. Если человеку не будет проведено безотлагательное адекватное лечение, то не заставят себя ждать грозные последствия давления образования на мозговые оболочки в виде:
- разрушения тканей гипофиза;
- стойкое нарушение обмена веществ;
- усугубление психиатрических расстройств;
- прогрессирующая слепота;
- бесплодие;
- сахарный и несахарный диабеты;
- раковых перерождений.
У детей гормонально активная киста приводит к гипофизарной дисфункции, что влечет ненормально низкий рост.
Киста кармана Ратке и беременность
У женщин киста кармана ратке диагностируется в два раза чаще, чем у мужчин. У тех и других она может вызвать опасное для здоровья состояние — гипофизарную дисфункцию, только для женщин дисфункция чревата невозможностью забеременеть из-за превышения в крови концентрации пролактина.
У пациенток репродуктивного возраста основными признаками выступают:
- нарушение цикла либо полное отсутствие менструации;
- оволосение тела и лица по мужскому типу;
- увеличение массы тела;
- выделения молока из молочных желез.
Чтобы такие последствия предотвратить, врачом назначаются препараты и принимаются меры по стабилизации гормонального статуса, замедляющие рост кармана.
Лечение кисты кармана Ратке
Основное лечение, которое требует киста кармана Ратке — радикальное, хирургическое. Однако удаление образования из гипофиза – это чрезвычайно рискованный вид медицинских манипуляций!
Поэтому в зависимости от индивидуального протекания патологии, лечащим специалистом нейрохирургического центра избирается один из оптимальных методов оперативного вмешательства:
- минимально травматичное эндоскопическое иссечение оптико-волоконным эндоскопом;
- прицельная пункция;
- транссфеноидальная микрохирургия;
- классическое полное хирургическое иссечение посредством скальпеля, при нахождении оперируемого под наркозом.
Опытные врачи начинают лечить страдающего кистой человека комплексно, только так возможно избежать опасных для жизни последствий хирургического вмешательства. С этой целью лечение дополняется:
- приемом медикаментов;
- лучевую терапию (после транссфеноидальной микрохирургии).
При данном диагнозе исключительно консервативное лечение и попытки дренажа не только не эффективны, но и опасны своим инициированием развития рака кармана.
Что такое киста кармане Ратке и чем она опасна
Киста кармана Ратке — что это такое и опасно ли? Данное новообразование является опухолью головного мозга доброкачественного характера, заполненную жидкостью. Процесс ее формирования начинается еще в эмбриональном состоянии. При нормально развитии плода, карман исчезает после родов, но если наблюдаются нарушения, она заполняется жидкостью и формируется опухоль.
Среди всех заболеваний головного мозга, именно это появляется в процессе формирования эмбриона.
Опухоль может не проявлять себя в первые периоды жизни ребенка. Однако со временем он может сталкиваться с рядом негативных осложнений.
Что это такое
Заболевание представляет собой опухоль кистозного вида в головном мозге. Обычно к моменту рождения карман Ратке исчезает, однако некоторые люди рождаются с этими структурами. Киста образуется из-за заполнения кармана коллоидом. Размер опухоли бывает разным, в среднем 2 см. Для образования характерна круглая либо овальная форма.
Данное образование занимает переднюю и заднюю долю гипофиза. Обычно эта патология не проявляется в какой-либо симптоматике, однако если достигает крупных размеров, происходит сдавливание соседних тканей, структур. Из-за нарушений функционирования гипофиза, происходит сбой в выработке определенных гормонов, что и становится причиной развития различных заболеваний.
Механизм формирования
Современной медицине неизвестны точные причины возникновения этой кисты. Карман Ратке представляет собой структуру, появившуюся во время формирования эмбриона. Из нее в дальнейшем образовывается гипофис, а сам карман исчезает.
При появлении сбоев при формировании гипофиза, карман остается, продолжая свою деятельность. В результате образовывается полость, расположенная в гипофизе. Через некоторое время она заполняется жидкостью. Доброкачественное образование крайне редко отличается большими размерами.
Группа риска
Точной причины развития данного заболевания неизвестно. Однако существуют некоторые факторы, повышающие вероятность появления опухоли:
- заболевания вирусного, инфекционного происхождения (у матери);
- генетическая предрасположенность, мутация;
- злоупотребление вредными привычками;
- недостаточное поступление кислорода к плоду;
- воспаления;
- медикаментозное лечение;
- отравление токсинами;
- облучение;
- роды с осложнениями;
- длительное нахождение под солнечными лучами, в солярии;
- пожилой возраст;
- ранний менингит;
- инсульт с кровоизлиянием в мозг;
- энцефалит;
- работа на вредном производстве;
- химиотерапия;
- наследственность.
