
Рождение ребёнка — радостное событие. Но иногда оно может быть омрачено осложнениями и врождёнными заболеваниями, в частности внутриутробной или приобретённой пневмонией. Воспаление лёгких – патология, которая становится испытанием как для новорождённого, так и для его родителей. Своевременная диагностика и лечение помогут избежать серьёзных последствий.
Особенности заболевания у новорождённых
Пневмония представляет собой заболевание, вызывающее серьёзные осложнения и последствия для здоровья. У новорождённых воспаление лёгких может возникнуть как самостоятельная болезнь или как осложнение после, например, перенесённого ОРВИ.
Воспаление лёгких в 10 раз чаще поражает недоношенных малышей
Наиболее подвержены воспалению лёгких недоношенные малыши. У них пневмония возникает в 10–15% случаев, тогда как среди родившихся в срок деток патология диагностируется только у одного ребёнка из ста. Это связано с неразвитостью дыхательной мускулатуры, недостаточным регулированием механизмов дыхания и газообмена, незрелостью лёгочной ткани.
Врачи отмечают, что пневмония у новорождённых может проявляться в различных формах, каждая из которых требует особого внимания. Основные виды включают аспирационную, бактериальную и вирусную пневмонию. Аспирационная пневмония возникает, когда новорождённый вдыхает жидкости или твердые частицы, что может привести к воспалению легких. Бактериальная пневмония, как правило, развивается в результате инфекции, переданной от матери или в условиях роддома. Вирусная пневмония, в свою очередь, чаще всего связана с респираторными вирусами. Врачи подчеркивают, что ранняя диагностика и адекватное лечение имеют решающее значение для успешного восстановления. Симптомы, такие как затрудненное дыхание, кашель и высокая температура, требуют немедленного обращения за медицинской помощью. Профилактика, включая вакцинацию и соблюдение гигиенических норм, также играет важную роль в снижении риска развития пневмонии у новорождённых.

Виды пневмонии
Все случаи пневмонии можно разделить на:
- врождённые (внутриутробные);
- приобретённые (постнатальные).
Они отличаются способом заражения, симптомами, тяжестью болезни и возможными последствиями для ребёнка.
Врождённая пневмония
Этот вид воспаления лёгких развивается ещё в утробе матери и занимает приблизительно 10% всех пневмоний новорождённых. Заболевание даёт о себе знать уже в первые минуты или дни жизни малыша. Заражение может произойти разными способами:
- трансплацентарно, т. е. возбудитель болезни проник в организм ребёнка через плаценту. Встречается редко;
- антенатально – через околоплодную жидкость;
- интранатально, или во время родов.
Наиболее часто врождённая пневмония возникает вследствие заражения во время родов патогенной микрофлорой, находящейся в родовых путях матери, или через инфицированную околоплодную жидкость. Трансплацентарный способ встречается редко.
Пневмония у новорождённых — это серьёзное заболевание, которое вызывает беспокойство у родителей и врачей. Многие специалисты отмечают, что инфекция может развиться как в первые дни жизни, так и позже, особенно у детей с ослабленной иммунной системой. Симптомы могут варьироваться: от лёгкого кашля и затруднённого дыхания до высокой температуры и синевы кожи. Важно понимать, что новорождённые не всегда могут выразить свои ощущения, поэтому внимательное наблюдение за их состоянием крайне важно. Врачи подчеркивают, что ранняя диагностика и лечение пневмонии значительно повышают шансы на быстрое выздоровление. Родителям рекомендуется следить за признаками заболевания и не откладывать визит к врачу при малейших подозрениях.

Приобретённая
Если заболевание возникло после родов в первый месяц жизни малыша, то его называют приобретённым. Такое воспаление лёгких может быть:
- внебольничным — ребёнок заболевает дома;
- госпитальным — заболевание развилось в условиях стационара в роддоме, реанимации, отделении патологий новорождённых и т. д.
Причины возникновения
Факторов, способствующих развитию пневмонии у новорождённых, немало. Особую опасность они представляют для недоношенных детей. Часто привести к болезни могут одновременно несколько из них:
- заболевания, перенесённые женщиной во время беременности;
- применение стероидных средств будущей мамой;
- кислородное голодание и удушье плода;
- осложнения во время родов;
- кесарево сечение;
- внутричерепная или спинальная травма;
- внутриутробное поражение головного мозга;
- генетические болезни лёгких и других внутренних органов;
- неблагоприятная обстановка для содержания ребёнка;
- неправильный уход за малышом.
