
Симптомы и лечение правосторонней пневмонии
Сегментарная пневмония и ее особенности
Легкие человека представляют собой цельный внутренний орган, предназначенный для выполнения дыхательных функций. Они анатомически разделяются на две доли:
- левую из 8 бронхолегочных сегментов;
- правую из 10 бронхолегочных сегментов.

- очаговая – ограничиваются частью сегмента;
- долевая – охватывает всю долю легкого.
Таким образом, сегментарная пневмония представляет собой воспалительный процесс бронхолегочного сегмента, в который вовлекаются не только бронхи, но и альвеолы с бронхиолами. При этом альвеолы на воспаленном участке спадают, а сам сегмент исключается из газообменного процесса.
Специалисты считают, что сегментарная пневмония распространена среди детей в возрасте от трех до семи лет.
Врачи отмечают, что сегментарная пневмония проявляется разнообразными симптомами, включая кашель, одышку, повышенную температуру и боли в груди. Эти признаки могут варьироваться в зависимости от возраста пациента и наличия сопутствующих заболеваний. Важно, что своевременная диагностика и лечение играют ключевую роль в предотвращении осложнений. Специалисты рекомендуют проводить рентгенографию легких и лабораторные исследования для подтверждения диагноза. Лечение обычно включает антибиотики, которые подбираются с учетом возбудителя инфекции, а также симптоматическую терапию. Врачи подчеркивают, что при наличии тяжелых симптомов или ухудшении состояния необходимо немедленно обратиться за медицинской помощью. Регулярное наблюдение и контроль состояния пациента также являются важными аспектами успешного лечения.
https://youtube.com/watch?v=nSy3wQ3n39g
Причины сегментарного воспаления легких
Воспаление легких вызывается болезнетворными микроорганизмами. Сегментарная пневмония не является исключением. К ее возбудителям относят так называемые респираторные бактерии:
- стрептококки пневмококковые;
- стрептококки пиогенные;
- стафилококки;
- гемофильные палочки;
- легионеллы;
- хламидии;
- микоплазмы;
- синегнойная палочка;
- кишечная палочка;
- ацинетобактеры.

Чаще всего человек может подхватить болезнетворный микроорганизм несколькими путями:
- Вдыхая воздух, в котором присутствуют бактерии и вирусы.
- По крови от больного человека к здоровому.
- Непосредственно из дыхательных путей.
Основным фактором, способствующим быстрому возникновению воспалительных процессов в легких, является ослабленный иммунитет. Его ослабляют не только вирусы, но и неправильный образ жизни, плохое питание, различные заболевания хронического типа (например, хроническая обструкция или астма).
Симптоматика сегментарного воспаления легких
К симптомам сегментарной пневмонии, которые сможет определить даже сам больной, специалисты относят:
- повышение общей температуры тела;
- общая интоксикация организма;
- кашель влажного типа;
- появление одышки и увеличение частоты дыхания;
- тахикардия;
- пониженный уровень артериального давления.
Эти симптомы могут напоминать начало респираторного заболевания. Но сегментарная пневмония отличается резким повышением температуры тела до 40 градусов в самом начале воспалительного процесса. Что касается кашля, то это ведущий признак данного заболевания. Его особенности:
- ярко выраженный характер;
- влажный;
- мокрота откашливается обильно.
Также от больных можно услышать жалобы на болезненные ощущения в груди и верхней части живота. Эти ощущения отличаются интенсивностью и явным соотношением с кашлем и дыхательным циклом – при кашле боль становится сильнее.
Диагностирование сегментарной пневмонии
Если вы обнаружили у себя все признаки воспаления легких, следует немедленно обратиться к квалифицированному врачу за консультацией. Обычно подобные заболевания лечит врач-пульмонолог, а диагностику может проводить терапевт, который направит к специалисту узкого направления.
Процедура диагностирования сегментарного воспаления легких включает в себя целый ряд мероприятий:
- Физикальный осмотр:
- прослушивание легких (можно услышать характерные хрипы различной интенсивности);
- простукивание грудной клетки (наблюдается притупленный, приглушенный звук).
- Анализы:
- общий крови (так определяют изменения характеристик крови, которые возникают при воспалительных процессах в легких);
- мокроты (то исследование позволяет выявить возбудителя данного заболевания, благодаря чему назначается лечение антибиотиками и антибактериальными лекарствами).
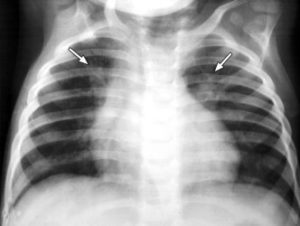
- Рентген грудной клетки (это стандартное исследование легких при подозрении на пневмонию, только так можно четко определить границы воспалительного поражения сегмента и туберкулезные затемнения).
Дополнительно врач может назначить еще компьютерную томографию грудной клетки и анализ газового состава крови. Эти методы позволяют уточнить предварительный диагноз «сегментарная пневмония» и назначить эффективное лечение.