Симптомы
Довольно часто киста кармана Ратке отличается бессимптомным существованием. Большинство людей узнают о ней после МРТ диагностирования. Какие-либо осложнения могут стать причиной роста кисты, и человек столкнется с определенной симптоматикой:
- нарушение сна;
- головокружения;
- галлюцинации;
- сильная головная боль с нарастающей характеристикой;
- ухудшение зрения;
- эпилепсия;
- высокое внутричерепное давление;
- рвота и тошнота;
- шум в ушах;
- потери сознания, обмороки;
- ослабленный отток ликвидной жидкости;
- нарушение функционирования структуры мозга;
- нарушение координации;
- психические расстройства;
- ослабление памяти и провалы;
- нарушение мелкой моторики;
- эндокринные заболевания.
Диагностика
При появлении симптомов, характерных для данного типа кисты, требуется посетить врача. Эндокринолог поможет выявить данную патологию. В некоторых случаях требуется обследование у других врачей. Существуют определенные методики диагностирования, которые позволяют выявить заболевание:
- магнитно резонансная томография считается наиболее информативным методом диагностики. МРТ позволяет определить расположение, размер и множество других особенностей новообразования;
- КТ позволяет установить классификацию и процессы перерождения;
- Ангиография требуется для определения состояния сосудов головного мозга и их функционирования.
Опасно ли образование
Самым опасным последствием данного заболевания является нарушение функций гипофиза. Это происходит при разрастании кистозного образования, при сдавливании гипофиза нарушается выработка гормонов.
Гормональный сбой становится причиной появления различных проблем со здоровьем:
- гипотиреоз;
- дефицит гормона роста;
- несахарный и сахарный диабеты;
- нарушения обмена веществ;
- набухание молочных желез, сбои менструального цикла;
- импотенция, снижение мужского либидо;
- акромегалия;
- нарушение функций всего организма;
- остеопороз;
- избыточный вес;
- высокий уровень АД.
У новорожденного наблюдается ухудшение в развитии, и появление большого количества различных патологий.
Последствия и осложнения
Эта разновидность кисты чаще отличается бессимптомным течением. Если наблюдается значительное развитие опухоли и увеличение ее размеров, происходят сбои в функционировании различных органов и систем организма. Возможные осложнения требуют быстрого реагирования и назначения адекватных методов терапии. К осложнениям относятся:
- деструкция гипофиза;
- серьезное нарушение метаболических процессов;
- острые психические расстройства;
- прогрессирующие проблемы со зрением;
- бесплодие;
- приобретение злокачественного характера.
Как лечить новообразование
Данная форма кисты требует срочное хирургическое вмешательство.
Однако удаление опухоли на гипофизе представляет собой особо опасную операцию.
В зависимости от индивидуальных особенностей, специалист выбирает такие хирургические методы лечения кисты:
- эндоскопическое иссечение;
- пункция;
- транссфеноидальная микрохирургия;
- иссечение с помощью скальпеля.
Во избежание угрожающих жизни и здоровью последствий, лечение проходит комплексно. Для этого оперативные методы дополняются медикаментозной и лучевой терапией. Эта разновидность кисты не подлежит консервативным методам терапии, к тому же они могут спровоцировать развитие рака.
Киста кармана Ратке и беременность
Женщины чаще сталкиваются с данной патологией, нежели мужчины.
Она может стать причиной гипофизарной дисфункции, которая мешает забеременеть. В репродуктивном возрасте из-за этого заболевания, женщина сталкивается с:
- сбоями менструального цикла, возможно полное его отсутствие;
- чрезмерным ростом волос на всем теле;
- значительным увеличением веса;
- выделением грудного молока.
Также при беременности женщине могут поставить данный диагноз. Опасность заключается в гормональных колебаниях из-за беременности, что является фактором для развития кисты. Во избежание негативных последствий, врач подбирает максимально эффективные медикаменты для нормализации уровня гормонов, замедляя рост опухоли.
Киста кармана Ратке – особая разновидность опухолей, которая может не отличаться выраженными симптомами, ухудшающими процесс жизнедеятельности человека.
В некоторых случаях может происходить развитие образования, что влечет за собой множество опасных для жизни последствий.
Игнорировать патологию не получится, поскольку она имеет серьезную симптоматику и требует срочное медицинское лечения.
Киста кармана Ратке
Киста кармана Ратке это доброкачественное образование, представляющее собой выстланную эпителием кисту овальной, округлой или ганетелевидной формы. Впервые описана Goldzieher в 1913, как случайная находка при секции. Описание кист кармана Ратке увеличилось с распространением компьютерной томографии (КТ) и магнитно-резонансной томографии (МРТ).
Патология
Карман Ратке формируется на 4й неделе эмбрионального развития из выроста эпителия крыши ротовой полости. Передняя стенка кармана дает начало передней доле гипофиза (pars distalis). Задняя стенка кармана не пролиферирует и остается в виде промежуточной доли гипофиза (pars intermedia).