В норме у ребёнка в лёгких находится небольшое количество жидкости, которое выталкивается при естественном родоразрешении. При кесаревом сечении органы не успевают адаптироваться к новым жизненным условиям, и в них остаётся плодная жидкость. Это способствует развитию так называемого синдрома задержки фетальной (плодной) жидкости, который вызывает опасность развития дыхательной патологии у ребёнка, в частности пневмонии.
У недоношенного ребёнка кесарево сечение может спровоцировать развитие синдрома дыхательных расстройств, при котором наблюдается учащённое нерегулярное дыхание и повышается риск развития воспаления лёгких. Таким новорождённым требуется тщательное наблюдение, обследование и лечение.
Отдельно нужно упомянуть об аспирационной пневмонии. Её причиной часто становится нарушение режима кормления ребёнка, при котором в лёгкие может проникнуть молоко, смесь, вода, рвотные массы. Особенно часто этот вид воспаления лёгких развивается у недоношенных в связи с их предрасположенностью к срыгиванию.
Возбудители пневмонии
Воспаление лёгких вызывается вирусами, бактериями или грибами, которые могут попасть в лёгкие двумя путями:
- гематогенно — внутриутробно через кровь;
- бронхогенно — через лёгкие.
- Чаще всего причиной болезни становятся следующие бактерии:
- стрептококк;
Стрептококк группы В является наиболее частой причиной заболеваемости и смертности новорождённых детей от менингита, сепсиса и стрептококковой пневмонии в развитых странах.
- стафилококк;
- синегнойная палочка;
- листерия;
- грамотрицательные палочки семейства кишечных бактерий;
- клебсиелла (палочка Фридлендера) и другие микроорганизмы.
- стрептококк;
- Вирусное воспаление лёгких может вызываться разными видами вируса герпеса, в частности цитомегалавирусом, а также вирусом гриппа, аденовирусом и другими.
- Грибковая пневмония чаще встречается у детей, которые длительное время находились на искусственной вентиляции лёгких, особенно это касается недоношенных малышей. Возбудителями болезни могут быть грибы рода Candida, реже — Aspergillus, пневмоцисты (среднее между простейшими и грибами).
Пневмоцистная пневмония, или пневмоцистоз, бывает преимущественно у недоношенных детей. Заражение этим микроорганизмом может произойти при контакте с носителем дома или в роддоме. Характерная особенность этого вида заболевания — отсутствие хрипов в лёгких, поэтому диагноз ставится на основании рентгена.
Пневмония новорождённых в 65–80% случаев бывает смешанного характера, например, когда к вирусному или грибковому воспалению лёгких присоединяется бактериальная инфекция.
- Внутриутробные пневмонии чаще вызываются стрептококками группы B и грамотрицательными бактериями — кишечной палочкой и клебсиеллой (палочка Фридлендера), реже — стафилококком и листерией. Возможно развитие заболевания из-за заражения цитомегаловирусом, вирусом простого герпеса и грибами рода Candida.
- Наиболее частыми возбудителями приобретённой пневмонии являются вирусы (респираторно-синцитиальный, парагриппа и другие), грамотрицательная микрофлора кишечника, стафилококки. Реже внебольничные воспаления лёгких вызываются моракселлой (представитель нормальной микрофлоры верхних дыхательных путей) и коклюшной палочкой. Пневмококки и палочку инфлюэнцы или Пфейффера у новорождённых выделяют редко.
Симптомы и особенности разных видов заболевания
Симптомы и особенности заболевания зависят от того, доношенным родился ребёнок или нет, а также от вида пневмонии.
Внутриутробная пневмония проявляется сразу после рождения ребёнка
Симптомы внутриутробной пневмонии
- Если заболевание развилось ещё в утробе матери, то его симптомы видны сразу после рождения ребёнка:
- сниженный мышечный тонус;
- отсутствие рефлексов глотания и сосания;
- нарушенное кровообращение;
- отёки ножек (иногда);
- большая потеря массы тела ребёнка — 15–30%, а также медленное её восстановление.
- Инфицирование во время родов проявляется через 1–2 дня после рождения. При этом симптомы заболевания интранатальной пневмонии отличаются от симптомов других видов внутриутробного воспаления лёгких.