Сегментарная пневмония вызывает у людей множество вопросов и опасений. Многие отмечают, что симптомы заболевания могут проявляться постепенно: сначала появляется кашель, затем повышается температура и ощущается слабость. Некоторые пациенты жалуются на боль в груди и затрудненное дыхание, что заставляет их обращаться за медицинской помощью. Лечение обычно включает антибиотики, которые помогают справиться с инфекцией, а также противовоспалительные препараты для облегчения состояния. Важно отметить, что своевременная диагностика и правильный подход к лечению играют ключевую роль в выздоровлении. Люди также делятся опытом о необходимости соблюдать постельный режим и пить много жидкости, что способствует восстановлению. В целом, осведомленность о симптомах и методах лечения помогает многим избежать осложнений и быстрее вернуться к нормальной жизни.
https://youtube.com/watch?v=jqAlaU3NpXI
Современные методы лечения сегментарной пневмонии
Современное лечение сегментарного воспаления легких предполагает комплекс специальных мер.
- Антибактериальная терапия (ее общий курс составляет 10 дней):
- бета-лактомные антибиотики, относящиеся к цефалоспоринам (Клафоран, Супракс, Цефтриаксон);
- антибиотики, относящиеся к макролидам (Вильпрафен, Кларитромицин, Хемомицин);
- пенициллин и производные от него (Амоксиклав, Аугментин, Флемоксин);
- антибактериальные лекарства из группы фторхинолонов (Левофлоксацин, Спарфлоксацин).
2.Дезинтоксикационная терапия:
- капельное введение физраствора;
- капельное введение глюкозы;
- капельное введение раствора Рингера.
Таким способом снимаются интоксикационные симптомы, что способствует скорейшему выздоровлению больного.
- Жаропонижающие лекарственные препараты (Парацетамол, Ибуклин).
- Отхаркивающие препараты при влажном кашле с мокротой для ее разжижения и стимуляции вывода (АЦЦ, Бромгексин, Флуимуцил).
- Бронхолитические лекарства показаны при ярко выраженной бронхиальной обструкции для бронхорасширяющего эффекта (Сальбутамол, Беротек, Беродуал).
- Ингаляции с помощью небулайзера с применением бронходилатирующих препаратов.
- Оксигенотерапия представляет собой лечебные процедуры, выполняемые с помощью кислорода:
- оксигенобаротерапия (помещение в среду с повышенным содержанием кислорода);
- оксигенотерапия (вдыхание специальной воздушной смеси с кислородом).
Кислород помогает процессу дезинтоксикации, с последующей стимуляцией регенерационных процессов. Описанные процедуры назначаются обычно уже на этапе выздоровления.
- Лечебный массаж грудной клетки оказывает механическое воздействие на бронхолегочный отдел.
- Дыхательная гимнастика по методу Стрельниковой А. Н. назначается для улучшения кровоснабжения мускулатуры грудного отдела.
Традиционно сегментарная пневмония лечится в условиях стационара под строгим контролем и наблюдением врача. Если же форма данного заболевания не отличается выраженной тяжестью, то его лечат в домашних условиях.
Эффективное лечение сегментарной пневмонии в домашних условиях
Для того чтобы назначенное лечащим врачом лечение сегментарного воспаления легких действительно принесло положительный эффект, больному следует придерживаться следующих правил:
- Соблюдать постельный режим.
- Употреблять много жидкости (воды, чая, отваров).
- Проводить витаминную поддержку.
Также в домашних условиях можно проводить комплекс специальной дыхательной гимнастики.
https://youtube.com/watch?v=jzHHnwdj7e0
Вопрос-ответ
Какие основные симптомы сегментарной пневмонии?
Симптомы сегментарной пневмонии могут включать кашель с выделением мокроты, одышку, боль в груди, лихорадку и общее недомогание. В некоторых случаях может наблюдаться учащенное дыхание и хриплость при дыхании.
Как диагностируется сегментарная пневмония?
Диагностика сегментарной пневмонии обычно включает физикальное обследование, рентгенографию грудной клетки и, при необходимости, компьютерную томографию. Также могут быть назначены лабораторные анализы, такие как общий анализ крови и анализ мокроты.
Какие методы лечения применяются при сегментарной пневмонии?
Лечение сегментарной пневмонии обычно включает антибиотикотерапию для борьбы с инфекцией, а также поддерживающую терапию, такую как жаропонижающие средства и ингаляции для облегчения дыхания. В тяжелых случаях может потребоваться госпитализация и более интенсивное лечение.
Советы
СОВЕТ №1
Обратите внимание на ранние симптомы. Сегментарная пневмония может проявляться кашлем, одышкой, повышенной температурой и болями в груди. При появлении этих признаков не откладывайте визит к врачу для диагностики и назначения лечения.
СОВЕТ №2
Следуйте предписаниям врача. При лечении сегментарной пневмонии важно строго соблюдать назначенный курс антибиотиков и других медикаментов, чтобы избежать осложнений и ускорить процесс выздоровления.
СОВЕТ №3
Уделяйте внимание отдыху и восстановлению. Во время болезни организму требуется больше времени для восстановления, поэтому старайтесь больше отдыхать, избегайте физических нагрузок и обеспечьте себе комфортные условия для сна.
СОВЕТ №4
Поддерживайте иммунную систему. Включите в свой рацион продукты, богатые витаминами и минералами, такие как фрукты, овощи и орехи. Также не забывайте о важности питьевого режима для поддержания здоровья легких.