Просвет кармана сужается формируя щель, которая обычно облитерируется. Отсутсвие облитерации считается причиной формирования кист Ратке. Стенки кисты обычно выстланы однослойным однорядным эпителием, часто содержащим бокаловидные клетки и ворсинки.
Встречающиеся внутрипросвеные узелки, которые макроскопически определяются в виде белесоватого налета на стенках кисты, представляют слущенный эпителий.
Гистология
При рутинном окрашивании гематоксилин-эозином в стенке кисты кармана Ратке определяется однослойный однорядный цилиндрический или кубический эпителий с бокаловидными клетками. Иногда наблюдается однослойный многорядный эпителий. При метаплазии, в 9-39% случаев, наблюдается плоский эпителий, что связывают с высоким риском рецидива.
Клиника
Кисты кармана Ратке чаще всего не проявляют себя клинически в течении жизни. Симптоматическе кисты кармана Ратке чаще встречаются на 4-5 декадах жизни у женщин [6,7,8]. Типичные симптомы: головные боли, эндокринная дисфункция и снижение зрения.
Гормональные расстройства включают в себя гиперпролактинемию и дефицита гормона роста, снижение уровня кортизола в крови и гипогонадизм [5]. В 7%-20% случаев встречается несахарный диабет.
“Апоплексия кисты кармана Ратке”, недавно описанный термин, подразумевает резкое возникновение симптоматики сочетающееся с признаками внутрикистозного кровоизлияния при визуализации [3].
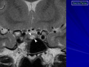
Диагностика
При визуализации киста кармана Ратке представляет хорошо отграниченное, срединно расположенное, не усиливающиеся образование между передней и промежуточной долями гипофиза. 40% кист имеет интраселлярную локализацию, 60% — имеют супраселлярный компонент. Чисто супраселлярная локализация встречается редко.
Компьютерная томография
Киста кармана Ратке при компьютерной томографии характеризуется как кистозное образование селлярнй или супраселлярной локализации, с четкими границами, сниженной плотности. Крупные размеры могут приводить к ремоделированию прилежащих костей.
Простые кисты могут быть неотличимы от арахноидальных кист и эпидермоидов. Комплексные кисты могут быть неотличимы от краниофарингиомы или аденомы гипофиза.
За счет вариабельности в визуализации компьютерную томографию нельзя использовать как единственный метод диагностики.
- нативно
- однородное гипоинтенсивное образование, обычно не содержащее кальцинатов
- иногда может иметь смешанную изо- гипоинтенсивную плотность
- постконтрастные изображения: отсутствие контрастного усиления
Магнитно-резонансная томография
Кисты кармана Ратке почти всегда имеют гомогенную интенсивность МР сигнала, в то время как кистозные краниофарингеомы и аденомы с кровоизлиянием имеют гетерогенный сигнал. [9] Уровни жидкости подразумевают кровоизиляние в анамнезе. Хотя кисты кармана Ратке не имеют характерных только для данной нозологии МР признаков. Большинство кист можно отнести к двум группам:
- Кисты кармана Ратке с низкой интенсивностью МР сигнала на Т1 взвешенных изображениях и высокой интенсивностью сигнала на Т2 взвешенных изображениях,
- Кисты кармана Ратке с высокой интенсивностью МР сигнала на Т1 взвешенных изображениях и различной интенсивностью МР сигнала на Т2 взвешенных изображениях
В первой группе содержимое кисты серозное и имеет сигнальные характеристики соответствующие ЦСЖ. Во второй группе содержимое кист богато мукополисахаридами, которые считаются продуктами муцин-продуцирующих клеток в стенке кисты.
В редких случаях повышенный сигнал на Т1 взвешенных изображениях сочетается с низким МР сигналом на Т2 взвешенных изображениях за счет комбинации факторов включающих наличие мукополисахаридов, продуктов распада гемоглобина, высокого содержания холестерола и сушенных клеточных масс.
Сигнальные характеристики в соответствии с содержимым кисты:
- T1
- 50% гиперинтенсивные (высокое содержание мукополисахаридов)
- 50% гипоинтенсивные
- T2
- 70% гиперинтенсивные
- 30% изо- и гипоинтенсивные
- T1 C+
- отсутствие контрастного усиления
- может присутствовать тонкое кольцевидное усиление прилежащей ткани гипофиза за счет сдавления [3,4]
- может присутствовать тонкое кольцевидное усиление отражающее метаплазию эпителия
Дифференциальный диагноз
- краниофарингиома
- локализуется супраселлярно или имеет супраселлярный компонент
- наличие кальцинатов
- кистозная аденома гипофиза
- расположение НЕ по средней линии
- уровень жидкость-жидкость
- гипоинтенсивный ободок в Т2
- наличие перегородок и возможное периферическое усиление
- арахноидальная киста
- эпидермоид
- супраселлярная локализация
- ограничение диффузии
- тератома
- имеет солидный компонент
- имеет интенсивность сигнала соответствующую жировой ткани