Особенности симптомов в зависимости от способа инфицирования – таблица
| Разновидностьвнутриутробной пневмонии(по способу инфицирования) | Симптомы |
| Трансплацентарная и антенатальная (развитие заболевания в утробе матери) |
|
| Интранатальная пневмония (получена в процессе родов) |
|
Симптомы приобретённой пневмонии
Приобретённая пневмония своими симптомами напоминает ОРВИ. Отмечаются следующие признаки:
- дыхательные расстройства;
- насморк;
- беспокойство ребёнка;
- вялость;
- нарушение сна, режима кормления;
- повышение температуры тела.
Симптомы и течение болезни зависят от возбудителя:
- Для воспаления лёгких, вызванного респираторно-синцитиальной инфекцией, характерно затруднение дыхания.
- При заражении аденовирусом имеют место сильные хрипы, конъюнктивит, насморк, влажный кашель.
- При гриппе страдает нервная система.
- При герпетической инфекции наблюдается кровоточивость, острая почечная и печёночная недостаточность, выраженная в увеличении печени и общей интоксикации организма.
- При инфицировании стафилококком возникают абсцессы (гнойники) лёгких, гнойничковые поражения кожи, пупочной ранки, остеомиелиты.
- При поражении клебсиеллами отмечается энтерит, менингит, пиелонефрит.
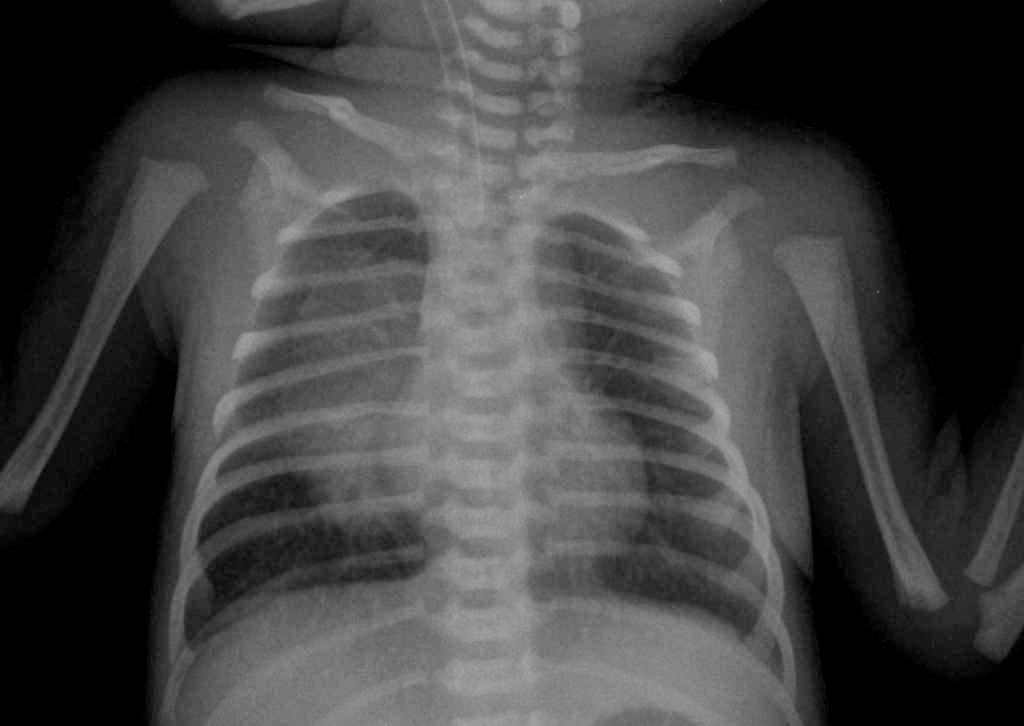
Диагностика
Для диагностирования пневмонии важное значение имеет рентгенография
В целях диагностирования у новорождённого пневмонии врач проводит следующие мероприятия:
- Сбор анамнеза и анализ симптомов (посредством опроса родителей).
- Общий осмотр, во время которого специалист выявляет:
- бледность и синюшность кожных покровов;
- жёсткое дыхание – вдох равен по длительности выдоху, хрипы и т. д.
- Лабораторные исследования:
- общий анализ крови и мочи, а также биохимический анализ крови;
- посевы слизи и мокроты из зева (для определения возбудителя).
- Инструментальные исследования:
- рентген грудной клетки (рентгенография);
- эхокардиография;
- КТ (компьютерная томография).
Доктор Комаровский о способах диагностики пневмонии — видео
https://youtube.com/watch?v=72aBGr__MyA%3Fenablejsapi%3D1%26autoplay%3D0%26cc_load_policy%3D1%26cc_lang_pref%3D%26iv_load_policy%3D3%26loop%3D0%26modestbranding%3D1%26rel%3D1%26fs%3D1%26playsinline%3D1%26autohide%3D1%26theme%3Ddark%26color%3Dred%26controls%3D1%26
Лечение и его сроки
Лечение пневмонии новорождённых осуществляется только в условиях стационара. Оно включает в себя ряд мер:
- Антибактериальную терапию. Выбор антибиотика зависит от данных обследования, ситуации, предшествующей заболеванию, и клинической картины. Чаще всего назначаются препараты с широким спектром действия. Доза лекарства подбирается врачом исходя из возраста малыша и возбудителя болезни.
При пневмоцистозе параллельно с антибактериальными препаратами назначаются и противогрибковые. Вирусное воспаление также лечится антибиотиком в связи с тем, что к нему часто подключается и бактериальная инфекция.
- Кислородотерапию. Применяется при наличии дыхательных расстройств и нарушении газового гомеостаза у новорождённого. В тяжёлых случаях лечение не обходится без искусственной вентиляции лёгких.
Кислородотерапия может осуществляться посредством кислородной палатки
- Создание благоприятного микроклимата. Важную роль играет микроклимат, при котором температура воздуха для доношенных детей составляет 24–26°C, для недоношенных в кувезах – 30–32°C и 34–36°C в том случае, если вес малыша менее 1500 грамм. Влажность поддерживают на уровне 60–70%.
- Массаж. Практикуются массажи в виде поглаживания, лёгкого постукивания и сдавливание грудной клетки с боков.
- Очищение дыхательных путей. Для улучшения отхождения мокроты ребёнок укладывается в дренажное положение на несколько минут 3–4 раза в день. Дыхательные пути прочищаются путём отсасывания слизи и орошения слизистых раствором гидрокарбоната натрия.
- Питание. Способ питания малыша зависит от его состояния и возраста . В связи с потерей аппетита, расстройствами пищеварения и общей слабостью, которая затрудняет акт сосания, кормление производится через зонд или введением пищи капельным методом. В идеале для этого берётся материнское сцеженное молоко. Если такой возможности нет, то используется адаптированная молочная смесь. При улучшении состояния ребёнка переводят на самостоятельное кормление постепенно, сначала из соски или из ложки (начиная с 1 раза в день), а затем из материнской груди.
Важная задача мамы в период болезни ребёнка — сохранить грудное вскармливание. Грудное молоко укрепляет иммунитет и содержит все необходимые вещества, способствующие выздоровлению малыша.
Длительность и прогноз лечения
Длительность лечения и прогноз на выздоровление зависят от возбудителя болезни, тяжести состояния малыша и сопутствующих заболеваний. В большинстве случаев пневмония легко поддаётся лечению. При правильной и своевременной медицинской помощи улучшение состояния наблюдается на 2–3 неделе болезни. Оно характеризуется уменьшением признаков дыхательной недостаточности, восстановлением аппетита, нормализацией нервной системы.
Воспаление лёгких, вызванное пневмоцистами, лечится дольше. Его инкубационный период составляет от 8 дней до 1 месяца. Общая длительность заболевания — 7–8 недель, у недоношенных же детей только острый период длится 4–6 недель.
Но в некоторых случаях болезнь может вызывать опасные осложнения и последствия.
Опасные осложнения и последствия для новорождённых
Уровень современной медицины настолько высок, что позволяет спасать малышей, у которых была диагностирована внутриутробная или приобретённая пневмония. Однако последствия заболевания порой очень серьёзны. Они делятся на:
- Лёгочные:
- застойные явления в лёгких;
- пневмоторакс;
- спадание доли лёгкого;
- плеврит.
Пневмоторакс – скопление воздуха или газов между грудной стенкой и лёгким
- Внелёгочные:
- пенистые выделения изо рта;
- отит;
- нарушение перистальтики кишечника;
- расстройство кровообращения;
- нарушение свёртываемости крови (ДВС-синдром);
- кровоточивость кожи и слизистых оболочек (геморрагический синдром);
- нарушение питания и пищеварения;
- энцефалит;
- менингит;
- сепсис;
- нарушения обмена веществ (ацидоз, снижение уровня кальция, натрия, калия в организме, сахара в крови, повышение уровня билирубина);
- склерема — уплотнение кожи и подкожной клетчатки;
- недостаточность надпочечников;
- нарушение зрения и слуха (после перенесённой пневмонии рекомендован контроль за работой этих органов);
Осложнения пневмонии новорождённых касаются всего организма в целом и каждого органа и системы в отдельности.
У детей, переболевших воспалением лёгких, гораздо выше предрасположенность к бронхолёгочным заболеваниям. На ткани лёгких или бронхов могут оставаться спайки и рубцы, называемые алектазами. Говоря о последствиях для здоровья малыша, нужно упомянуть о повышенном риске развития анемии и рахита у недоношенных, перенёсших раннюю пневмонию детей.
Профилактика болезни до и после рождения ребёнка
Меры по профилактике пневмонии у ребёнка необходимо принимать как до рождения малыша, так и после. Беременная женщина должна заботиться о своём здоровье, а именно:
- регулярно посещать поликлинику и сдавать все необходимые анализы;
- правильно и сбалансировано питаться;
- отказаться от вредных привычек;
- вести здоровый образ жизни;
- не допускать заболевания ОРВИ, гриппом и другими инфекциями во время беременности.
Во время родов должны быть приняты все меры для избежания асфиксии плода. После рождения малыша за ним нужно организовать должный уход, не допускать переохлаждения, контакта с больными родственниками. Важную роль в профилактике пневмонии и других болезней имеет грудное вскармливание. Оно повышает иммунитет ребёнка и увеличивает сопротивляемость болезням.
Хотя пневмония у новорождённых — очень серьёзное и опасное заболевание, однако уровень современной медицины позволяет надеяться на положительный исход и полное выздоровление. Забота о здоровье ребёнка должна начинаться не после рождения, а с момента его зачатия.
Вопрос-ответ
Как у новорожденного может быть пневмония?
Основной предрасполагающий фактор пневмонии у новорожденных — недоношенность, которая в 10 раз повышает риск заболевания. На втором месте стоят дыхательные нарушения, требующие интубации и применения ИВЛ. Частота пневмоний возрастает у детей с врожденными аномалиями дыхательных путей.
Какие бывают пневмонии у детей?
Вирусная, грибковая, бактериальная, микоплазменная, паразитарная, хламидийная, смешанная.
Как определить пневмонию у младенца?
Боль в области грудной клеткиЗатрудненность совершать глубокие вдохи и выдохиЧувство нехватки воздухаОдышкаСухой или влажный кашельПовышение температуры (но не всегда)Синюшность в зоне носа и губСонливость и апатияЕщё
Сколько дней лечится пневмония у грудничка?
При лечении важно полноценно и круглосуточно ухаживать за маленьким пациентом, как можно чаще поить, избегать перегревания и переохлаждения. В среднем лечение длится 10-15 дней.
Советы
СОВЕТ №1
Обратите внимание на симптомы. У новорождённых пневмония может проявляться не так явно, как у взрослых. Следите за такими признаками, как затруднённое дыхание, учащённое дыхание, кашель, изменение цвета кожи (посинение) и высокая температура. При появлении этих симптомов немедленно обращайтесь к врачу.
СОВЕТ №2
Регулярно проводите профилактические осмотры. Посещение педиатра и выполнение всех рекомендованных прививок помогут снизить риск развития пневмонии у вашего малыша. Важно следить за состоянием здоровья новорождённого и вовремя реагировать на любые изменения.
СОВЕТ №3
Создайте комфортные условия для новорождённого. Поддерживайте оптимальную температуру и влажность в помещении, где находится ребёнок. Избегайте контакта с больными людьми и старайтесь минимизировать влияние аллергенов и загрязнителей воздуха, чтобы снизить риск респираторных заболеваний.
СОВЕТ №4
Обучите себя основам первой помощи. Знание того, как действовать в экстренных ситуациях, может спасти жизнь вашему новорождённому. Ознакомьтесь с методами оказания первой помощи при затруднённом дыхании и других критических состояниях, связанных с пневмонией.




